AOTRAUMA.ORG Центр Илизарова  

Ортопедия и травматология Общие вопросы/General questions Help Информационные технологии в медицине
 ВХОД ДЛЯ ПАЦИЕНТОВ
 вверх
 поиск
 админ
 главная
 исходное
 последующие


Re: Неправильно консолидирующий перелом
послал Микаэл Сувалян 04 Апрель 2007, 11:43


История больного, о котором я говорил выше. Не удивляйтесь изложенному
материалу (выдержка из диссертационной работы).

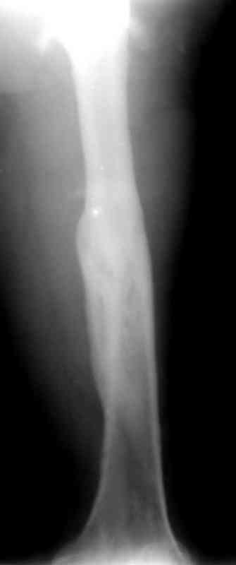
Больной А., 28 лет, поступил в НИИ им. Н.В. Склифосовского 22.12.99 после падения на улице. Жалобы на боли в области левого тазобедренного сустава и левом бедре. Из анамнеза следовало, что 20.06 во время прыжка с парашютом у него возник закрытый оскольчатый перелом средней трети левой бедренной кости со смещением отломков, по поводу чего в одной из ЦРБ Московской области через 3 дня после травмы был произведен открытый интрамедуллярный остеосинтез штифтом типа Кюнчера.
Послеоперационное течение было гладким. Больной ходил при помощи костылей с дозированной нагрузкой на оперированную конечность.При осмотре в НИИ им. Н.В. Склифосовского через 6 месяцев после травмы:
левое бедро и левый коленный сустав несколько увеличены в объеме, отечны, пальпаторно определяется болезненность в средней трети бедра;
по его наружной поверхности послеоперационный рубец - рана зажила первичным натяжением. При измерении длины бедер обнаружено укорочение левого бедра на 4,5 см. На рентгенограммах этого бедра: ось конечности правильная, отмечается захождение основных костных фрагментов по длине, проксимальный конец штифта выступает слишком медиально и высоко относительно большого вертела, периостальная мозоль незначительна.22.12 - через 6 месяцев после операции, произведенной в ЦРБ, нами по поводу замедленно консолидирующего перелома левой бедренной кости с ее абсолютным укорочением под наркозом произведена операция: удаление штифта, закрытый блокирующий интрамедуллярный остеосинтез перелома левого бедра штифтом без рассверливания (UFN) длиной 40 см, диаметром 10 мм с блокированием только проксимальных отверстий (динамический остеосинтез). Наложен аппарат Илизарова на 4 полукольцах с целью удлинения укороченного бедра. Послеоперационное течение без особенностей. Ежедневно осуществляли дистракцию отломков на 1 мм. Через 3 недели после операции больной выпи-сан на амбулаторное лечение с продолжением дистракции отломков. В течение 1,5
месяцев дистракции укорочение левого бедра удалось полностью устранить. 22.02.00, т.е. через 2 месяца после повторного остеосинтеза, больному произведено дистальное блокирование штифта двумя винтами и демонтирован аппарат Илизарова. В течение 2 недель после операции больной ходил с помощью костылей, потом 2 недели с тростью. Опороспособность и функция оперированной конечности полностью восстановились через 4 недели после операции.
Фиксаторы удалены через 12 месяцев после операции, выполненной по поводу замедленной консолидации перелома бедра с его укорочением.
Послать ответ

Имя
Email
Уведомление Сообщить мне по e-mail об ответах на это сообщение
Название
Комментарий
(Проверьте URL! Не забудьте написать http://!)
Кодировка
Если не знаете, что выбрать, выберите "Просто текст"!
Приложение
Можно приложить к сообщению файл c изображением, который затем будет доступен увидевшим сообщение.
Подготовка иллюстраций:
  • Рентгенограммы: черно-белые полутоновые изображения в формате JPEG (8 bit, greyscale) с разрешением от 300х200 до 1024х768 пикселов;
  • Клинические фотографии: полноцветные изображения в формате JPEG (24 bit, truecolor) с разрешением от 300х200 до 1024х768 пикселов;
  • Схемы и рисунки: черно-белые (2 bit) штриховые (line-art) изображения в формате GIF или compressed TIFF
  • Подберите степень сжатия файла JPEG и размер изображения таким образом, чтобы необходимые детали были различимы, но размер файла не превышал 75 кб.
  • Учтите, что текущая версия программного обеспечения Форума позволяет приложить к одному сообщению лишь один файл-вложение. Поэтому, если необходимо отправить несколько изображений, можно либо послать каждое как отдельное сообщение, либо в графическом редакторе объединить изображения в одно (сделать коллаж).
  • Если при подготовке изображений встречаются трудности, не стесняйтесь обратиться к координатору Форума.

  • Введите видимые символы в обратном порядке. Enter the above characters in reverse order (*Обязательно)
    В тексте сообщения можно использовать теги HTML <B> <I> <P> <A> <LI> <OL> <UL> <EM> <BR> <TT> <HR> <STRONG> <BLOCKQUOTE> <DIV .*> <DIV> <P .*>
  • Обратите внимание: Поля с жирными названиями обязательны.
  • Старайтесь отвечать в рамках обсуждаемой темы, а не начинать новые обсуждения.
  • Указывайте адекватную тему сообщения, чтобы было ясно, о чем оно.
  • Не послайте сообщений не по теме (оффтопик), раздраженных, грубых или обидных комментариев. Здесь это неуместно.
  • Powered by Zope  Squishdot Powered MedLink
    Посетитель: 0152354
      "По форме правильно, а по существу - издевательство" В.И.Ленин
    ©2001-2019Orthoforum Coordinator.
    [ Главная | Отправить сообщение | Поиск | Админ ]