вверх
отправить
поиск
админ
главная
|
перелом вертлужной впадины |
 |
 |
 |
Отправлено Евгений Толстихин 27 Июль 2007, 00:20
Уважаемые коллеги, нужна помощь, поступил больной с переломом лонной и седалищной кости слева, перелом вертлужной впадины слева, нестабильный вывих левой бедренной кости. Попытки вправить бедренную кость- безуспешны. На данный момент находится на скелетном вытяжении, посоветуйте какую тактику ведения данного больного выбрать оптимально.Спасибо.
<
|
>
|
|
Ответить
|
Re: перелом вертлужной впадины
Maxim Agalakov 27 Июль 2007, 05:14
|
Для определения тактики лечения необходимы проекции фас, inlet и Judet
|
[
Ответить ]
|
Re: перелом вертлужной впадины
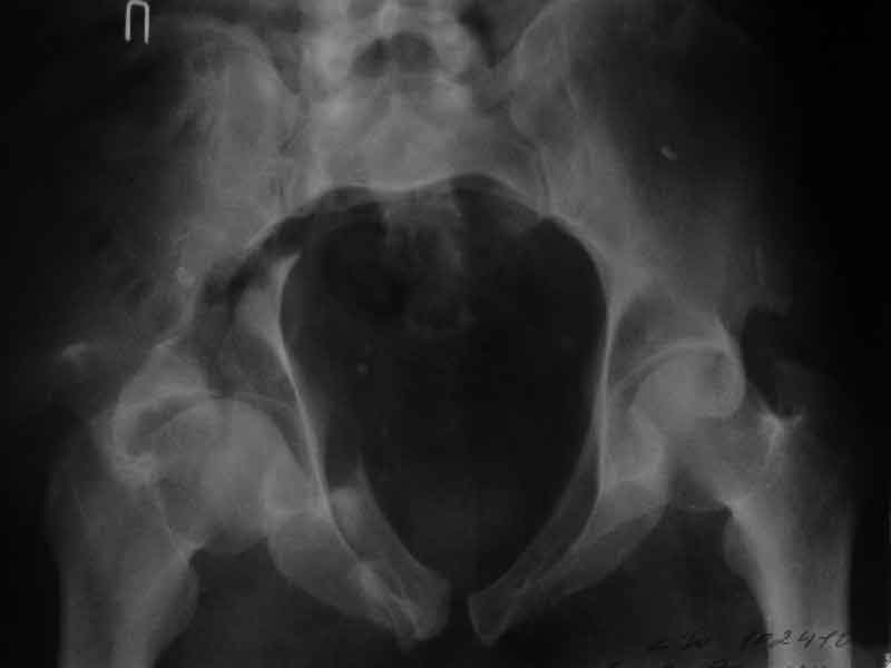
Евгений Толстихин 30 Июль 2007, 17:17
|
Досылаю рентгенограмму

|
[
Ответить ]
|
Re: перелом вертлужной впадины
Отправитель: Maxim Agalakov 31 Июль 2007, 06:24
|
> Досылаю рентгенограмму
Бессмысленно заниматься лечением повреждений вертлужной впадины по такой рентгенограммам, попытайтесь вправить вывих и отправить в лечебное учреждение, где занимаются лечением подобных повреждений.
Поверьте, ни в коем разе не хочу Вас обидеть, но если нет возможности сделать качественные рентгенограммы в нескольких проекциях, то грамотное лечение таких повреждений практически невозможно.
|
[
Ответить ]
|
Re: перелом вертлужной впадины
Отправитель: Maxim Agalakov 01 Август 2007, 05:03
|
Дополнение, минимальный набор необходимых прекций, необходимых для лечения повреждений вертлужной впадины
Фас. Inlet
Подвздошная Запирательная 
|
[
Ответить ]
|
Re: перелом вертлужной впадины
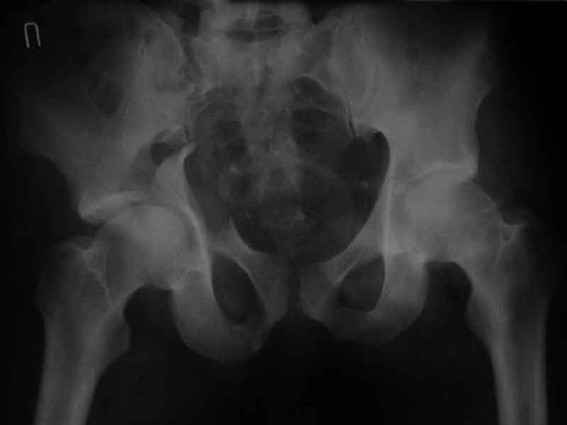
Отправитель: Maxim Agalakov 01 Август 2007, 21:46
|
еще одно дополнение

|
[
Ответить ]
|
|
( Ответить )
|
|