ВХОД ДЛЯ ПАЦИЕНТОВ
вверх
поиск
админ
главная
исходное
|
Re: Об осложнении
послал Djoldas Kuldjanov, M.D. 30 Сентябрь 2007, 23:42
|
Не всякий решится на публичный разбор своих осложнений, хотя, что скрывать, у многих случаются тактические или исполнительные ошибки.
После описанного жуткого состояния очень трудно будет преодолеть недоверие больного, убедить его пойти на ревизию, потому что обычно такие случаи заканчиваются конфликтом и больные отказываются от
продолжения лечения.
Поэтому, как один из вариантов, можно было предложить продолжение консервативного лечения на скелетном вытяжении, учитывая что, ось конечности выровнена, и, хотя это утомительно для больного, но все-таки выход из положения.
Если больной настроен оптимистически и желает исправления проблемы, тогда можно было бы сделать ревизию, но с учетом состояния и качества костных структур и подбором всех возможных вариантов импланта для адекватной фиксации.
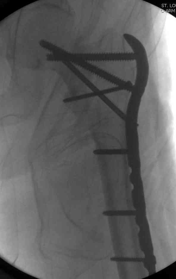
Из-за ослабленного латерального кортекса в проксимальной части бедра (прорезавшийся первичный неудачный штифт) штифт для фиксации не годится. Потом для установки современных блокирующих штифтов необходимы дополнительные оборудования и опыт применения.
Адекватная фиксация достигается длинным 95 градусным Blade Plate, где клинок пластины, связывая головку со средней трети бедра, создал бы условия для сращения.
Другой вариант пластины, это Synthes Proximal Locking Plate предназначенный для лечения прксимальных переломов бедра, где три шурупа: два 7.3 мм, введенных в головку под углом 95, 120 и 5.0 мм в 130 градусов, создают угловую стабильность.

Профилактику прорезывания шурупов в кости можно добиться введением в отверстие цемента, потом проведением шурупа, цемент, застывая, удерживает шуруп в правильном положении.
Надо учесть, что каждая следующая операция повышает риск осложнений.
Спасибо за честность и поучительный случай.
Djoldas Kuldjanov, MD
Department of Orthopedic Surgery
St. Louis University Medical Center
|
| Послать ответ |
Обратите внимание: Поля с жирными названиями обязательны.
Старайтесь отвечать в рамках обсуждаемой темы, а не начинать новые обсуждения.
Указывайте адекватную тему сообщения, чтобы было ясно, о чем оно.
Не послайте сообщений не по теме (оффтопик), раздраженных, грубых или обидных комментариев. Здесь это неуместно.
|