вверх
отправить
поиск
админ
главная
|
Как лечить асептический некроз таранной кости? |
 |
 |
 |
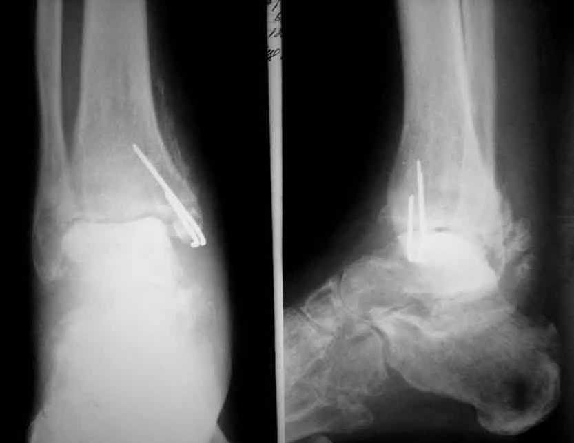
Отправлено Глеб В. Коробушкин 01 Апрель 2007, 19:32
Коллеги! Хочется вынести на обсуждения ортофорума вопрос: - Как лечить асептический некроз таранной кости? Пациент Е., 52 года, Обратился в связи с болями при нагрузке в правом голеностопном суставе, ограничение движений.Травма 26.06.2004 в результате падения с высоты(прыгнул с лестницы). Лечился стационарно с диагнозом закрытый перелом правой таранной кости, обеих лодыжек со смещением. Выполнено оперативное лечение - остеосинтез лодыжки спицами, гипс. В сентябре 2004 спицы удалены. В сентябре 2004 острый правосторонний илеофеморальный тромбоз. Проведен курс консервативной терапии. В мае 2005 года больному проводился курс стационарного консервативного лечения по поводу посттравматического артроз правого голеностопного сустава. В ноябре 2005 года повторное ухудшение состояния, усиление болей повторный курс консервативного лечения в диагноз добавлен посттромбофлебитический синдром. ХВН 3А ст правой нижней конечности. В приложении R- до удаления спиц и последние R-граммы. C ув. Коробушкин Г.В.,РГМУ, Москва
<
|
>
|
|