вверх
отправить
поиск
админ
главная
|
Отправлено Константин Иванович Бабурин 16 Июль 2007, 21:31
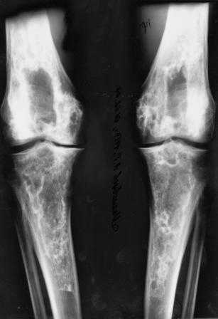
Мужчина, 53 года, жалуется на постоянные ноющие боли в костях голеней, усиливающиеся после ходьбы, боли в коленных суставах. Считает себя больным с 1987 г., когда впервые появились боли в коленных суставах. В 1990 г. выставлен д-з: вторичный ДОА коленных суставов, фиброзная дисплазия костей. После проведенного лечения (НПВП, радоновые ванны, курс введения кислорода в коленные суставы) в течение 5 лет ремиссия. С 1995 г. ежегодные обострения весной и осенью, проявляющиеся болями в коленных суставах, явлениями синовита. Проводилось лечение НПВП, физиопроцедуры, внутрисуставное введение дипроспана с положительным эффектом. С 2004 г. - эффекта от проводимой терапии нет. В 2006 г. впервые по рентгеновским снимкам выставлен д-з: болезнь Альберса-Шенберга. Деформирующий гонартроз справа 2 ст., слева 3 ст. С 2006 г. ездит на лечение в Китай, где проводится лечение радоновыми грязями, массаж с положительным эффектом. Объективно: коленные суставы деформированы, при пальпации б/болезненные. Движения в полном объеме. При ходьбе хромает. Диагноз: болезнь Алберс-Шонберга. Деформирующий гонартроз справа 2 ст., слева 3 ст.Хотелось бы уточнить диагноз и определить тактику дальнейшего лечения. Заранее спасибо.
Константин Иванович Бабурин врач-координатор лаборатории телемедицинских технологий ДВГМУ, Хабаровск
<
|
>
|
|
Ответить
|
Re: болезнь Альберс-Шонберга
Василий Мамонов 18 Июль 2007, 04:29
|
Похожую рентгеновскую картину наблюдали у пациентов с костными проявлениями
болезни Гоше. Эта болезнь накопления может проявляться в любом возрасте. Для
исключения или подтверждения диагноза требуется УЗИ печени и селезёнки (возможна гепато-, спленомегалия), общий анализ крови (возможна
тромбоцитопения) и, анализ крови на активность бета-глюкоцереброзидазы (на 100% подтверждает или исключает диагноз болезни Гоше). Ярошевская Ирина
Юрьевна - генеральный директор компании Медипал-Онко (тел. (495) 267-49-98, 267-48-12, 267-53-36) может помочь с организацией выполнения этого анализа (где, как, сколько стоит). Можете ссылаться на меня.
С уважением, Мамонов Василий Евгеньевич, ГНЦ РАМН.
|
[
Ответить ]
|
Re: болезнь Альберс-Шонберга
С.А. Михайлов 18 Июль 2007, 16:02
|
Представленные Вами данные о пациенте 57 дет с болезнью Альбертс-Шенберга чрезвычайно интересны, но диагноз вызывает большие сомнения. Для мраморной болезни характерно прееобладание склероза, а на представленных рентгенограммах преобладает симметричная дезорганизация архитектоники губчатой кости в эпиметафизарной зоне дистальных отделов бедер и голеней.
Мне кажется, представленные рентгенограммы скорее соответствуют варианту фиброзной дисплазии который был описан М. Campanacci (1976) или
обызвествляющей фиброме H.E.Schlitter (1958).
Учитывая обширность процесса, прогноз неблагоприятный. Консервативное лечение симптоматическое. При остеопорозе терапия должна определяться выраженностью дефицита МПК. Любая физиотерапия категорически запрещена из-за
возможности озлокачествеления. Теоретически возможен вариант индивидуального эндопротезирование коленных суставов, но представленные рентгенограммы не позволяют высказать окончательное суждение. Наибольший практический опыт по данной патологии имел проф. С.Т.Зацепин из ЦИТО.
