AOTRAUMA.ORG Центр Илизарова  

Ортопедия и травматология Общие вопросы/General questions Help Информационные технологии в медицине
 вверх
 отправить
 поиск
 админ
 главная
 Предыдущее


Re: Гексаподы - первый опыт?
Alexey Semenisty 12 Ноябрь 2007, 03:39
Мы начали применять ГЕКСАПОД для достижения репозиции в аппарате Илизарова в мае этого года. Действительно метод замечательный, и на мой взгляд, превращает процесс лечения в аппарате из ремесла в высокотехнологичный метод. Безусловно участие в Гамбургском воркшопе оказалось полезным
особенно для тех, кто в дальнейшем приобрел и стал применять ГЕКСАПОД в клинике. Есть смысл ехать на воркшоп только, если видите перспективу приобретения гексапода с програмным обеспечением и применения метода у себя в клинике. Без самого гексапода с программой эти знания будет некуда
применить.

Ниже привожу наш первый опыт.
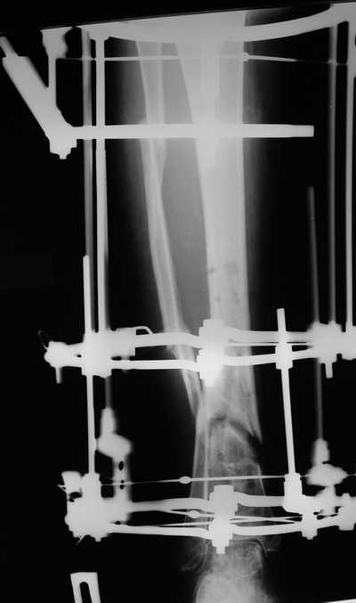
Женщина 46 лет, неудачно лечившаяся по поводу перелома голени в нижней 1\3 сначала в гипсе, поступила через 6 месяцев после остеосинтеза пластиной (рис 1). Имелась деформация в нижней 1\3 голени: варус, антекурвация, наружная ротация, два свища. Удалена пластина, дебридмент мягких тканей,
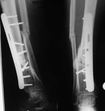
остеотомия м\б кости, аппарат Илизарова. По рентгенограммам в двух проекциях произведено планирование устранения смещений (рис 2 и 3), между вторым и третьим кольцом установлены 6 телескопических дистракторов Гесапода, данные введены в программу, и далее втечение 10 дней больная подкручивала телескопы согласно выданной компьютером инструкции. По завершению репозиции гексаподные телескопы обратно заменены на обычные штанги от аппарата Илизарова (рис 4 и 5). Еще через две недели забит гвоздь (рис 6, контроль
через 4 месяца).



С уважением, А.Семенистый.
ГКБ N 13, Москва.

  • Сообщения о Ортопедия и травматология
  • Также Alexey Semenisty
  • Связаться с автором
  • Ответить

    Re: Гексаподы - первый опыт?
    Alexey Semenisty 12 Ноябрь 2007, 03:43
    Еще один пример.

    Мужчина, 33 года, резекция б\б кости по поводу остеомиелита после открытого перелома. Стандартная методика билокального остеосинтеза (рис 1 и 2). В конце удлинения выявилось неудовлетворительное взиморасположение перемещенного фрагмента и дистального отломка (рис 3). Планирование (рис 4).
    Адаптация отломков гексаподом за 5 дней (рис 5). Замена гексапода на обычные штанги (рис 6 и 7)




    Хотелось бы услышать комментарии эксперта по гексаподу Я.Одесского


    С уважением, А.Семенистый.
    ГКБ № 13, Москва.
    [ Ответить ]

    Re: Гексаподы - первый опыт?
    Jacob Odesky 12 Ноябрь 2007, 03:57
    Уважаемый Алексей!
    Я получил истинное удовольствие от увиденного.
    Я Вас поздравляю.
    Я полностью согласен с Вашей оценкой курса.
    Я желаю всем коллегам, применяющим аппарат Илизарова иметь такие результаты, которые показаны Вами.
    Всего самого наилучшего
    [ Ответить ]


    ( Ответить )

    Powered by Zope  Squishdot Powered MedLink
    Посетитель: 0168793
      "По форме правильно, а по существу - издевательство" В.И.Ленин
    ©2001-2019Orthoforum Coordinator.
    [ Главная | Отправить сообщение | Поиск | Админ ]