Ответить
|
Re: Несросшийся перелом локтевой кости, подвывих предплечья кзади.Перелом венечного отростка. Состояние после резекции головки лучевой. Травма 4 мес. назад.
анатолий 09 Июль 2007, 00:42
|
видимо стоит начать с причины подвывиха,сделайте КТ,МРТ, и первым делом следует стабилизировать сустав
|
[
Ответить ]
|
Re: Несросшийся перелом локтевой кости, подвывих п
Отправитель: Alexaander Chelnokov 09 Июль 2007, 14:26
|
А какая тут еще может быть причина, кроме отсутствия головки лучевой кости и венечного отростка?
|
[
Ответить ]
|
|
Re: Несросшийся перелом локтевой кости, подвывих п
Alexander Rykov 09 Июль 2007, 14:06
|
Или такие снимки и ли задний вывих предплечья не устранен. А Рыков
Хабаровск.
|
[
Ответить ]
|
Re: Несросшийся перелом локтевой кости, подвывих п
Игорь Кучерявый 09 Июль 2007, 14:07
|
А какой на данный момент объем движений в локтевом суставе?
|
[
Ответить ]
|
Re: Несросшийся перелом локтевой кости, подвывих предплечья кзади.Перелом венечного отростка. Состояние после резекции головки лучевой. Травма 4 мес. назад.
Djoldas Kuldjanov, M.D. 10 Июль 2007, 01:13
|
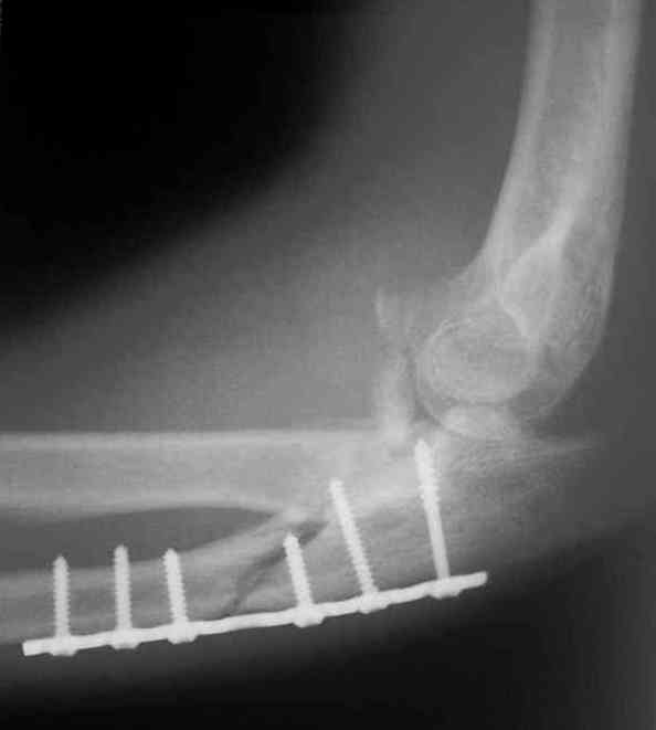
Был выполнен МОС локтевой пластиной,
Что означает МОС?
Иммобилизация после операции 3 нед.Через 3 мес. на Rg несращение локтевой, подвывих предплечья кзади, осификаты в обл. венечного отростка.
Сохранились ли послеоперационные и промежуточные снимки? Кто наблюдал?
Планируем оперировать - синтез локтевой с костной пластикой, попытаемся воcстановить связки.
Какие связки? Как насчет вывиха? Будут ли другие снимки, исследования?
|
[
Ответить ]
|
Re: Несросшийся перелом локтевой кости, подвывих предплечья кзади.Перелом венечного отростка. Состояние после резекции головки лучевой. Травма 4 мес. назад.
Сергей 10 Июль 2007, 23:48
|

Больной наблюдался в поликлинике,к нам попал
через 3 мес. Отмечается контрактура локтевого сустава, сгибание/разгибание 30/0/0.
МРТ у нас нет, сделаны томограммы.
МОС означает металлоостеосинтез.
|
[
Ответить ]
|
Re: Несросшийся перелом локтевой кости, подвывих предплечья кзади.Перелом венечного отростка. Состояние после резекции головки лучевой. Травма 4 мес. назад.
Дмитрий 13 Июль 2007, 21:30
|
1 восстановление венечного отростка: подшивание наибольшего фрагмента к локтевой кости вместе с передней капсулой см картинку

