вверх
отправить
поиск
админ
главная
|
Ведение огнестрельного перелома |
 |
 |
 |
Отправлено Арслан Алхасов 04 Июнь 2007, 19:20
Уважаемые коллеги. 1.06.07 поступил солдатик, с огнестрельным сквозным ранением в н/3 левой голени. Огнестрельный перелом дистального отдела tibia. При поступлении АД 100/60. произведена обычная ПХО. Назначены антибиотики. Рана задренирована (пока что турунды с фурацилином). За последние сутки отмечался несколько раз подъем темп-ры до 38,5. Получает инфузионную терапию, цефазолин, линкомицин, добавили метрогил. Подскажите дальнейшую тактику ведения. И еще, что очень важно для нашего учреждения, возможные способы обезболивания при перевязке.
<
|
>
|
|
Ответить
|
Re: Ведение огнестрельного перелома
Андрей Ермолаев 04 Июнь 2007, 19:23
|
Уважаемый Арслан Алхасов, а какая иммобилизация перелома выполнена?
Ермолаев Андрей. РФ, Свердловская обл., г.Новая Ляля.
|
[
Ответить ]
|
Re: Ведение огнестрельного перелома
Отправитель: Арслан Алхасов 04 Июнь 2007, 19:24
|
Лонгета задняя от н/3 бедра
|
[
Ответить ]
|
|
Re: Ведение огнестрельного перелома
Alexaander Chelnokov 04 Июнь 2007, 19:32
|
АА> подъем темп-ры до 38,5. Получает инфузионную терапию, цефазолин,
АА> линкомицин, добавили метрогил. Подскажите дальнейшую тактику
АА> ведения.
В первую очередь нужна хирургическая стабилизация. Идеально сразу, при поступлении. Монолатеральный стержневой аппарат быстрее всего, сойдет и Илизарова. Антибиотики так долго бессмысленны, только выведете устойчивую флору. Задача сейчас - заживить рану. Потом можно рассматривать варианты - замещать дефект, оставить в аппарате до сращения, и перейти на внутреннюю фиксацию.
АА> И еще, что очень важно для нашего учреждения, возможные
АА> способы обезболивания при перевязке.
А что там такое делается, что какое-то специально обезболивание надо? Наркоз нужен на повторные хирургические обработки, некрэктомии. Тряпочки поменять можно и так.
|
[
Ответить ]
|
Re: Ведение огнестрельного перелома
Ивушкин Роман 05 Июнь 2007, 05:52
|
У меня сейчас лечится похожий пациент - ему стрельнули в упор из охотничьего ружья: открытый скозной перелом правой голени в н/3 с дефектом костной ткани до 6 см. При поступлении наложили ап.Илизарова. После отторжения всех некрозов и несмотря на сохраняющиеся раны (чтобы не терять время) мы провели повторную операцию - наростили аппарат Илизарова вверх на одно кольцо, под которым сделали поперечную остеотомию большеберцовой кости (в проксимальном метафизе) и теперь низводим образовавшийся промежуточный фрагмент по 1-2 мм в сутки при сохранении общей длины конечности. В месте остеотомии растет регенерат, который постоянно рентген-контролируем. Думаю что это самый лучший вариант для подобного рода травм. Если будет интересно могу показать снимки (как раз скоро очередной рентген-контроль).
|
[
Ответить ]
|
Re: Ведение огнестрельного перелома
Отправитель: Alexander Artemiev 05 Июнь 2007, 06:36
|
Снимки очень интересны.
Но думаю, что самый лучший вариант - т.н. острое укорочение.
Тем более при относительно небольшой величине дефекта.
Время сэкономите....
Кстати, не знаю, почему история метода пошла по пути низведения
фрагмента, а не по пути "острого укорочения". Видимо, первый, кто
замещал дефект, так решил...
С уважением Александр Артемьев
|
[
Ответить ]
|
Re: Ведение огнестрельного перелома
Отправитель: Никита Заднепровский 07 Июнь 2007, 00:46
|
Есть у меня результат такого метода. Тема обсуждалась. Как говорится - лечили всем форумом. Рана, правда, не огнестрельная - OFFтопик.
Больной случайно попал в поле зрения с переломом шейки бедра. Страдает хр. алкоголизмом. От когда-то предложенного удлиннения голени пациент отказался. После снятия аппарата он пропал как с белых яблонь дым ...

Укорочение конечности 3 см. Передвигался без дополнительной опоры с "нарощенной" подошвой на правой обуви. Ограничение тыльного и подошвенного сгибания - умеренные (всего примерно 50%, не измерял).
Всем большое спасибо за своевременно оказанную помощь по ведению такого случая.
С уважением, Заднепровский Никита Николаевич
|
[
Ответить ]
|
|
Re: Ведение огнестрельного перелома
Alexander Artemiev 05 Июнь 2007, 06:38
|
Здравствуйте, Арслан.
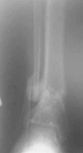
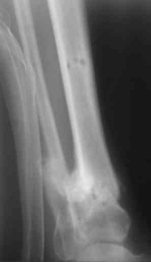
Если Вас действительно интересует мнение по "дальнейшей тактике ведения", то необходима следующая информация:
1. Детали нанесения ранения (оружие, расстояние..)
2. Что такое обычная ПХО
3. Рентгенограммы
4. Как обездвижили - уже ответили.
5. Можно и фото раны...
С уважением Александр Артемьев
|
[
Ответить ]
|
Re: Ведение огнестрельного перелома
Алексей Семенистый 05 Июнь 2007, 06:41
|
Здравствуйте, уважаемый Арслан!
>произведена обычная ПХО. Назначены антибиотики. Рана задренирована (пока что турунды с фурацилином).
А что означает "обычная ПХО"?
Есть основания думать, что "обычная ПХО" была неадекватной, как и последующая иммобилизация гипсовой лонгетой.
> За последние сутки отмечался несколько раз подъем темп-ры до 38,5. Получает инфузионную терапию, цефазолин,
> линкомицин, добавили метрогил.
Антибиотиков на свете много. На четвертые сутки продолжать антибиотики "для профилактики" нет смысла, уже должны быть результаты посевов из раны в день поступления и с последующих перевязок.
>Подскажите дальнейшую тактику ведения.
1. адекватная стабилизация перелома аппаратом, но не гипсом или вытяжением.
2. радикальная вторичная (третья, четвертая...) хирургическая обработка раны
> И еще, что очень важно для нашего учреждения, возможные способы обезболивания при перевязке.
Самый эффективный способ - стабилизировать отломки, т.е. наружняя фиксация аппаратом. Если каждый раз на перевязке вытаскивать ногу из гипсовой лонгеты, то это конечно больно и мало олезно для повреждения и мягких тканей и кости.
С уважением, А.Семенистый.
ГКБ 13, Москва.
|
[
Ответить ]
|
Re: Ведение огнестрельного перелома
Отправитель: Alexander Artemiev 05 Июнь 2007, 06:42
|
> 1. адекватная стабилизация перелома аппаратом, но не гипсом или вытяжением.
> 2. радикальная вторичная (третья, четвертая...) хирургическая обработка раны
Ранение низкоскоростными снарядами (например, ПМ, или Калашников на излете) не нуждается в радикальной ХО Поэтому и хотелось бы получить тветы на заданные вопросы...
С уважением Александр Артемьев
|
[
Ответить ]
|
|
( Ответить )
|
|