ВХОД ДЛЯ ПАЦИЕНТОВ
вверх
поиск
админ
главная
исходное
|
Re: повреждение таранной кости
послал Djoldas Kuldjanov, M.D. 16 Июнь 2007, 01:39
|
а основании двух видов ренгенограмм невозможно радикально решить о необходимости открытой репозиции или первичного артродеза.
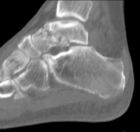
Для оценки состояния нужны дополнительные исследования, например Canale или Broden ренгенограммы и Компьютерная томография.
При переломах тарана всегда имеется риск AVN, а классификация Hawkins поможет разобраться с предполагаемыми осложнениями.
Если в первом типе, когда перелом шейки без смещения, тогда AVN менее 10%, при втором типе когда имеется смещение и вывих тарана в субталарном сочленении меньше 40%, а при типе III когда смещение в голеностопном и субталарном суставах - около 90% и в типе IV, когда происходит полный вывих, риск AVN достигает 100%.
Многие переломы тарана сопровождается открытой раной, в 20% встречаются раны передненаружные, а в 50% переломы типа Hawkins III являются открытыми, и в 40% раны осложняются инфекцией.
Идеально фиксацию провести в первые часы, но не всегда возможно из-за отека, поэтому временный наружный фиксатор на дистракцию поможет уменьшению отека и даст время для адекватного обследования.
При в первом типе придерживаемся закрытой репозиции, а у всех остальных в зависимости от смещения предпочитаем открытую репозицию, фиксация шурупами или пластиной. Пластина 2.4 мм более предпочтительна для удержания мелких костных осколков.
