AOTRAUMA.ORG Центр Илизарова  

Ортопедия и травматология Общие вопросы/General questions Help Информационные технологии в медицине
 вверх
 отправить
 поиск
 админ
 главная
 Предыдущее


Re: Перелом пяточной кости
Alexey Semenisty 30 Сентябрь 2007, 10:25
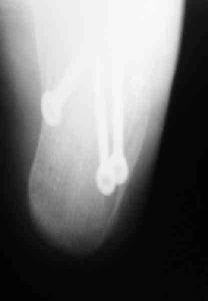
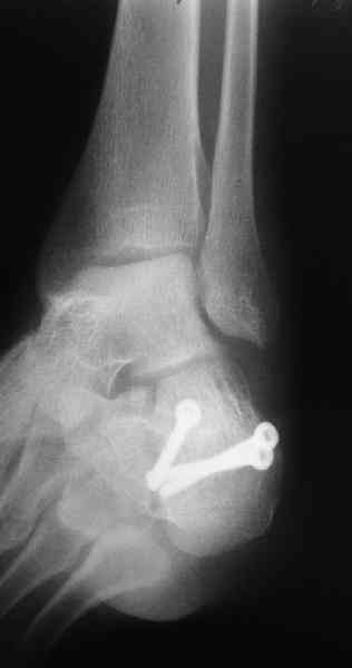
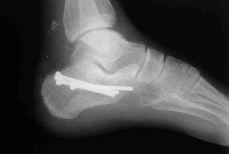
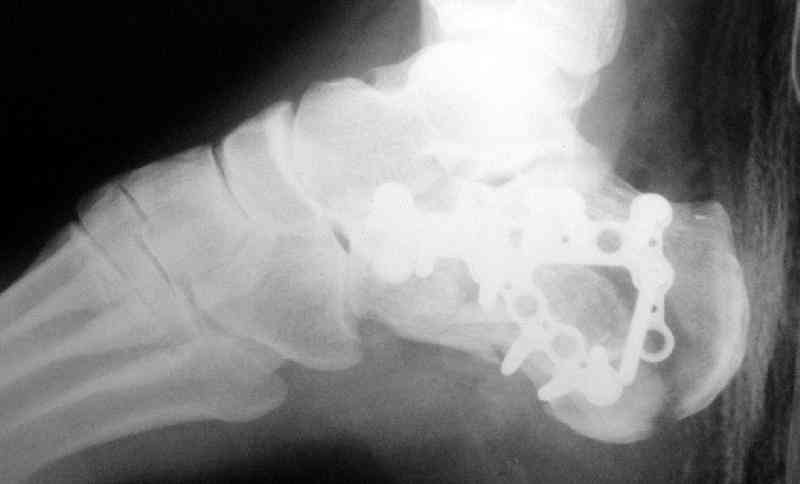
Пяточной пластиной

С уважением, А.Семенистый.
ГКБ № 13, Москва.
  • Сообщения о Ортопедия и травматология
  • Также Alexey Semenisty
  • Связаться с автором
  • Ответить

    Re: Перелом пяточной кости
    Viktor Kost 30 Сентябрь 2007, 12:12
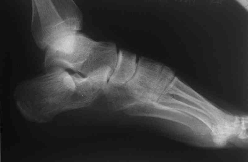
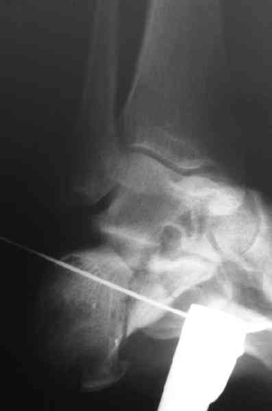
    Какой предпочитаете доступ? Нет ли показательных рентгенснимков?
    [ Ответить ]

    • Re: Перелом пяточной кости
      Отправитель: А.П.Ким 09 Октябрь 2007, 09:41
      Открытый и закрытый способы лечения.









      [ Ответить ]

     

    ( Ответить )

    Powered by Zope  Squishdot Powered MedLink
    Посетитель: 0019148
      "По форме правильно, а по существу - издевательство" В.И.Ленин
    ©2001-2019Orthoforum Coordinator.
    [ Главная | Отправить сообщение | Поиск | Админ ]