AOTRAUMA.ORG Центр Илизарова  

Ортопедия и травматология Общие вопросы/General questions Help Информационные технологии в медицине
 вверх
 отправить
 поиск
 админ
 главная


Инфицированное несращение tibia
Ортопедия и травматология Отправлено Андрей Целюба 29 Октябрь 2007, 01:34
Дорогие коллеги, Обращаюсь за советом. Есть проблемный, в плане лечения, пациент.
Коротко анамнез: травма в 2004 г. - открытый оскольчатый перелом н/3 голени, имелась рана 4х5 см. по передне-внутренней поверхности. Заживление раны вторичным натяжением. Сращения в АВФ нет. В 2005 г. в нашей клинике произведена костная свободная аутопластика с наложением АВФ. В послеоперационном периоде некроз в области старого рубца 2х3 см., тогда же произведена кожная аутопластика на питающей ножке. Сращения в течение 6 мес. нет, аппарат снят.

В 2006 г. произведена костная аутопластика на сосудистой ножке, иммобилизация гипсовой повязкой. На данный момент признаков консолидации нет.

Периодически у пациента возникают явления дерматита на применение местно лекарственных препаратов на голени, периодически открывается точечный свищ по передней пповерхности в проекции ложного сустава с серозно-гнойным отделянмым.

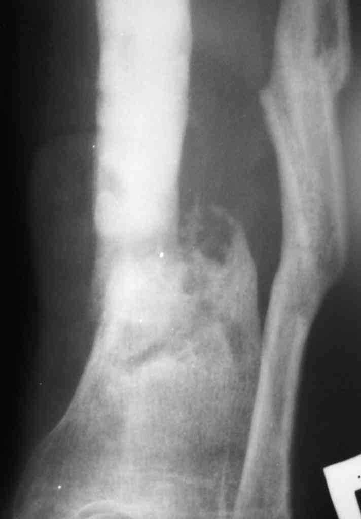
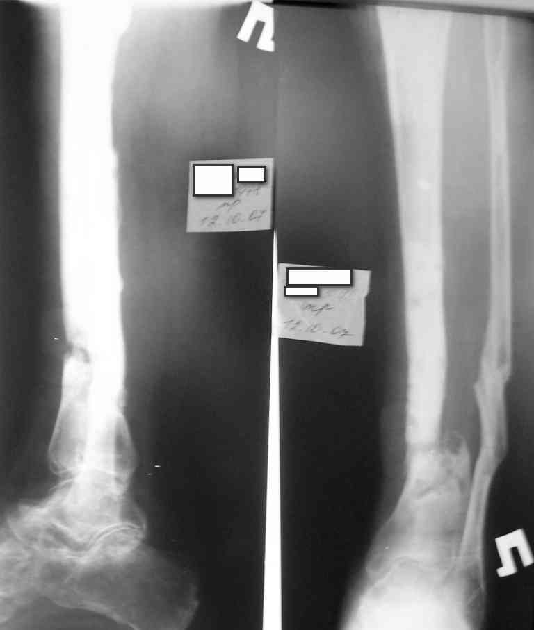
Укорочение конечности на 4,5-5,0 см., растройств чувствительности нет. При ходьбе конечность нагружает практически полностью при использовании тутора и ортопедической обуви. Внешний вид и R-гр. на фото. У больного еще пока сохранился настрой на лечение.

У меня в мыслях в первую очередь удлинить конечность. В области ложного сустава вмешиваться страшно из-за плохой кожи. Какие будут мысли?

С уважением, Андрей.

<  |  >

 

  • Сообщения о Ортопедия и травматология
  • Также Андрей Целюба
  • Связаться с автором
  • Ответить

    Re: Инфицированное несращение tibia
    Е. Халиман 29 Октябрь 2007, 16:02
    Инфицированный ложный сустав, изначально не очень хорошо кровоснабжаемая зона. Вижу только один выход: делать сегментарную резекцию патологического очага с последующим билокальным остеосинтезом.

    [ Ответить ]

    Re: Инфицированное несращение tibia
    Иван Владимирович 29 Октябрь 2007, 20:24
    Вы знаете уважаемый колега. На Вашем месте я бы никуда не вмешивался на такой проблеме, корегируйте за счет обуви. Эта кость болеет. ну а если пациент настаивает, то сначала санаторно-курортное лечение и т.д. когда будет хотябы 6-8мес. ремисии удлиняйте в в/3 апп. Илизарова или др. АВФ.
    [ Ответить ]


    ( Ответить )

    Powered by Zope  Squishdot Powered MedLink
    Посетитель: 0148532
      "По форме правильно, а по существу - издевательство" В.И.Ленин
    ©2001-2019Orthoforum Coordinator.
    [ Главная | Отправить сообщение | Поиск | Админ ]