ВХОД ДЛЯ ПАЦИЕНТОВ
вверх
поиск
админ
главная
исходное
|
Re: несросшаяся шейка бедра
послал Anton Vakulenko 12 Июнь 2007, 04:57
|
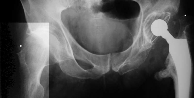
Коллеги, обещанный follow-up.

Больного прооперировали на прошлой неделе (цементный протез, цемент с гентамицином). Использовали задне-боковой доступ. В области перелома подвижности практически не было, так что тему сообщения уместно заменить на "неправильно сросшаяся шейка". И в головке, и во впадине
были значительные дегенеративные изменения, так что ни биполяр, ни остеосинтез тут неуместны (хотя это предлагали в ortopod'е). После релиза удлинили ногу на 3 см. Дальше удлинять побоялись из-за
натяжения седалищного нерва, хотя в принципе можно было бы еще 15-20 мм нарастить. По послеоперационной рентгенограмме анатомическое укорочение порядка 15 мм. Клинически при ходьбе - 4 см, но это за счет перекоса таза.
В общем, всем спасибо за обсуждение!..
С уважением,
А. В. Вакуленко
Dear colleagues,
thanks for all comments you've done on this case.
The patient underwent cemented THR on last week. Postero-lateral approach was used. There was only minimal motion at the fracture site and we had to cut the femoral head with oscillating saw. The femoral head was deformed with it's cartilage completely absent in some areas.
Acetabulum showed gross degenerative changes, especially in superior rim. So I think it was right choice not to do ORIF in this case. After some soft tissue release we've lengthened the leg up to 3 cm. Further lengthening was possible but we stopped at that moment due to tension of n. ischiadicus. Now patient walks with crutches. Leg length discrepancy is about 4 cm due to pelvic tilt (discrepancy on post-op x-ray is 15 mm).
Sincerely yours,
Anton Vakulenko
Donetsk Trauma Center, Ukraine
|
| Послать ответ |
Обратите внимание: Поля с жирными названиями обязательны.
Старайтесь отвечать в рамках обсуждаемой темы, а не начинать новые обсуждения.
Указывайте адекватную тему сообщения, чтобы было ясно, о чем оно.
Не послайте сообщений не по теме (оффтопик), раздраженных, грубых или обидных комментариев. Здесь это неуместно.
|