В вашем случае доступ через перелом медиальной лодыжки, обычный доступ через остеотомии лодыжки, где имеется возможность прямой репозиции тарана, после фиксации шурупами, лодыжки фиксируются обычным 2х лодыжечным методом.
Предпочтительно выжидательная тактика, чем радикальный первичный артродез.
Множество наблюдений больных с аваскулярным некрозом, где место тарана заполнялось фиброзной матрицей и жалоб особых не проявляли.
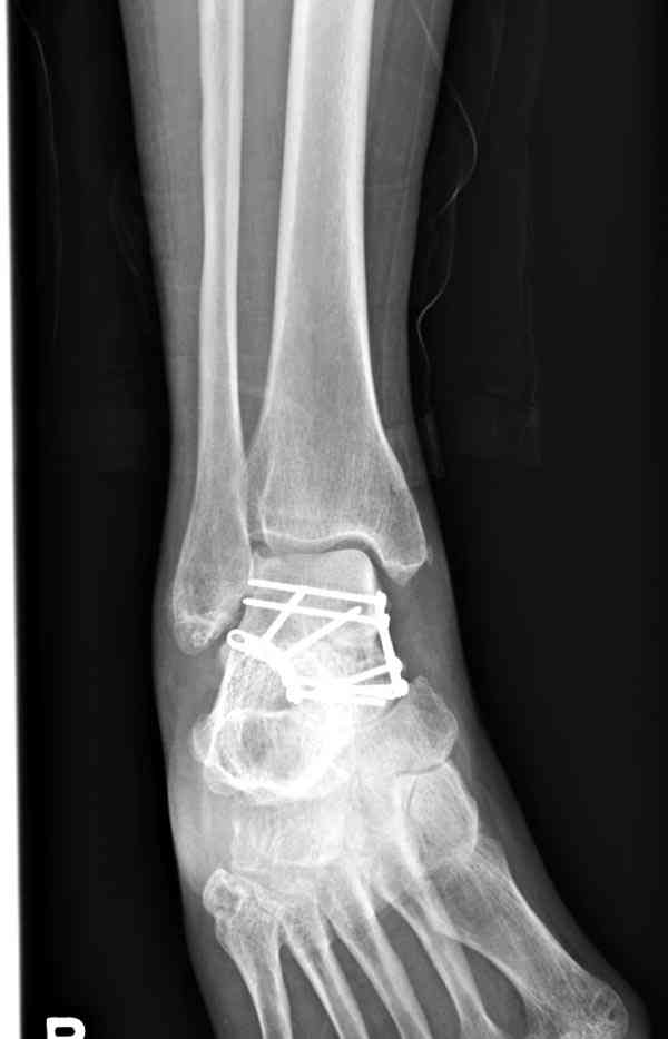
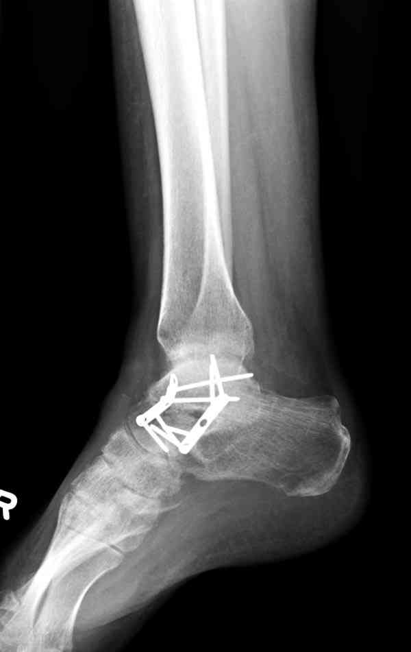
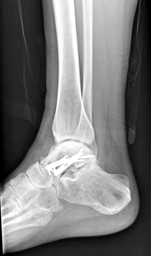
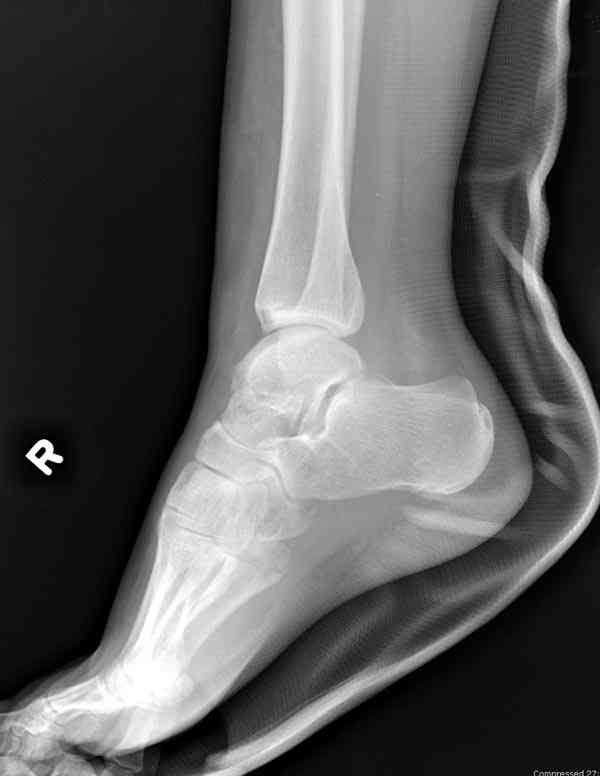
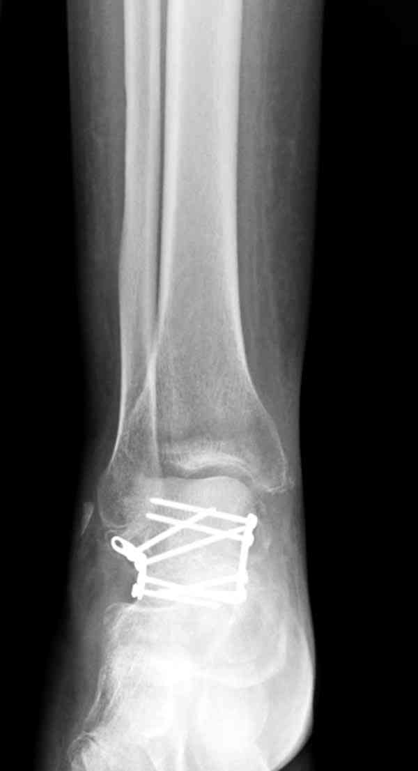
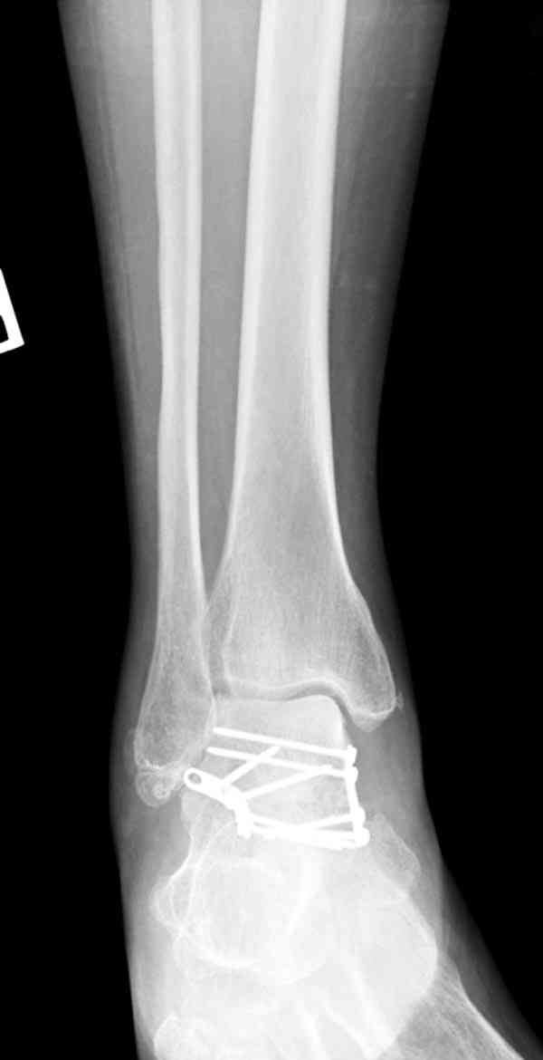
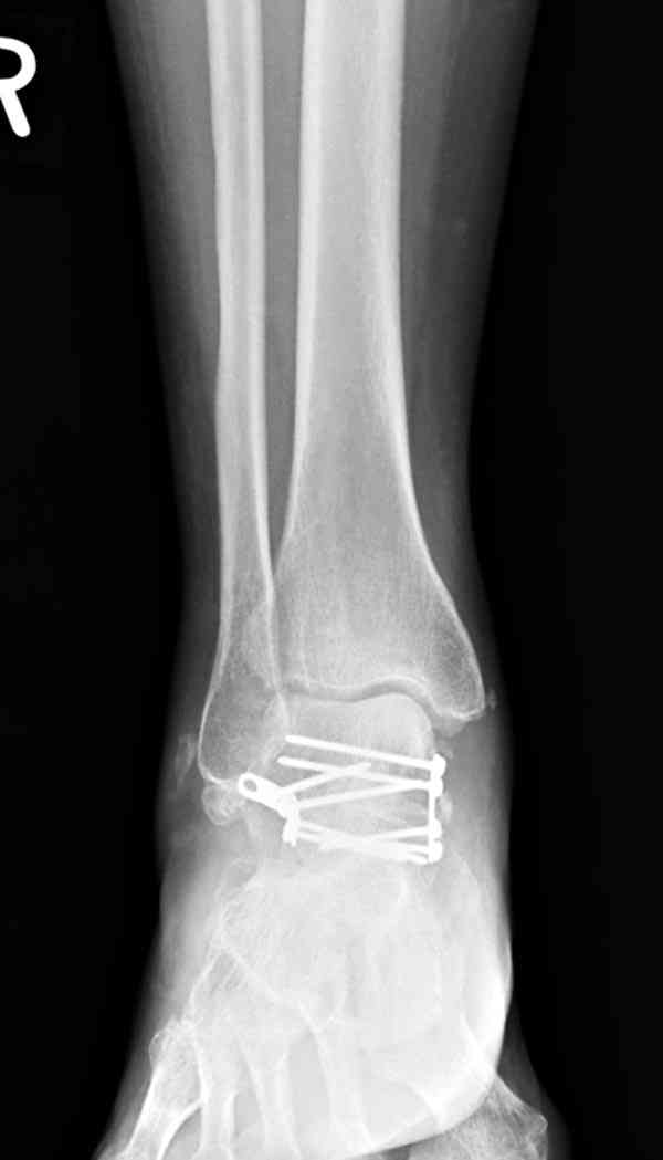
Случай с множественным оскольчатым переломом тарана оперированный из двойного доступа.