С уважением,
проф. С.А. Михайлов
РНИИТО имени Р.Р. Вредена.
|
[
Ответить ]
|
Re: болезнь Альберс-Шонберга
Abdelsalam Eid 19 Июль 2007, 17:06
|
I spent the last hour or so trying to search for any material linking Osteopetrosis to :
- Knee
- pain
-osteoarthritis
- and TKR
I came up empty handed.
I suppose a patient like that with 20 years of suffering is looking for a more or less definitive treatment probably TKR.
This is probably what you and his doctor are consulting for.
My extensive search has convinced me that this is indeed an extremely rare problem, not many of us have seen patients with osteopetrosis let alone those with knee OA in need of TKR.
So, my advice would be as follows.
Check with long X rays for extra articular deformities.
The surgeon must be well experienced in TKR to begin with.
A very good and precise instrument system is needed.
For the femur, an intramedullary guide will probably be very difficult to introduce, so a surface external reference system is required. A Computer Assisted system will probably be best.
For the tibia external referencing instruments are popular and present no problem.
Extra gentleness in hammering throughout the procedure.
Best of luck
Dr Abdelsalam EID M.D., AFSA (Paris V)
AO Fellow
Lecturer of Orthopedic Surgery
Faculty of Medicine, Zagazig University,
Egypt.
|
[
Ответить ]
|
Re: болезнь Альберс-Шонберга
Myles Clough 19 Июль 2007, 17:10
|
One case of TKR in osteopetrosis was reported by the Hospital for Joint Diseases
http://www.ncbi.nlm.nih.gov/sites/entrez?Db=pubmed&Cmd=ShowDetailView&TermToSearch=2791389&ordinalpos=3&itool=EntrezSystem2.PEntrez.Pubmed.Pubmed_ResultsPanel.Pubmed_RVDocSum<
and Strickland & Berry reported 5 cases from the Mayo Clinic
http://www.ncbi.nlm.nih.gov/sites/entrez?Db=pubmed&Cmd=ShowDetailView&TermToSearch=16139724&ordinalpos=1&itool=EntrezSystem2.PEntrez.Pubmed.Pubmed_ResultsPanel.Pubmed_RVDocSum
11 of the first 20 articles in this list are concerned with orthopaedic management of osteopetrosis. I would endorse Dr Eid's suggestions from a position of the most profound ignorance :-)
Myles Clough MD FRCSC DPhil
Orthopaedic Surgeon
Kamloops, British Columbia
Clinical Instructor, University of British Columbia, Dept of Orthopaedics
Editor Orthopaedic Web Links http://www.orthopaedicweblinks.com
Co-Editor Orthogate http://www.orthogate.org
mylesclough@shaw.ca
|
[
Ответить ]
|
Re: болезнь Альберс-Шонберга
Myles Clough 19 Июль 2007, 17:13
|
AC > What do you think about diagnosis and what teatment would be
useful?
Diagnosis (of osteopetrosis) would be strengthened by xrays of other areas such as hips, spine and mandible. I wondered about melorheostosis.
(No articles were found in a PubMed search for "Melorheostosis"[Mesh] AND "Osteoarthritis, Knee"[Mesh] They can of course co-exist but the one may not cause the other)
The difficulty that everyone talks about in surgical treatment of osteopetrosis is the obliteration or severe narrowing of the medulla.
Combined with bone hardness and fragility this makes using IM guides a big problem. If his symptoms were primarily medial, would you consider a unicompartmental arthroplasty? You can probably do most versions of this operation without intramedullary guides.
Myles Clough MD FRCSC DPhil
Orthopaedic Surgeon
Kamloops, British Columbia
Clinical Instructor, University of British Columbia, Dept of
Orthopaedics
|
[
Ответить ]
|
Re: болезнь Альберс-Шонберга
Отправитель: Alexander Chelnokov 20 Июль 2007, 05:31
|
Кстати, действительно, почему не мелореостоз?
