ВХОД ДЛЯ ПАЦИЕНТОВ
вверх
поиск
админ
главная
исходное
|
Re: Последствия травмы предплечья
послал Виктор 08 Июнь 2007, 22:46
|
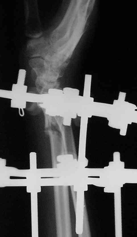
Спице-стержневой аппарат с компактотомией лучевой кости, костная пластика локтевой с удалением пластины. Не комфортно, но больше шансов на благоприятный исход. Заканчиваю лечение с похожей деформацией лучевой кости.

Виктор.
|
| Послать ответ |
Обратите внимание: Поля с жирными названиями обязательны.
Старайтесь отвечать в рамках обсуждаемой темы, а не начинать новые обсуждения.
Указывайте адекватную тему сообщения, чтобы было ясно, о чем оно.
Не послайте сообщений не по теме (оффтопик), раздраженных, грубых или обидных комментариев. Здесь это неуместно.
|