2 протезирование головки лучевой кости
3 интраоперационная оценка стабильности принцип см картинку
4 при наличии нестабильности восстановление соответствующей связки учитывая длительный срок с момента травмы возможно будет необходимо использование сухожильного аутотрансплантата
5 интраоперационная оценка стабильности принцип см картинку
6 при сохранении нестабильности трансфиксация локтевого сустава, после удаления спиц шарнирный ортез на 6 мес, при необходимости с ограничением разгибания
7 фиксация перелома локтевого отростка с помощью 4,5 DCP и стягивающего винта
8 даже если стабильность локтевого сустава будет восстановлена развитее артроза в течение нескольких лет весьма вероятно
P.S.
Напишите, пожалуйста, каков был механизм травмы и сопутствующие заболевания, поскольку данное повреждение более характерно для женщин с остеопорозом при падении на вытянутую руку.
Если вы пришлёте мне фотографии операции и функциональный результат -- буду бесконечно благодарен.
|
[
Ответить ]
|
Re: Несросшийся перелом локтевой кости, подвывих предплечья кзади.Перелом венечного отростка. Состояние после резекции головки лучевой. Травма 4 мес. назад.
Сергей Боженко 17 Июль 2007, 01:55
|
Со слов больного, травму получил при падении в подъзде на ступеньках.
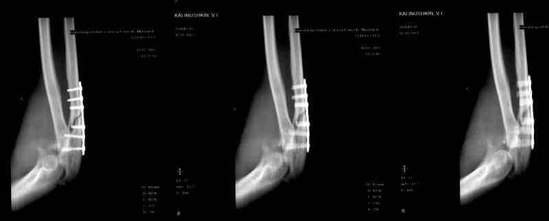
Больной был прооперирован.Протеза головки лучевой у нас нет. Решили с локтевой костью пока ничего не делать. Выполнили операцию по востановлению связочного аппарата локтевого сустава(см.схему)- модфикация метода W.E.Spring,сухожилие мы фикстровали к винту на локтевой.

Естественно ревизия сустава и удаление рубцово-хрящевидных тканей.Затем наложили аппарат Илизарова с шарнирами. Первые 2 дня сустав был фиксирован трансартикулярно 2-мя спицами, затем спицы удалили. И больной начинает движения в аппарате.
Прилагаюся послеоперационные рентгенограммы.
Планиуем аппарат на 3-4 нед.
Хотелось бы услышать коллеги Ваше мнение.
|
[
Ответить ]
|
Re: Несросшийся перелом локтевой кости, подвывих п
Отправитель: Alexander Chelnokov 18 Июль 2007, 05:04
|
> сустава(см.схему)-модфикация метода W.E.Spring,сухожилие мы
> фикстровали к винту на локтевой.
Симпатично. А есть данные по результатам таких операций в подобных случаях, когда нет костных структур, стабилизирующих локтевой сустав спереди?
> Естественно ревизия сустава и удаление рубцово-хрящевидных
> тканей.Затем наложили аппарат Илизарова с шарнирами.
Что-то по снимкам ось шарниров с осью вращения локтевого сустава не сильно близко.
> Первые 2 дня сустав был фиксирован трансартикулярно 2-мя спицами,
> затем спицы удалили.
Что за эти два дня произошло и послужило сигналом к прекращению фиксации спицвами?
> Планиуем аппарат на 3-4 нед.
До какой амплитуды намереваетесь проделывать движения? Какая амплитуда была на столе, после пластики и артролиза?
|
[
Ответить ]
|
Re: Несросшийся перелом локтевой кости, подвывих п
Отправитель: Сергей 20 Июль 2007, 16:16
|
Опыта лечения таких больных у нас нет.
В аппарате Илизарова пытаемся сохранить объем движений, что и до операции, но хотелось бы увеличить. Поэтому начали ранние движения в локтевом суставе.
|
[
Ответить ]
|
Re: Несросшийся перелом локтевой кости, подвывих предплечья кзади.Перелом венечного отростка. Состояние после резекции головки лучевой. Травма 4 мес. назад.
Отправитель: Руслан 10 Июль 2009, 15:27
|
это больше похоже на апарат Волкова-Аганясяна...хотя я могу и ошибатся...
|
[
Ответить ]
|
|
( Ответить )
|