На форуме как-то вспоминали про это заболевание (кость на рентгенограмме в виде оплывающей свечи)
|
[
Ответить ]
|
|
Re: болезнь Альберс-Шонберга
Зельский Илья Александрович 19 Июль 2007, 21:22
|
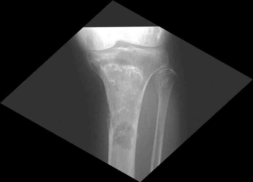
Уважаемый Константин Иванович! Полностью согласен с проф. Михайловым, данный случай не похож на мраморную болезнь, при которой имеется резкое, строго симметричное и генерализованное уплотнение костной ткани (остеопетроз), и кость оказывается построенной преимущественно из гомогенного компактного костного вещества. Для примера привожу случай из архива нашего института (бедренные, плечевые кости и таз, рис 1,2,3)

Изменения структуры костей у Вашего пациента больше похожи на полиоссальную форму фиброзной дисплазии или болезнь Педжета, возможены также инфаркты костного мозга б.берцовых костей. К сожалению, качество снимка не очень хорошее, непонятно, сохранен ли кортикальный слой б.берцовых костей по передней поверхности.
Для примера привожу случай из архива американской ассоциации рентгенологов (ACR) - развитие злокачественной фиброзной гистиоцитомы на левой б.берцовой кости у пациента с множественными инфарктами костного мозга (рис 4,5 - левая, рис 6 - правая)

С уважением, Зельский И.А., УНИИТО,Екатеринбург
|
[
Ответить ]
|
Re: болезнь Альберс-Шонберга
Константин Иванович Бабурин 20 Июль 2007, 05:37
|
Представленные рентгенограммы и выписки были проконсультированы профессорами А.В.Балберкиным (зав. отделением костной патологии, ЦИТО) и А.К.Морозовым (зав. отд. лучевых методов диагностики, ЦИТО). Для уточнения диагноза больному необходимо более углубленное обследование (сцинтиграфия скелета, биохимические анализы с исследованием маркеров резорбции, костеобразования и показателей гомеостаза Са и Р), КТ пораженных отделов.
По всей видимости, потребуется биопсия с гистологическим и, возможно, иммуноморфологическим исследованием. Обследование по органам.
По имеющимся рентгенограммам и выписке можно предположить вторичный характер поражения (на фоне гематологического заболевания или опухолевого процесса), хотя полностью нельзя отвергнуть наличие дисплазии (к сожалению, снимки в переданном формате ограниченного объема не позволяют высказаться более конкретно).
|
[
Ответить ]
|
Re: болезнь Альберс-Шонберга
Vinod Naneria 20 Июль 2007, 05:39
|
I strongly suspect Paget disease.
In my opinion - an Alkaline phosphatase should be done. If it is high, Bisphosphonate high dosage gives good pain releif.
An x-ray pelvis, spine might help in setteling the diagnosis.
Thanks,
with best wishes,
vinod naneria
consultant orthopaedic surgeon,
Choithram Hospital & Research Centre, Indore
India
|
[
Ответить ]
|
Re: болезнь Альберс-Шонберга
Djoldas Kuldjanov 20 Июль 2007, 05:51
|
Для установки точного заболевания необходимо провести дифференцировку между заболеваниями скелетной дисплазии и множественным инфарктом мета-диафиза.
Дисплазии костного скелета встречается крайне редко, многие из них проявляются в виде нарушений формы скелета, а те, которые не проявляется физикально в основном диагностируется при случайных ренгенологических обследованиях.
1. Achondroplasia
2. Cleidocranial dysostosis
3. Dactyly
a. Brachydactyly (короткие пальцы)
b. Camptodactyly (контрагированные)
c. Polydactyly
d. Syndactyly
4. Enchondromatosis (Ollier)
5. Fibrous dysplasia
a. usual form (Jaffe-Lichtenstein)
b. with skin pigmentation and precocious puberty
(McCune-Albright)
6. Gaucher's
7. Hypophosphatemic rickets
8. Marfan's
9. Multiple hereditary exostoses
10. Neurofibromatosis
11. Osteogenesis imperfecta
12. Osteopetrosis
a. (with osteopetrosis, you get pyknodysostosis for
free)
13. Osteopoikilosis
Заболевание Albers-Schonberg, о котором идет речь, также знаком под синонимами генерализованной врожденный остеосклероз, мраморная кость.
