ВХОД ДЛЯ ПАЦИЕНТОВ
вверх
поиск
админ
главная
исходное
|
Re: повреждение таранной кости
послал Maxim Agalakov 18 Июнь 2007, 22:59
|
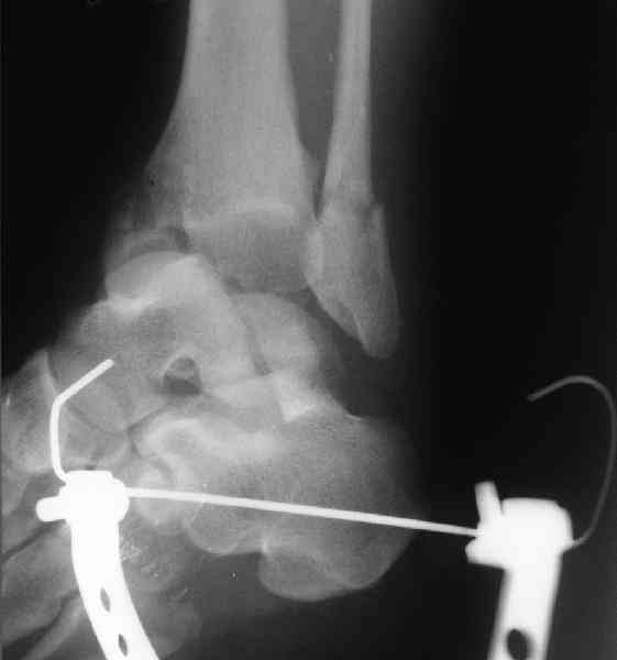
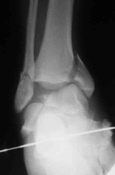
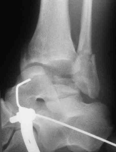
Для оценки состояния нужны дополнительные исследования, например
> Canale или Broden ренгенограммы

повторили рентгенограммы и доделали проекции, к единому мнению все еще не пришли
|
| Послать ответ |
Обратите внимание: Поля с жирными названиями обязательны.
Старайтесь отвечать в рамках обсуждаемой темы, а не начинать новые обсуждения.
Указывайте адекватную тему сообщения, чтобы было ясно, о чем оно.
Не послайте сообщений не по теме (оффтопик), раздраженных, грубых или обидных комментариев. Здесь это неуместно.
|