AOTRAUMA.ORG Центр Илизарова  

Ортопедия и травматология Общие вопросы/General questions Help Информационные технологии в медицине
 ВХОД ДЛЯ ПАЦИЕНТОВ
 вверх
 поиск
 админ
 главная


Застарелые повреждения голеностопного сустава
Ортопедия и травматология Прислано Антон Андрианов 13 Август 2007, 19:20
из
Уже 15 лет в отделении мы активно оперируем свежие переломы ГСС по принципам АО и вполне удовлетворены результатами лечения свежей травмы.
В случаях же операций при позднем поступлении или реконструкции после неудачных вмешательств в ряде случаев сохраняется нестабильность ГСС, тенденция к вальгусной деформации. В свежих случаях никогда не приходилось производить шов дельтовидной связки, пластики тоже ни разу не выполнялись.
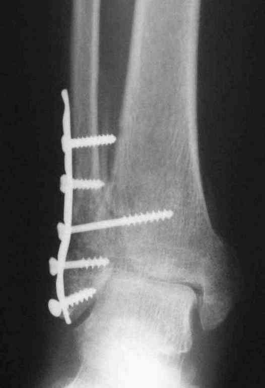
Два примера на снимках.Первый - врач 38 лет, неудачно оперированный в своей больнице с двухлодыжечным переломом, разрывом МБС был повторно оперирован через 8 месяцев. Пытались восстановить длину наружной лодыжки остеотомией, освежили МБС, два месяца функционального лечения без нагрузки на стопу.Сейчас ходит с легкой хромотой, устает к обеду, вальгусное отклонение стопы корригировано супинатором. На Рграммах видны дистрофические изменения латерального эпифиза большеберцовой кости.
Первый снимок через 6 месяцев после травмы, операции остеосинтеза болтом-стяжкой, удаленной по причине нестабильности и наличия свища над металлом.
Второй снимок через 3 месяца после реконструктивной операции.

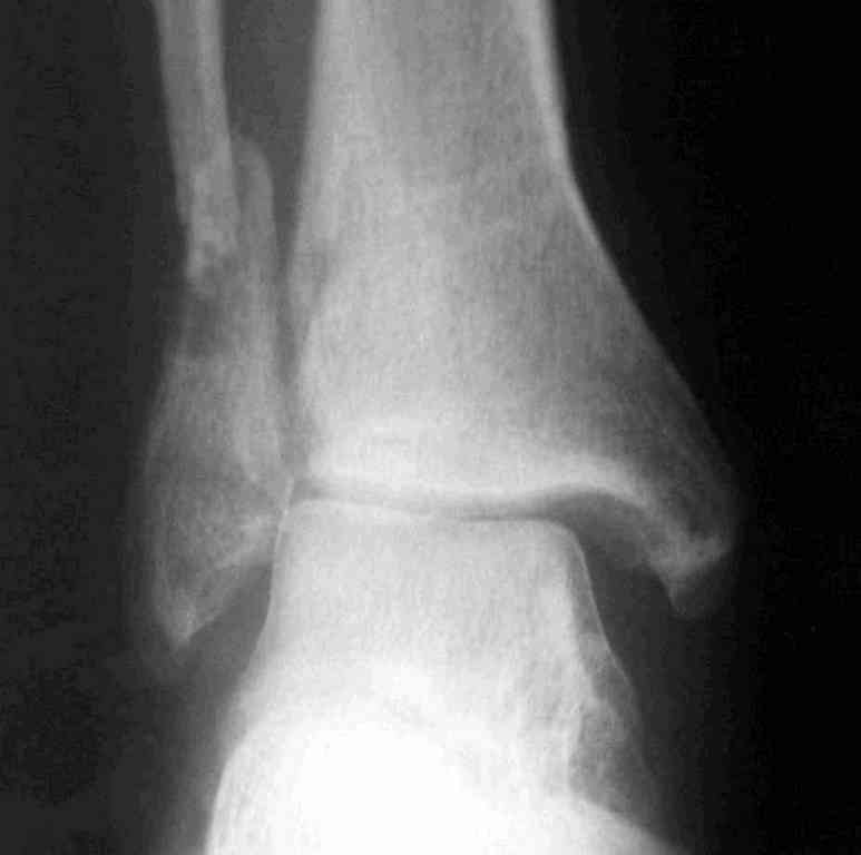
Вторая пациентка 34 лет, перелом получала в Испании, где от операции отказалась, дома по приезду сняла скотчкаст и лечилась у костоправов, нагрузка с 3 недели. Операция через 3 мес после травмы. Остеотомия м-б кости, фиксация пластиной, восстановление МБС. Так как медиальная лодыжка подтянулась, суставная щель на ЭОП контроле нормализовалась ограничились латеральным доступом. Реконструкцию заднего края не пытались сделать тк там уже прослеживалась консолидация, а сминать эпиметафиз не хотелось. В настоящее время ходит с тростью \три месяца после операции\, сустав нестабилен-слабость дельтовидной связки. Супинатор и плотные кроссовки дают возможность длительно ходить.
Первый снимок сделан в Испании после репозиции, второй через 2 месяца после травмы перед операцией, третий-через 3 мес после операции.

