ВХОД ДЛЯ ПАЦИЕНТОВ
вверх
поиск
админ
главная
исходное
последующие
|
Re: Сложный внутрисуставной перелом голени
послал А.Миронов 01 Май 2007, 18:26
|
Здравствуйте Антон!
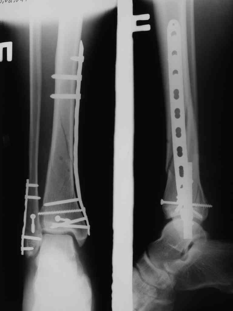
Очень много разрезов, большая длительность операции, в итоге нестабильная фиксация, требующая доп. внешней иммобилизации. Высокий риск инфекции.
Мы бы фиксировали пластиной м/берцовую кость открыто, на б/берцовую пластину MIPO, при необходимости сустав открыть минимально.

На фото простой суставной, метафиз. оскольчатый с переходом на диафиз перелом, пластина MIPO.
С Уважением А.Миронов
|
| Послать ответ |
Обратите внимание: Поля с жирными названиями обязательны.
Старайтесь отвечать в рамках обсуждаемой темы, а не начинать новые обсуждения.
Указывайте адекватную тему сообщения, чтобы было ясно, о чем оно.
Не послайте сообщений не по теме (оффтопик), раздраженных, грубых или обидных комментариев. Здесь это неуместно.
|