AOTRAUMA.ORG Центр Илизарова  

Ортопедия и травматология Общие вопросы/General questions Help Информационные технологии в медицине
 вверх
 отправить
 поиск
 админ
 главная


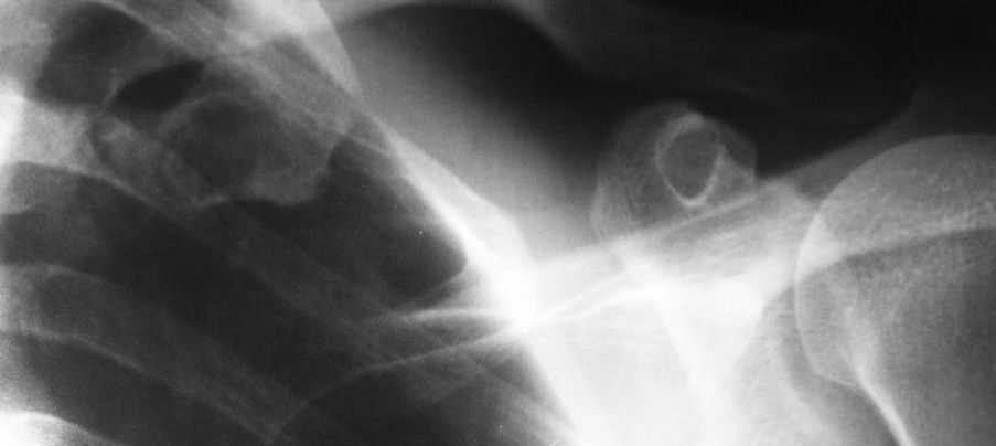
Костная киста первого ребра?
Ортопедия и травматология Отправлено Александр Жужнев 18 Сентябрь 2007, 23:33
Уважаемые коллеги!Помогите определится с диагнозом и дальнейшей тактикой ведения больного
Пациент 42г,больным себя считает около месяца,когда появились боли при пальпации в области левой подключичной ямки,также беспокоят боли в области правого плечевого и ключино-акромиального сочленений.
Об-но:пастозность в левой подключичной области,боли при пальпации там же,кожные покровы физиологической окраски.При осмотре плечевого сустава -клиника плечелопаточного периартрита.
Приношу извинения за качество рентгенограммы

<  |  >

 

  • Сообщения о Ортопедия и травматология
  • Также Александр Жужнев
  • Связаться с автором
  • Ответить

    Re: Костная киста первого ребра?
    Зельский Илья Александрович 19 Сентябрь 2007, 14:40
    Посмотрите с другой стороны - вполне возможно, справа 1 ребро точно такое же (так может выглядеть переход костной части ребра в хрящевую).
    Если нет, то это может быть:
    -кистовидная перестройка грудинного конца ребра дегенеративного или посттравматического характера
    -энхондрома
    -фиброзная дисплазия

    Для диф. диагноза оптимально использовать КТ.

    С уважением, Зельский И.А., рентгенолог, УНИИТО
    [ Ответить ]

    • Re: Костная киста первого ребра?
      Отправитель: Александр Жужнев 19 Сентябрь 2007, 19:17
      Илья Александрович спасибо за совет,снимок с контрлатеральной стороны обязательно сделаю.

      [ Ответить ]
    Re: Костная киста первого ребра?
    Alexander Angelsky 19 Сентябрь 2007, 16:05
    Может быть что боли дает сосудистая аневризма, покажите сосудистым хирургам
    [ Ответить ]

    Re: Костная киста первого ребра?
    FRSM 19 Сентябрь 2007, 19:52
    Симптоматичный пациент с очагом ненормальности в 1 ребре на единственном снимке.

    Алгоритм.
    Д.д. по снимку - однокамерная киста; энхондрома; эозинофильная гранулома; о.остеома. НО иметь ввиду, что некоторые метастазы могут выглядить сходно.

    Что делать?
    1. Те99 сцинтиграфия (ответит на вопросы "единственный ли скелетный очаг" и "активность".
    2. Ежели единственный - прицельный МСКТ + резекционная биопсия.
    3. Ежели один из многих - резекционная биопсия. По результатам - необходимые локализационные исследования.
    [ Ответить ]


    ( Ответить )

    Powered by Zope  Squishdot Powered MedLink
    Посетитель: 0000044
      "По форме правильно, а по существу - издевательство" В.И.Ленин
    ©2001-2019Orthoforum Coordinator.
    [ Главная | Отправить сообщение | Поиск | Админ ]