вверх
отправить
поиск
админ
главная
|
сложный перелом правого бедра |
 |
 |
 |
Отправлено Пётр Ромчук 14 Август 2007, 10:39
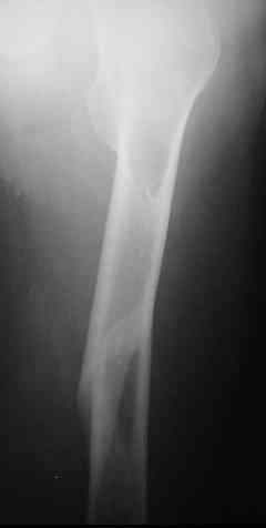
Уважаемые коллеги,пару дней назад к нам поступил пациент 54 лет с таким вот переломом правого бедра. Сейчас на скелетном вытяжении. Хотелось бы услышать мнения по поводу природы округлого просветления в подвербельной области (аневризмальная киста?)и тактики лечения.
Dear all, a few days ago a 54 y.o. patient was admitted to our hospital with this fracture of the right femur. Now he is on a skeletal traction. I'd appreciate your opinion as to: 1.the nature of a lucent lesion (?) in subtrochanteric area - is it ABC? 2.treatment options.Thanks, Peter Romchuk, Central City Hospital, Rivne, Ukraine.С уважением, Петр Ромчук, ЦГБ г.Ривне, Украина
<
|
>
|
|
Ответить
|
Re: сложный перелом правого бедра
Alexaander Chelnokov 14 Август 2007, 19:14
|
Дорогой Петр,
По-моему, самое значимое то, что этот очаг не похож на первичную опухоль, особенно злокачественную. Вопрос, следами какого опухолеподобного заболевания этот очаг является, носит больше академический интерес. Для уточнения характера этого очага желательно сделать еще снимки в других проекциях, если доступно - КТ. Можно сделать биопсию из небольшого разреза.
Идеально было бы сделать остеосинтез длинным гамма гвоздем или другими похожими фиксаторами. Каковы собственные планы?
|
[
Ответить ]
|
Re: сложный перелом правого бедра
V.M.Iyer 14 Август 2007, 23:50
|
Dr Romchuk,
We need to make a diagnosis of the lesion and also treat the fracture. If I had not noticed the luscent lesion, I would have straightaway treated him with a long PFNail.
Having noticed that lesion will not change my decision. Only that when my centering awl goes into the shaft thro the trochanter, I will be careful to save the material it comes out with and send it for histopathology. I would also do a
skeletal survey before the surgery to see any other lesion.
I had a similar case only 2 weeks ago - simple transverse fracture, not comminuted like yours. When we saw the post
operative film, we noticed the luscent lesion at the fracture site. This was a 16 yr old boy, so the most likely diagnosis
is SBC and the tretment has been done. In your case metastasis has to be excluded and the lesion has been noticed
preoperatively
Cheers!
--
Prof V M Iyer, Consultant Iyer Orthopaedic Centre
Retd HOD orthopaedic surgery. Govt medical college. Solapur. India.
|
[
Ответить ]
|
Re: сложный перелом правого бедра
Зельский Илья Александрович 15 Август 2007, 09:35
|
По предъявленным снимкам более вероятны следующие дифференциальные диагнозы:
1. энхондрома
2. фиброма
для аневризмальной кисты нет истончения и вздутия кортикального слоя, также не подходит возраст пациента (АКК выявляется в период от 5 до 30 лет)
конечно, необходимо прицельно снять проксимальный отдел бедра, так как по показанным снимкам не понятно, переходит очаг перестройки на б.вертел и шейку, или нет.
С уважением, Зельский И.А., рентгенолог, УНИИТО
|
[
Ответить ]
|
Re: сложный перелом правого бедра
Odessky Jacob 15 Август 2007, 17:38
|
Hi, dear all!
It is not obligatory pathological fracture. May be the radiolucensy in subtrochanteric area is the part of the fracture. I think that CT can be good answer for this question.
If you have not PFN - the DHS + DFN may resolve the problem with fixation of these fractures.
Do not forget to take biopsy at time of operation.
All best
|
[
Ответить ]
|
Re: сложный перелом правого бедра
rohit shah 15 Август 2007, 20:37
|
dear romchuk
i dont think it has any pathology
we treat such fracture by ENDER nailing
rohit shah
j t jethwa and
bharat patel
|
[
Ответить ]
|
Re: сложный перелом правого бедра
Отправитель: samsnow 15 Август 2007, 21:39
|
WHAT DID YOU WROTE?
|
[
Ответить ]
|
Re: сложный перелом правого бедра
Отправитель: Alexander Chelnokov 16 Август 2007, 11:08
|
А что вызвало этот вопрос? Коллега пишет, что не видит ничего, кроме переломов, и такие переломы они лечат стержнями Эндера.
|
[
Ответить ]
|
Re: сложный перелом правого бедра
Отправитель: samsnow 17 Август 2007, 00:24
|
Нет, он не пишет ,что не видит ничего, кроме переломов,он пишет i dont think it has any pathology посему у меня и возник данный вопрос. Вы же считаете,что следами какого опухолеподобного заболевания этот очаг является, носит больше академический интерес.А коллега вполне может лечить данный перелом в том числе и стержнями Эндера-кто его заругает?
|
[
Ответить ]
|
Re: сложный перелом правого бедра
Отправитель: Alexander Chelnokov 17 Август 2007, 01:14
|
Нет, он не пишет ,что не видит ничего, кроме переломов,он пишет i dont think it has any pathology
Это именно и означает, что патологических изменений кости он не видит, только перелом.
Стержни Эндера были очень популярны, много где по инерции их применяют.
|
[
Ответить ]
|
|
Re: сложный перелом правого бедра
samsnow 17 Август 2007, 00:30
|
Думается,если есть такая возможность, было бы неплохо выполнить синтез FIXION PF
http://www.fixion.ru/rus/webpage/pfsistem.html
|
[
Ответить ]
|
( Ответить )
|
|