вверх
отправить
поиск
админ
главная
|
Посттравматическая рефлекторная дистрофия конечности |
 |
 |
 |
Отправлено Aleksey Ladyzhev 26 Июнь 2007, 06:57
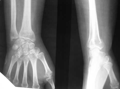
Уважаемые коллеги, обращаюсь к вашему опыту. Обратилась женщина 45лет, профессия - швея, травма 24.02.07 вколоченный перелом правого луча (см Ргр )

Лечилась: гипсовая иммобилизация 4 нед, препараты кальция. В реабилитационном периоде получала ЛФК, изотерапию, медикаментозные болкады. На данный момент женщину беспокоят слабокупирующиеся боли плечо-локоть-кисть по локтевой поверхности больше, ограничение движений в л\з суставе и мелких суставах кисти (см приложения: общий вид, объем движений,

на Ргр нарастают явления остеопороза, не смотря на прием препаратов кальция.

Прошу поделиться вашим опытом ведения таких больных. Какими препаратами можно купировать болевой синдром? сейчас она приниает Дексалгин 2,0 в\м хватает на 4-6 часов. Спасибо
<
|
>
|
|
Ответить
|
Re: Посттравматическая рефлекторная дистрофия конечности
Лединников Игорь 26 Июнь 2007, 14:17
|
Позволю себе (довольно спорную) точку зрения.
Обычно такие явления являются результатом сдавления гипсовой повязкой и как следствие - ишемического повреждения тканей конечности. Я бы даже рассматривал это как разновидность компартмент-синдрома с исходом в фолькмановскую контрактуру лёгкой степени.
Лечить можете чем хотите (или тем, что даёт хоть какой-то эффект: НПВС, сосудорасширяющие средства, можете подключить невролога (с их прозеринами/витаминами В), физиотерапию, направленную на улучшение кровообращения (лазеры и всё, что есть похожее) и т.д. и т.п.
Опять же личное мнение такое: гарантированного и устойчивого лечебного эффекта не даст ничто. В сроки свыше года болевой синдром практически всегда проходит сам, независимо от того, лечили или не лечили. Функциональный дефицит разной степени выраженности обычно остаётся.
Ещё раз повторюсь - считаю, что это мнение спорное.
С уважением.
Лединников Игорь.
|
[
Ответить ]
|
Re: Посттравматическая рефлекторная дистрофия коне
Alexander Chelnokov 27 Июнь 2007, 00:40
|
Dear Aleksey,
AL> гипсовая иммобилизация 4 нед, препараты кальция.
Зачем?
AL> В реабилитационном периоде получала ЛФК,
Вот единственное, что было нужно - разработка движений.
AL> физотерапию,
Что под этим понимается? На Западе - это и есть ЛФК и разработка двжений. В наших краях, видимо, так уже и назначается "физиотерапия",
без разделения на электрофорез, УВЧ и прочие лазеры...
AL> медикаментозные болкады.
Медикамент - любой?
AL> На данный момент женщину беспокоят слабокупирующиеся боли
Действительно, похоже на Reflex Sympathetic Dystrophy.
AL> на Ргр нарастают явления остеопороза, не смотря на прием
AL> препаратов кальция(рис.
А откуда слухи, что прием препаратов кальция должен останавливать прогрессирование остеопроза при RSD?
AL> Прошу поделиться вашим опытом ведения таких больных. Какими
AL> препаратами можно купировать болевой синдром? сейчас она приниает
Поскольку патогенез этого состояния неизвестен, какой-то четкой схемы лечения, или одного лекарства нет.
Самой важной мерой считается ранняя мобилизация поврежденного сегмента, восстановление амплитуды движений. Можно в воде. По мере восстановления функции спадает отек и уходят остальные болезненные проявления.
Многим помогают местные симпатические блокады (звездчатый ганглий). Обезболивание - нестероидные протиововспалительные, трициклические антидепрессанты (амитриптилин), нейронтин (из новых).
Противоостеопорозные препараты - миакальцик, фосамакс (алендронат).
Чрескожная элекростимуляция неплохо отвлекает.
Поиск по "reflex sympathetic dystrophy double blind" в
Medline дает 47 источников. Так что успех врачей и пациентку непрменно ждет.
|
[
Ответить ]
|
Re: Посттравматическая рефлекторная дистрофия коне
Rinat Ramanov 27 Июнь 2007, 18:49
|
Видимо там был оскольчатый перелом луча и шиловидного отростка
локтевой кости.
В гипсовом повязке наблюдалось вторичное смещение костных отломков по длине (при передне-заднем рентгенограмме), и при боковй проекции видно смещение отломка в дорсальном направлении и таким
образом последный дает компрессию нервов в лучезапястном канале (типа синд. Зудека)
Это видно и клинически.
Этого синдрома купировать почти невозможно на долгий срок, потому что идет постоянная компрессия в канале. остеопопроз это из-за нарушения
иннерваций область кисти.
