ВХОД ДЛЯ ПАЦИЕНТОВ
вверх
поиск
админ
главная
исходное
|
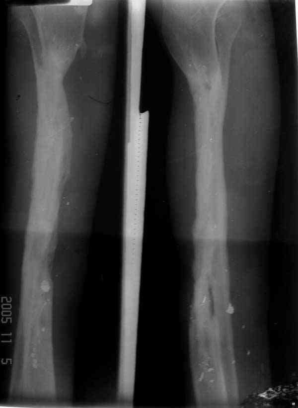
Re: Дефект большеберцовой кости - что делать? Ваше
послал Djoldas Kuldjanov 01 Ноябрь 2007, 20:36
|
У нас не задумываясь провели бы vascularized fibular graft.
Можно было split fibula transfer, но для этого
необходима интактная малоберцовая.
Предложенный Александром вариант, кейдж плюс стержень - неплохая идея, уменьшает срок восстановления, и без наружных атрибутов фиксатора.
Хотя для уменьшения размера дефекта (кейдж) можно было предложить предварительную однофокальное удлинение в проксимальном метафизе, потом применение стержня.
Стержень можно забить через голеностоп в таран, тогда удлинится и усилится короткий дистальный конец.

Если смелость больной достаточна для аппаратного лечения, тогда другой вариант, комбинация удлинения в проксимальном отделе большеберцовой и утолщения малоберцовой в нижней трети, где диаметр малоберцовой позволяет.
Для сокращения времени малоберцовую можно расширить быстрыми темпами, а в образовавшуюся щель ввести костный графт.
Djoldas Kuldjanov, MD
Department of Orthopedic Surgery
St. Louis University Medical Center
|
| Послать ответ |
Обратите внимание: Поля с жирными названиями обязательны.
Старайтесь отвечать в рамках обсуждаемой темы, а не начинать новые обсуждения.
Указывайте адекватную тему сообщения, чтобы было ясно, о чем оно.
Не послайте сообщений не по теме (оффтопик), раздраженных, грубых или обидных комментариев. Здесь это неуместно.
|