ВХОД ДЛЯ ПАЦИЕНТОВ
вверх
поиск
админ
главная
исходное
|
Re: Аневризмальная костная киста
послал Nikolay Koryshkov 13 Апрель 2007, 15:26
|
В нашем отделении в течение последних 1,5 мес наблюдались 2 пациента (а один проходит лечение в настоящее время) с аневризмальными костными кистами.
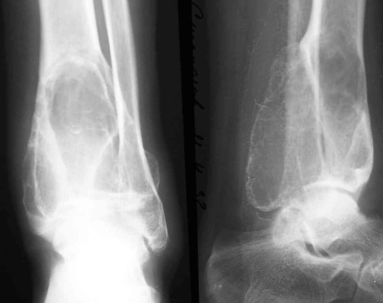
1-Пациент Х.18лет, аневризмальная костная киста малоберцовой кости и основной фаланги I пальца левой стопы (Рис. 1,2).

2-Пациент С.,32 лет,аневризмальная костная киста левой большеберцовой кости (Рис. 3,4), проходит лечение.

С уважением, Н.Корышков
РосНИИТО им.Р.Р.Вредена
|
| Послать ответ |
Обратите внимание: Поля с жирными названиями обязательны.
Старайтесь отвечать в рамках обсуждаемой темы, а не начинать новые обсуждения.
Указывайте адекватную тему сообщения, чтобы было ясно, о чем оно.
Не послайте сообщений не по теме (оффтопик), раздраженных, грубых или обидных комментариев. Здесь это неуместно.
|