вверх
отправить
поиск
админ
главная
|
перелом таза и вертлужной впадины |
 |
 |
 |
Отправлено Максим Агалаков 06 Июль 2007, 18:52 УНИИТО
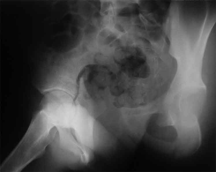
Уважаемые коллеги, сложный случай, интересует ваше мнение. Травма 2 месяца назад, в результате ДТП. При поступлении в лечебное учреждение по м/ж выполнено формирование культи на уровне в/3 левого бедра по (травматический дефект левой н/конечности), в послеоперационном периоде раневая инфекция, остеомиелит - экзартикуляция.
Повреждение таза лечилось консервативно. Интересует ваше мнение по поводу тактики лечения, попытаться свести аппаратом, а потом открытый этап (каким доступом/доступами)? другие варианты? С уважением Максим Агалаков
<
|
>
|
|
Ответить
|
Re: перелом таза и вертлужной впадины
Максим Агалаков 02 Август 2007, 16:24
|
продолжение темы. не увидел энтузиазма в обсуждении. Вопросы прежние, первым этапом закрыто устранили вертикальное и передне-заднее смещение. Каким образом восстановить целостность тазового кольца, из каких доступов? Снимки в приложении

|
[
Ответить ]
|
Re: перелом таза и вертлужной впадины
Андрей 13 Сентябрь 2007, 03:20
|
передне-неружным внебрюшинным доступом к лонно-седалищномц сочленению - синтез штангами(можно из заднего доступа, но хуже обзор и труднее репозиция), из этого же доступа к крыше вертлужной впадины - синтез реконструктивными пластинами(мы делали "ChM" тазовыми, хорошо себя зарекомендовали), передним доступом на лонное сочленение - синтез подобной пластиной. к задней колонне вертлужной впадины - задне-наружный доступ, синтез такой же пластиной. КРОВОПОТЕРЯ!!! возможно до 7л. мощная ангтибак. профилактика во время и после операции. до перехода на заднюю колонну оперировать в аппарате. бвл подобный случай, по снятии аппарата через 8 мес. - рецедив смещений сразу.
|
[
Ответить ]
|
( Ответить )
|
|