AOTRAUMA.ORG Центр Илизарова  

Ортопедия и травматология Общие вопросы/General questions Help Информационные технологии в медицине
 вверх
 отправить
 поиск
 админ
 главная


Эндопротезирование плечевого сустава
Ортопедия и травматология Отправлено Евгений 24 Июль 2007, 00:18
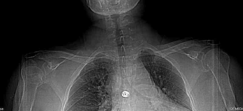
Уважаемые коллеги! Больная Н, 61 год, получила травму год назад. Закрытый оскольчатый перелом головки правого плеча, со смещением отломков.
Проведено консервативное лечение. Результаты представлены.
После нескольких курсов восстановительного лечения, динамика положительная, но сохраняется значительное ограничение функции конечности, выраженный болевой синдром в т.ч. и в покое. Больная вышла на инвалидность, не в состоянии писать, печатать на компьютере, управляться с ложкой.

Мнения коллег нашей больницы больная не разделяет и настаивает на эндопротезировании плечевого сустава. Было предложено провести артроскопию, субакромиальную декомпрессию плечевого сустава. Учитывая допущенные дефекты в лечении, о которых больной известно, министерство готово выделить квоту на эндопротезирование, но так ли эффективна эта операция. Хочется узнать ваше мнение по этому поводу. На что может надеется больная после эндопротезирования.

<  |  >

 

  • Сообщения о Ортопедия и травматология
  • Также Евгений
  • Связаться с автором
  • Ответить

    Re: Эндопротезирование плечевого сустава
    PEPP 27 Июль 2007, 15:12
    Есть компьютерная томография сустава?
    Прежде чем что- то делать.
    [ Ответить ]

    Re: Эндопротезирование плечевого сустава
    Найданов В.Ф. 14 Август 2007, 22:51
    На Вашем снимке я вижу только перелом большого бугорка (сразу двух его фасеток) плечевой кости со смещением. Если это так. то смысла в эндопротезировании нет. Необходима о/репозиция, остеосинтез. Подобный опыт у меня был. Результаты - отличные. Но окончательное решение - только после R-графии плечевого сустава в косой проекции (30 градусов здоровым плечом вперед, 5-10 градусов сверху вниз), аксиальной проекции, или КТ.
    [ Ответить ]

    Re: Эндопротезирование плечевого сустава
    Найданов В.Ф. 14 Август 2007, 22:55
    Дополнение. Не смотрите на деформацию головки, там, конечно, был оскольчатый перелом. Но проблема не в этом. Необходимо восстановить "ключ" плечевого сустава - положение бугорка и анатомичную целостность комплекса вращающей манжеты.
    [ Ответить ]


    ( Ответить )

    Powered by Zope  Squishdot Powered MedLink
    Посетитель: 0142835
      "По форме правильно, а по существу - издевательство" В.И.Ленин
    ©2001-2019Orthoforum Coordinator.
    [ Главная | Отправить сообщение | Поиск | Админ ]