ВХОД ДЛЯ ПАЦИЕНТОВ
вверх
поиск
админ
главная
|
Прислано Моисеев Ю.И. 18 Апрель 2007, 02:55
из
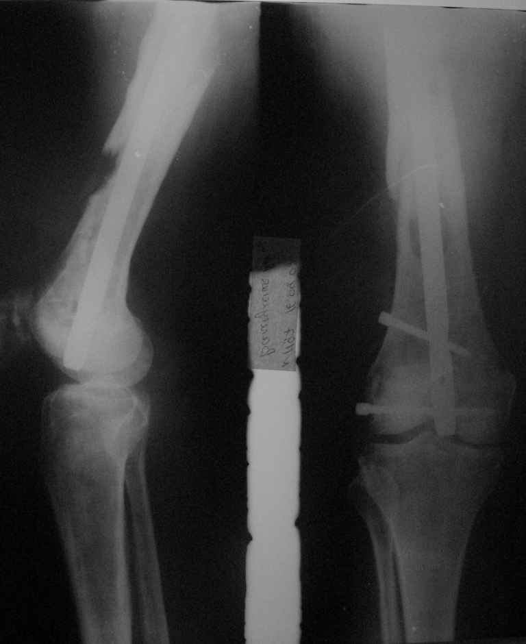
Приветствую, коллеги. 2 года назад пациентке поставлен диагноз саркома бедра,
 Первичный остеосинтез
|

Реостеосинтез
|
 Сегодня
|
|
|
|
1.5 года назад произведен синтез для улучшения качества жизни для по поводу патологического перелома на уровне открытой биопсии. Через 4 месяца открытый реостеосинтез с исправлением оси и восстановления опроспособности. В период после перелома лучевой и химиотерапии не получала. Месяц назад появилсь возрастающие боли в суставе. Ходит с тростью. Движения в коленном суставе качательные.На рентгеннограммах после реостеосинтеза намечалась тенденция к сращению. В области операционной раны периодически открывался-закрывался свищ. На последних - кроме миграции гвоздя в сустав - лизис костной мозоли. Можно ли одной из причин миграции считать длительную статическую фиксацию гвоздя? У кого-нибудь есть опыт на каких сроках проводить у онкобольных динамизацию? Что можно сделать для ликвидации боли и поддержания опороспособности конечности? Имеет ли смысл установка более толстого фиксатора без дистального блокирования? И вообще,ставить ли здесь вопрос о сохранении конечности?
Обратите внимание: Поля с жирными названиями обязательны.
Старайтесь отвечать в рамках обсуждаемой темы, а не начинать новые обсуждения.
Указывайте адекватную тему сообщения, чтобы было ясно, о чем оно.
Не послайте сообщений не по теме (оффтопик), раздраженных, грубых или обидных комментариев. Здесь это неуместно.
|