У меня вопрос о тактике дальнейшего ведения этих больных. Если с коллегой еще ясно-походит еще ряд лет до развития ДОА и артродез сустава, как финал. То с молодой дамой не все ясно, может ли ей помочь пластика дельтовидной связки ? На сентябрь планируем удаление позиционного винта, можно ли совместить? Где найти методику пластики по Гурьеву? В чем причина дистрофии латерального эпифиза б-б кости-первичная травма с последующим аваскулярным некрозом или следствие нагрузки ходьбой с неустраненными смещениями стопы?

С уважением
Антон Андрианов, Казахстан

Послать ответ

Имя
Email
Уведомление Сообщить мне по e-mail об ответах на это сообщение
Название
Комментарий
(Проверьте URL! Не забудьте написать http://!)
Кодировка
Если не знаете, что выбрать, выберите "Просто текст"!
Приложение
Можно приложить к сообщению файл c изображением, который затем будет доступен увидевшим сообщение.
Подготовка иллюстраций:
  • Рентгенограммы: черно-белые полутоновые изображения в формате JPEG (8 bit, greyscale) с разрешением от 300х200 до 1024х768 пикселов;
  • Клинические фотографии: полноцветные изображения в формате JPEG (24 bit, truecolor) с разрешением от 300х200 до 1024х768 пикселов;
  • Схемы и рисунки: черно-белые (2 bit) штриховые (line-art) изображения в формате GIF или compressed TIFF
  • Подберите степень сжатия файла JPEG и размер изображения таким образом, чтобы необходимые детали были различимы, но размер файла не превышал 75 кб.
  • Учтите, что текущая версия программного обеспечения Форума позволяет приложить к одному сообщению лишь один файл-вложение. Поэтому, если необходимо отправить несколько изображений, можно либо послать каждое как отдельное сообщение, либо в графическом редакторе объединить изображения в одно (сделать коллаж).
  • Если при подготовке изображений встречаются трудности, не стесняйтесь обратиться к координатору Форума.

  • Введите видимые символы в обратном порядке. Enter the above characters in reverse order (*Обязательно)
    В тексте сообщения можно использовать теги HTML <B> <I> <P> <A> <LI> <OL> <UL> <EM> <BR> <TT> <HR> <STRONG> <BLOCKQUOTE> <DIV .*> <DIV> <P .*>
  • Обратите внимание: Поля с жирными названиями обязательны.
  • Старайтесь отвечать в рамках обсуждаемой темы, а не начинать новые обсуждения.
  • Указывайте адекватную тему сообщения, чтобы было ясно, о чем оно.
  • Не послайте сообщений не по теме (оффтопик), раздраженных, грубых или обидных комментариев. Здесь это неуместно.
  • Powered by Zope  Squishdot Powered MedLink
    Посетитель: 0018826
      "По форме правильно, а по существу - издевательство" В.И.Ленин
    ©2001-2019Orthoforum Coordinator.
    [ Главная | Отправить сообщение | Поиск | Админ ]