ВХОД ДЛЯ ПАЦИЕНТОВ
вверх
поиск
админ
главная
|
перелом бедренного стержня |
 |
 |
 |
Прислано Евгений Семенов 04 Июнь 2007, 23:06
из г.Челябинск
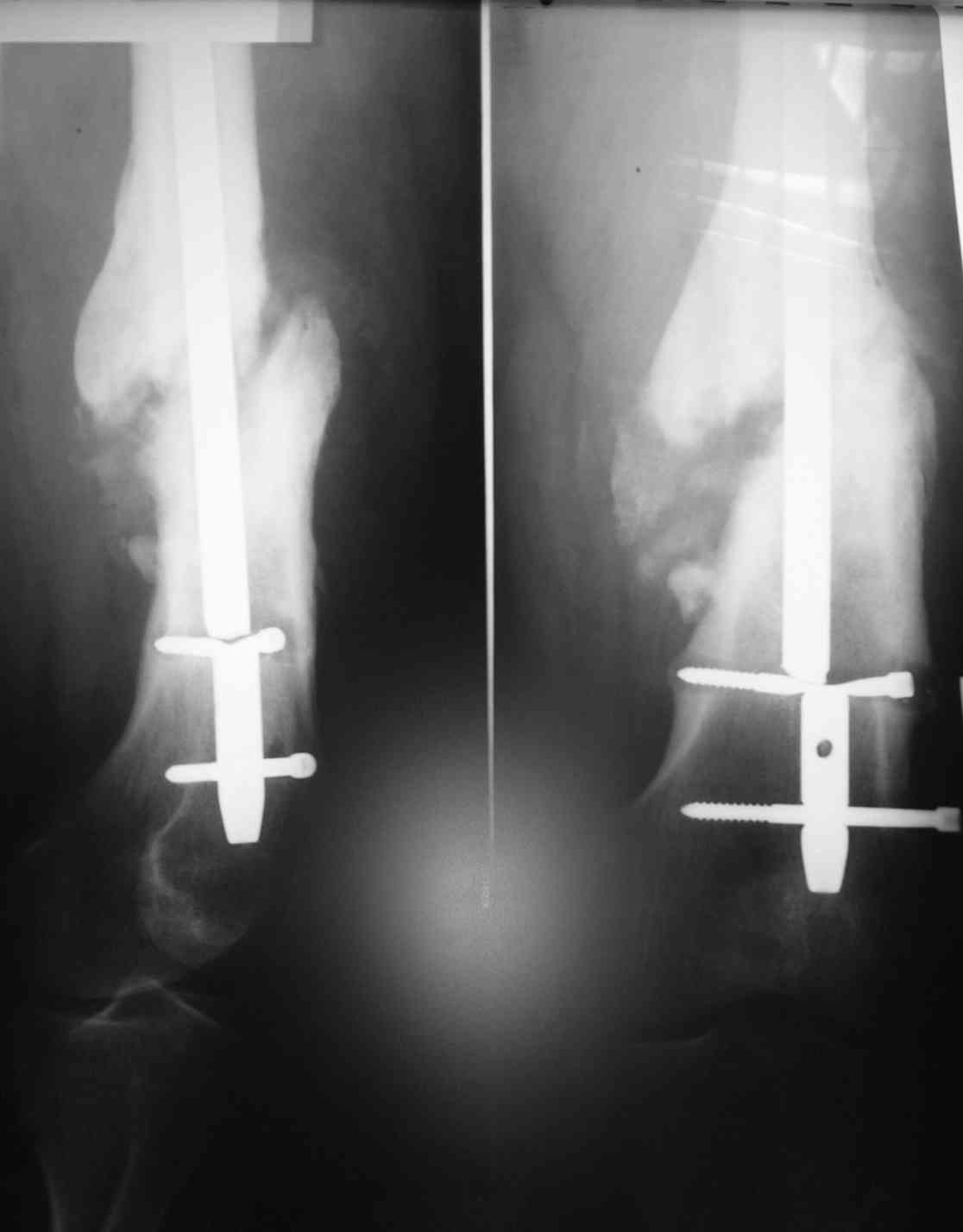
Обратился мужчина, 120 кг, из анамнеза: 1.5 года назад была проведена операция установка антеграднего стержня в связи с переломом в дистальном отделе бедренной кости.
Спустя 1.5 года - несросшийся перелом кости и перелом стержня.
Регулярно травматологом не наблюдался.
недавно обратился к травматологу из-за возникшей боли. Посоветуйте, как наиболее доступно и наименее травматично удалить эту конструкцию? Тактика дальнейшего оперативноголечения?
Мы планируем после удаления старой конструкции, установку ретроградного бедренного стержня с рассверливанием и первичной динамизацией.
С Уважением,
Семенов Евгений
Обратите внимание: Поля с жирными названиями обязательны.
Старайтесь отвечать в рамках обсуждаемой темы, а не начинать новые обсуждения.
Указывайте адекватную тему сообщения, чтобы было ясно, о чем оно.
Не послайте сообщений не по теме (оффтопик), раздраженных, грубых или обидных комментариев. Здесь это неуместно.
|