AOTRAUMA.ORG Центр Илизарова  

Ортопедия и травматология Общие вопросы/General questions Help Информационные технологии в медицине
 ВХОД ДЛЯ ПАЦИЕНТОВ
 вверх
 поиск
 админ
 главная


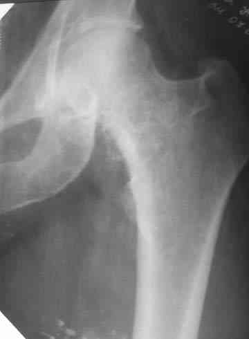
Хондроматоз тазобедренного сустава
Ортопедия и травматология Прислано Жиляков Андрей Викторович 29 Октябрь 2007, 10:46
из Екатеринбургский Медицинский Центр
Пациентка И., 1952 года рождения. При первом поступлении пациентка предъявляла жалобы на резкую боль в левом тазобедренном суставе, возникающую при движении.


Боль постепенно усиливалась в течении последних 2 лет. Лечилась амбулаторно у невролога по месту жительства с диагнозом остеохондроз поясничного отдела позвоночника, корешковый синдром. В общих и биохимических анализах крови изменений не отмечалось, ревматоидный фактор (РФ), С-реактивный белок – в пределах нормы. Рентгенологическое исследование. В прямой и боковой проекции левого тазjбедренного сустава отмечается уплотнение крыши вертлужной впадины. В мягких тканях определяются округлой формы участки неравномерного обызвествления. Заключение. ДОА тазобедренного сустава. Хондроматоз слева в мягких тканях. Клиника. Видимых деформаций в области тазобедренного сустава нет. Ограничено отведение в левом тазобедренном суставе из-за болей до 20º. На основании клинических и лабораторных показателей был поставлен диагноз "Хондроматоз левого тазобедренного сустава". После стандартного предоперационного обследования выполнена диагностическая артроскопия тазобедренного сустава – обнаружены свободно лежащие внутрисуставные хондральные тела > 2 см в диаметре, хондромаляция хряща головки бедренной кости II степени. Выполнена боковая артротомия, внутрисуставные тела удалены, синовиальная оболочка частично резецирована. Послеоперационное течение – без осложнений. Швы сняты в срок, заживление первичным натяжением. Назначен курс лечебной физкультуры. Учитывая наличие рентгенологических признаков коксартроза, проведен курс внутрисуставной вискосуплиментарной терапии препаратами 1% гиалуроновой кислоты № 2. Осмотр через 1 месяц после оперативного лечения. Жалоб на боль при ходьбе нет, движения в полном объеме. Рекомендовано динамическое наблюдение раз в полгода и контрольная рентгенография через год

Послать ответ

Имя
Email
Уведомление Сообщить мне по e-mail об ответах на это сообщение
Название
Комментарий
(Проверьте URL! Не забудьте написать http://!)
Кодировка
Если не знаете, что выбрать, выберите "Просто текст"!
Приложение
Можно приложить к сообщению файл c изображением, который затем будет доступен увидевшим сообщение.
Подготовка иллюстраций:
  • Рентгенограммы: черно-белые полутоновые изображения в формате JPEG (8 bit, greyscale) с разрешением от 300х200 до 1024х768 пикселов;
  • Клинические фотографии: полноцветные изображения в формате JPEG (24 bit, truecolor) с разрешением от 300х200 до 1024х768 пикселов;
  • Схемы и рисунки: черно-белые (2 bit) штриховые (line-art) изображения в формате GIF или compressed TIFF
  • Подберите степень сжатия файла JPEG и размер изображения таким образом, чтобы необходимые детали были различимы, но размер файла не превышал 75 кб.
  • Учтите, что текущая версия программного обеспечения Форума позволяет приложить к одному сообщению лишь один файл-вложение. Поэтому, если необходимо отправить несколько изображений, можно либо послать каждое как отдельное сообщение, либо в графическом редакторе объединить изображения в одно (сделать коллаж).
  • Если при подготовке изображений встречаются трудности, не стесняйтесь обратиться к координатору Форума.

  • Введите видимые символы в обратном порядке. Enter the above characters in reverse order (*Обязательно)
    В тексте сообщения можно использовать теги HTML <B> <I> <P> <A> <LI> <OL> <UL> <EM> <BR> <TT> <HR> <STRONG> <BLOCKQUOTE> <DIV .*> <DIV> <P .*>
  • Обратите внимание: Поля с жирными названиями обязательны.
  • Старайтесь отвечать в рамках обсуждаемой темы, а не начинать новые обсуждения.
  • Указывайте адекватную тему сообщения, чтобы было ясно, о чем оно.
  • Не послайте сообщений не по теме (оффтопик), раздраженных, грубых или обидных комментариев. Здесь это неуместно.
  • Powered by Zope  Squishdot Powered MedLink
    Посетитель: 0143786
      "По форме правильно, а по существу - издевательство" В.И.Ленин
    ©2001-2019Orthoforum Coordinator.
    [ Главная | Отправить сообщение | Поиск | Админ ]