предлагаем открытую репозицию костных отломков и фиксация спицами
|
[
Ответить ]
|
Re: Посттравматическая рефлекторная дистрофия конечности
Зинчук 27 Июнь 2007, 22:08
|
Дайте интраназально миакальцик в течение 4-6 недель, я думаю, вы получите ожидаемый эффект.
|
[
Ответить ]
|
Re: Посттравматическая рефлекторная дистрофия коне
Исмаил Дибиров 29 Июнь 2007, 05:44
|
Это так называемый"синдром Зудека",дистрофия Зудека,пятнистый остеопороз Зудека .Амбулаторные травматологи на повторном
приеме довольно часто встречаются с данной патологией.Интересно то,что начинаются проблемы после снятия гипса.Часто лечение
занимает больше времени,чем обычный перелом "луча" в разы.В основе лежат сосудистые и нейротрофические расстройства.
Помогает ЛФК,Э/форез с Са,массаж.Вит.гр В,прозерин,лидаза.Сосудистая терапия. Главное в лечении-настырные и терпеливые
движения "через боль".
|
[
Ответить ]
|
Re: Посттравматическая рефлекторная дистрофия коне
Отправитель: Alexander Chelnokov 29 Июнь 2007, 05:45
|
ИД> Э/форез с Са,массаж.Вит.гр В,прозерин,лидаза.Сосудистая терапия.
Действительно, много где миф о витаминах, прозеринах и прочем перечисленном все еще жив.
ИД> Главное в лечении-настырные и терпеливые движения "через боль".
А раз результат обеспечивается именно этим, для видимости напряженного лечения его можно дополнять чем угодно, хоть и витаминами с прозерином.
|
[
Ответить ]
|
Re: Посттравматическая рефлекторная дистрофия коне
Отправитель: Смирнов А.И. 29 Июнь 2007, 11:11
|
Действительно, есть целый ряд патологий, где лечит время и доброе участие доктора приправленное всякой ахиненей в виде иммуномодуляции, витаминотерапии, физиолечения и т.д.
Спектр - насморк - 7 дней; боль в нижней части спины - 80% выздоравливают несмотря на проводимое лечение в течение месяца;плечелопаточные периартриты; локтевые эпикондилиты; "пяточные шпоры" ну и, конечно, так называемый, синдром Зудека.
Какова патоморфология каждого из этих состояний, каков субстрат боли следует разбираться детальнейшим образом и тогда станет ясным, что витаминотерапия здесь не помошник.
|
[
Ответить ]
|
Re: Посттравматическая рефлекторная дистрофия коне
Отправитель: Исмаил Дибиров 02 Июль 2007, 04:41
|
На днях у меня забрали больного с "сотрясением головного мозга" по причине,что даже капельниц не ставили. Иногда "балласт"полезен даже в лечении,дисциплинирует больных. В данном случае время лечит.Насчет "этиопатогенеза": лет 8 не
занимаюсь амбулаторной травмой.Появляется "он",когда совсем не ждешь,как в песне.Возраст больного,даже больной(чаще у дам),тяжесть травмы,частота и травматичность репозиций, порочное положение кисти при иммобилизации, длительность иммобилизации.В данном случае ничего этого трудно предположить.Казалось бы:вколоченный луч коих проходит сотнями за год,если сильно не присматриваться. Даже появляется гипертрихоз, это как объяснишь? Ранняя мобилизация,фиксация в физиологичном положении ,"без клюшки"в ладонную и локтевую сторону.А так поглядывать почаще в "Мюллера".
|
[
Ответить ]
|
Re: Посттравматическая рефлекторная дистрофия коне
Отправитель: Maxim Agalakov 02 Июль 2007, 04:42
|
.Даже появляется гипертрихоз,это
> как объяснишь?.
меня тоже интересовало, у молодых пациенток неожиданное оволосение вызывало беспокойство. Может из-за локального увеличения кровоснабжения? как правило после консолидации перелома прожодит.
|
[
Ответить ]
|
Re: Посттравматическая рефлекторная дистрофия коне
Отправитель: Alexander Chelnokov 02 Июль 2007, 04:44
|
> На днях у меня забрали больного с "сотрясением головного мозга" по
> причине,что даже капельниц не ставили.
С таким диагнозом в стационаре, по-моему, вообще делать нечего.
> Иногда "балласт"полезен даже в лечении,дисциплинирует больных.В
Может быть, можно вообразить какие-то надуманные ситуации, но тут все-таки речь о существующих только на постсоветском пространстве
неких ритуалах, которые ничем не обоснованы. Типа
витаминов-дибазола-прозерина при повреждении лучевого нерва.
> амбулаторной травмой.Появляется "он",когда совсем не ждешь,как в
Раз в книжках пишут, что патогенез неизвестен, не надо нам этим заморочиваться, пусть биологи-генетики-биохимики занимаются.
> Даже появляется гипертрихоз,это как объяснишь
Усилением кровоснабжения, вестимо. После переломов всегда активнее рост волос на поврtжденном сегменте.
> ,"без клюшки"в ладонную и локтевую сторону.А так поглядывать почаще
> в "Мюллера".
Которого именно?
|
[
Ответить ]
|
|
( Ответить )
|
|