ВХОД ДЛЯ ПАЦИЕНТОВ
вверх
поиск
админ
главная
исходное
|
Re: Очередная "проблемная" голень - ложный сустав
послал Антон Лебединец 04 Май 2007, 22:16
|
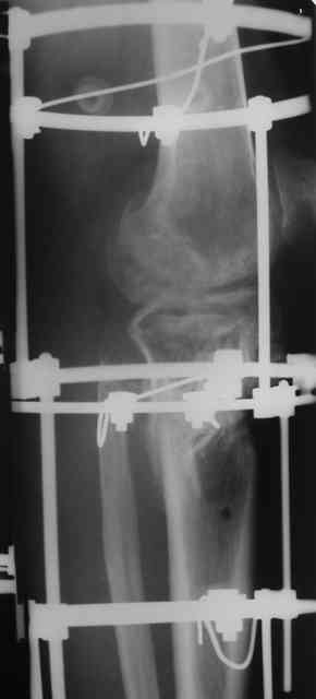
Р-граммы и фото за 4.05.2007 - 7-е сутки после операции.

Ход операции - линейным разрезом по передней поверхности голени обнажена зона ложного сустава большеберцовой кости. От кости отсепарованы медиально м/ткани. Из зоны ложного сустава убраны рубцовые ткани, мобилизован дистальный отломок. По передней поверхности удалены два осколка, связанных грануляциями. Произведено удаление грануляционной ткани из проксимального отломка (на вид сине-серого цвета), "чистого" гноя не было. Затем произведено наложение аппарата и репозиция отломков. По передне-медиальной поверхности образовался дефект до 4х2х2 см + полость в проксимальном отломке. Удаленные осколки очищены от грануляций, уложены в место дефекта, зажаты между отломками. После иссечения раны по передней поверхности, находящейся рядом с операционной раной, последняя ушита с большим натяжением.
Перелом мыщелка сросся. Проксимальный отломок очень порозный.
На перевязках - из раны небольшое кол-во сукровичного отделяемого. Отек голени умеренный, состояние кожи на фото.
Что скажете?
|
| Послать ответ |
Обратите внимание: Поля с жирными названиями обязательны.
Старайтесь отвечать в рамках обсуждаемой темы, а не начинать новые обсуждения.
Указывайте адекватную тему сообщения, чтобы было ясно, о чем оно.
Не послайте сообщений не по теме (оффтопик), раздраженных, грубых или обидных комментариев. Здесь это неуместно.
|