Остеопетроз характеризуется болями в костях, а на ренгене следы множественных несращении длинных трубчатых костей и “белая-мелоподобная” кость.
Клинически проявляется головными болями из-за компрессии нервов и иногда приводящим к слепоте и глухоте.
Лабораторно - тромбоцитопеническая анемия из-за отсутствия кроветворных очагов в трубчатых костях, лейкопения, увеличение селезенки, частые инфекции и хронический остеомиелит.
Дифференцирование заболевания провести легко из-за невозможности прокола кости биопсийной иглой.
“При лечении переломов у больных с остеопетрозом (в прошлом году был случай) необходимо быть готовым к длительным операциям из-за трудности
обработки традиционными методами "мраморной" кости, иметь в наличие достаточное количество свежих острых инстументов и персонала при необходимости замены (были случаи отстрочки операции на следующий день из-за физической усталости персонала), и надо избежать особо трудоемких операции как интрамедуллярное сверление”.
Из диагноза нельзя исключить кальцифицированную энхондрому, но обычно редко распространяется в два сегмента. Не снимается возможности хондрогенной саркомы, коллагеновую васкулярную патологию и алкоголизм, но необходимо подтвердить дополнительными исследованиями и должны быть
клинические проявления. МРТ и биопсия костей является одним из необходимых методов уточнения диагноза.
Не являюсь специалистом по костной патологии, но мне кажется, на ренгенограмме множественные мета-диафизарные образования напоминяющее змееподобных извилистых линии и периостеальные ламинирование очень напоминяет картину остеонекроза (инфаркта) костей, возможно связано с длительным применением стероидов.
При предоставлении дополнительных информации, сканнирования, МРТ и лабараторных данных можно уточнить предварительный диагноз, пока склонен к обширному костному инфаркту, и таких больных рекомендуем лечить сиптоматически.
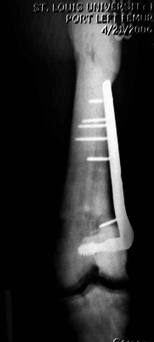
слайды из прошлегодного случая.

Djoldas Kuldjanov, MD
Department of Orthopedic Surgery
St. Louis University Medical Center
|
[
Ответить ]
|
Re: болезнь Альберс-Шонберга
Krunoslav Margic' 20 Июль 2007, 21:05
|
H. A. Thomas Fairbank. MELORHEOSTOSIS. J Bone Joint Surg Br 1948 30-B: 533-546.
Free download at:
http://www.jbjs.org.uk/content/vol30-B/issue3/index.dtl
Good luck!
prim.dr. Krunoslav Margic, dr.med.
Department of plastic and reconstructive surgery
General hospital
Sempeter pri Gorici
Slovenija
|
[
Ответить ]
|
Re: болезнь Альберс-Шонберга
Dr.Vishwanath Iyer 20 Июль 2007, 21:33
|
I would also keep Paget's disease in mind.
Whatever treatment he has been taking has been doing him some good. From allopathic side occasional NsAID when the pain is very severe is what I would advise.
Cheers!
Visu
|
[
Ответить ]
|
Re: болезнь Альберс-Шонберга
Отправитель: Abdelsalam Eid 25 Июль 2007, 02:00
|
Dear Dr Iyer
The diagnosis of Paget's disease is indeed not unlikely for those X rays.
Was he ever biopsied, could it be done.
If it is Paget's, it could respond to antiresorptie therapy especially cacitonin which has analgesic effect.
Another suggestion ould be a therapeutic test with Calcitonin.
Dr Abdelsalam EID M.D., AFSA (Paris V)
AO Fellow
Lecturer of Orthopedic Surgery
Faculty of Medicine, Zagazig University,
Egypt.
|
[
Ответить ]
|
|
( Ответить )
|
|