ВХОД ДЛЯ ПАЦИЕНТОВ
вверх
поиск
админ
главная
|
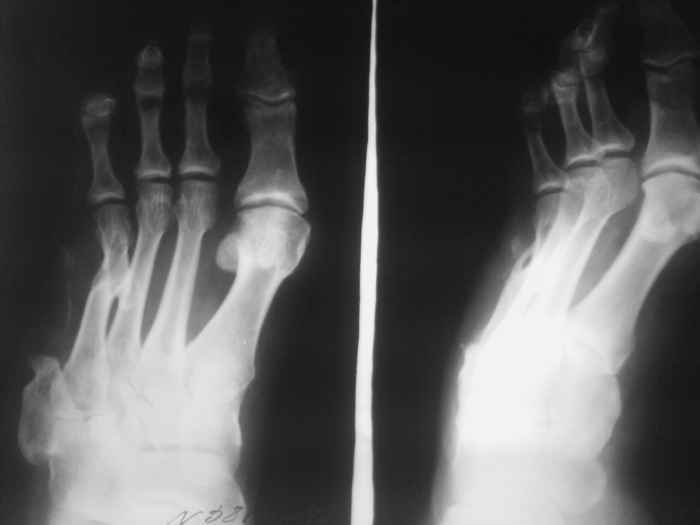
Остеомиелит 4 плюсневой кости. |
 |
 |
 |
Прислано Никита Заднепровский 01 Апрель 2007, 14:45
из
Здравствуйте коллеги.
Мужчина 50 лет. Оперирован 2 года назад. Удален 5 луч по поводу инфицированного открытого перелома.
Жалобы на упорные боли и образование свища при нагрузке на латеральной поверхности стопы в области п/о рубца. Свищ открывается примерно 6 раз за год.
На момент осмотра свищевой ход закрыт. Воспаления м.тк. нет.
Ходит в ортопедической обуви.
Какие варианты оперативного лечения можно здесь применить?
Объем операции?
С уважением, Заднепровский Никита Николаевич
Обратите внимание: Поля с жирными названиями обязательны.
Старайтесь отвечать в рамках обсуждаемой темы, а не начинать новые обсуждения.
Указывайте адекватную тему сообщения, чтобы было ясно, о чем оно.
Не послайте сообщений не по теме (оффтопик), раздраженных, грубых или обидных комментариев. Здесь это неуместно.
|