Через 2 мес.:

Через 8 мес.:

Через 14 мес.:

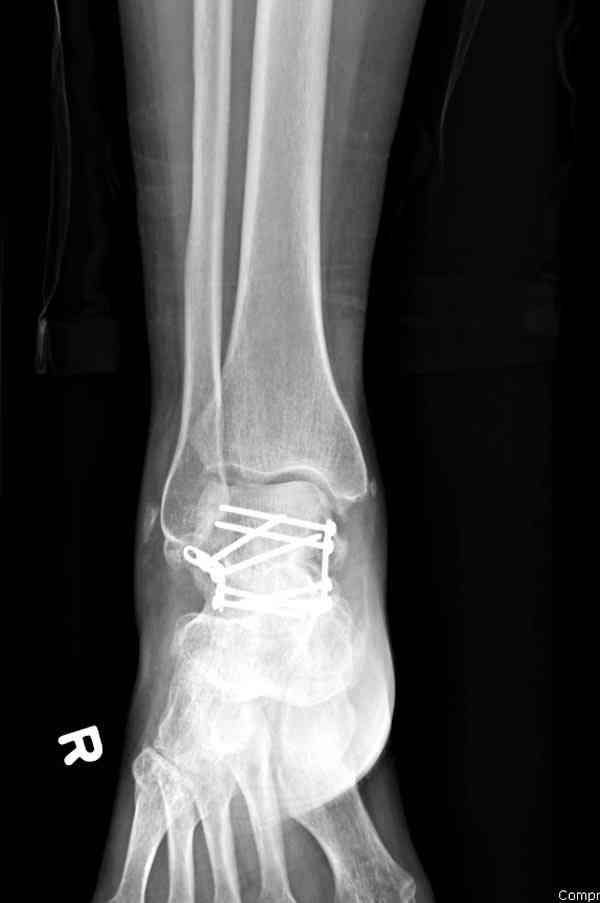
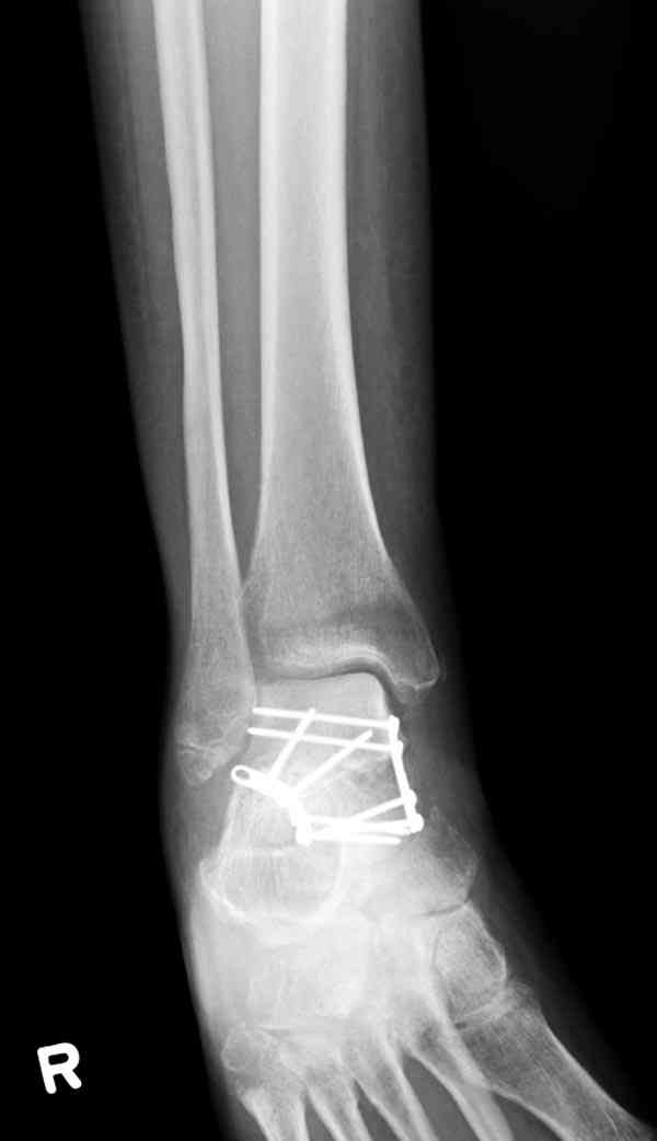
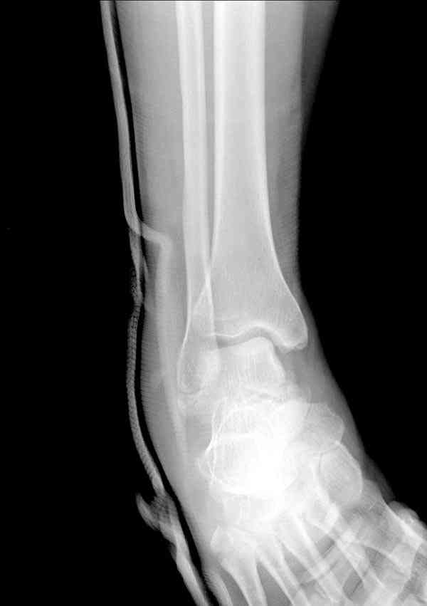
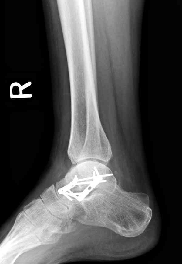
И второй случай из недавней ташкентской практики, (извините за качество ренгенограммы и только в одной проекции) случай падения с высоты (кстати моего друга - известного киноактера) - открытый
смещенный перелом тарана, с переломом переднего края дистального эпиметафиза большеберцовой кости.
При поступлении в приемной сделана первичная обработка с ушиванием открытой латеральной раны и вытяжением за пятку.

Из-за отсутствия времени пришлось оперировать на второе утро, из материала, что имеем на месте, фиксирован двумя шурупами, а третий-это контур сломанного жойстика в 4 мм. На дистальный медиальный конец тибиа antiglide 3.5 мм пластина. Через пару дней выписан и несмотря на предупреждение, самостоятельно начал нагрузку в 4 недели, время не ждет, снимается в боевике в Росийской Федерации.
Djoldas Kuldjanov, MD
Department of Orthopedic Surgery
St. Louis University Medical Center
|
| Послать ответ |
Обратите внимание: Поля с жирными названиями обязательны.
Старайтесь отвечать в рамках обсуждаемой темы, а не начинать новые обсуждения.
Указывайте адекватную тему сообщения, чтобы было ясно, о чем оно.
Не послайте сообщений не по теме (оффтопик), раздраженных, грубых или обидных комментариев. Здесь это неуместно.
|