AOTRAUMA.ORG Центр Илизарова  

Ортопедия и травматология Общие вопросы/General questions Help Информационные технологии в медицине
 ВХОД ДЛЯ ПАЦИЕНТОВ
 вверх
 поиск
 админ
 главная


Предстоит интересное эндопротезирование
Ортопедия и травматология Прислано Салават Салаватов 09 Апрель 2007, 20:58
из
Уважаемые коллеги, хотелось бы услышать ваше мнение по следующему случаю:
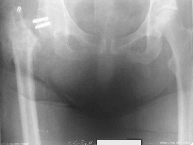
Относительно молодая женщина(39 лет), поступила в клинику в марте 2005 года, через 3 месяца после травмы с Неправильно срастающимся поперечным межвертельным переломом правого бедра. Был выполнен закрытый интрамедуллярный остеосинтез правого бедра канальным реконструкционным стержнем ChM. Ожидали бОльших проблем на операции, результату обрадовались. Как оказалось, зря. Сращение наступило через 3,5 месяца после операции.
В ноябре 2005 года произошел перелом шейки бедра и винтов в ней. В апреле 2006 импланты были удалены. В приложении фото и рентгенограммы больной. Сопутствует ожирение 4 ст. (при росте 168 см., вес больной 140кг.), сахарный диабет II тип. Имеется медиальная неустойчивость коленного и голеностопного суставов, при нагрузке колено вальгируется на 15-20 градусов.
Вопросы: 1.Целесообразность эндопротезирования (в настоящий момент передвигается на ходунках)?
2.Если ответ на первый вопрос-да, то каким протезом?
3. С какими проблемами можем столкнуться во время и после операции?
Заранее благодарен за ответы.
Салават Салаватов,
Екатеринбург

Послать ответ

Имя
Email
Уведомление Сообщить мне по e-mail об ответах на это сообщение
Название
Комментарий
(Проверьте URL! Не забудьте написать http://!)
Кодировка
Если не знаете, что выбрать, выберите "Просто текст"!
Приложение
Можно приложить к сообщению файл c изображением, который затем будет доступен увидевшим сообщение.
Подготовка иллюстраций:
  • Рентгенограммы: черно-белые полутоновые изображения в формате JPEG (8 bit, greyscale) с разрешением от 300х200 до 1024х768 пикселов;
  • Клинические фотографии: полноцветные изображения в формате JPEG (24 bit, truecolor) с разрешением от 300х200 до 1024х768 пикселов;
  • Схемы и рисунки: черно-белые (2 bit) штриховые (line-art) изображения в формате GIF или compressed TIFF
  • Подберите степень сжатия файла JPEG и размер изображения таким образом, чтобы необходимые детали были различимы, но размер файла не превышал 75 кб.
  • Учтите, что текущая версия программного обеспечения Форума позволяет приложить к одному сообщению лишь один файл-вложение. Поэтому, если необходимо отправить несколько изображений, можно либо послать каждое как отдельное сообщение, либо в графическом редакторе объединить изображения в одно (сделать коллаж).
  • Если при подготовке изображений встречаются трудности, не стесняйтесь обратиться к координатору Форума.

  • Введите видимые символы в обратном порядке. Enter the above characters in reverse order (*Обязательно)
    В тексте сообщения можно использовать теги HTML <B> <I> <P> <A> <LI> <OL> <UL> <EM> <BR> <TT> <HR> <STRONG> <BLOCKQUOTE> <DIV .*> <DIV> <P .*>
  • Обратите внимание: Поля с жирными названиями обязательны.
  • Старайтесь отвечать в рамках обсуждаемой темы, а не начинать новые обсуждения.
  • Указывайте адекватную тему сообщения, чтобы было ясно, о чем оно.
  • Не послайте сообщений не по теме (оффтопик), раздраженных, грубых или обидных комментариев. Здесь это неуместно.
  • Powered by Zope  Squishdot Powered MedLink
    Посетитель: 0141207
      "По форме правильно, а по существу - издевательство" В.И.Ленин
    ©2001-2019Orthoforum Coordinator.
    [ Главная | Отправить сообщение | Поиск | Админ ]