Ответить
|
Re: Оскольчатый перелом шейки, головки плечевой кости
Александр Жужнев 10 Ноябрь 2007, 02:17
|
Судя по снимкам головка ротирована,успех закрытой репозиции, на мой взгляд, сомнителен, надо оперировать.
|
[
Ответить ]
|
Re: Оскольчатый перелом шейки, головки плечевой кости
Гринь Алексей 10 Ноябрь 2007, 17:36
|
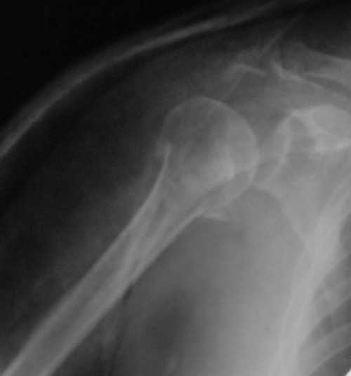
Судя по Р-граммам имеется оскольчатый перелом головки плеча. Во время открытой репозиции имеется большой риск "развалить" перелом, что значительно ухудшит кровоснабжения отломков. А так, на мой взгляд контакт м\у отломками достаточный, не смотря на наличие ротационного смещения головки думаю лучше продолжать консерватикное лечение. С уважением.
|
[
Ответить ]
|
Re: Оскольчатый перелом шейки, головки плечевой кости
Андрей Миронов 10 Ноябрь 2007, 19:06
|
Судя по снимкам еще имеется перелом головки плеча, и чрезкостный отрыв вращательной манжеты. Для уточнения характера перелома не иешало бы сделать КТ. Если вести консервативно, то после сращения перелома будет ограничение движений в суставе не устраивающее больную. Я склоняюсь к оперативному лечению( накостный остеосинтез Т- Г образная пластина, лучше LCP для проксимальног плеча, обязательно подшить на место манжету).
|
[
Ответить ]
|
Re: Оскольчатый перелом шейки, головки плечевой кости
Сергей Ласунский 11 Ноябрь 2007, 19:48
|
В соответствии с работами Neer данный перелом можно классифицировать как однофрагментарный, так как нет диастаза более 1 см и углового смещения более 45 градусов - такие переломы лечатся консервативно. Рентген контроль каждые 10 дней- если смещение не увеличивается, то через 3-4 недели разработка движений в суставе
|
[
Ответить ]
|
Re: Оскольчатый перелом шейки, головки плечевой кости
Отправитель: Odessky Jacob M.D. 11 Ноябрь 2007, 23:32
|
Уважаемый Сергей! Вы правильно написали критерии, но недооценили степень смещения в переломе хирургической шейки. Посмотрите ещё раз, это Two part fracture.
По-поводу тактики лечения, я согласен с Вами, кроме производства рентгенснимков, которые производить не надо с такой частотой, т.к. перлом вколоченный и такие переломы обычно не смещаются.
С уважением!
|
[
Ответить ]
|
Re: Оскольчатый перелом шейки, головки плечевой кости
Отправитель: Ласунский Сергей 18 Ноябрь 2007, 22:28
|
Уважаемый Jacob, что по Вашему мнению относится к 1- part fracture , согласно Neer?
|
[
Ответить ]
|
Re: Оскольчатый перелом шейки, головки плечевой кости
Отправитель: Odessky Jacob M.D. 19 Ноябрь 2007, 04:13
|
Uvajaemij Sergej!
Moe mnenie tut ne pri4em!
Posmotrite na veli4inu smeshenia i Vi uvidete po4emu dannii perelom Neer two part.
S uvajeniem!
|
[
Ответить ]
|
|
Re: Оскольчатый перелом шейки, головки плечевой ко
Виктор 20 Ноябрь 2007, 21:30
|
ОДНОЗНАЧНО ОПЕРИРОВАТЬ
|
[
Ответить ]
|
Re: Оскольчатый перелом шейки, головки плечевой кости
Sergey A. Melashenko 23 Ноябрь 2007, 10:18
|
Ув. коллеги. С удовольствием выслушал ваши предложения но все равно сделал по-своему. Под проводниковой анестезией произвел попытку закрытой репозиции на 10-е сутки, вроде бы неплохо получилось. Кроме того, фрагменты головки имеют конткат между собой, главное, они сохраняют васкуляризацию. при остеосинтезе я думаю не обошлось бы без извлечения головки, сбора вне сустава и обратному инвертированию. Есть риск аваскулярного некроза. Фрагменты головвки настолько малы, и думаю тоже расколоты - куда совать металл? Благодарю за дискуссию. Снимки завтра скину.
|
[
Ответить ]
|
Re: Оскольчатый перелом шейки, головки плечевой кости
Отправитель: Odessky Jacob M.D. 24 Ноябрь 2007, 15:44
|
Кроме того, фрагменты головки имеют конткат между собой, главное, они сохраняют васкуляризацию (Sergey A. Melashenko)
Уважаемый Сергей! Васкуляризация была сохранена и до закрытой репозиции. Будьте любезны представить рентгенснимки после репозиции.
|
[
Ответить ]
|
Re: Оскольчатый перелом шейки, головки плечевой ко
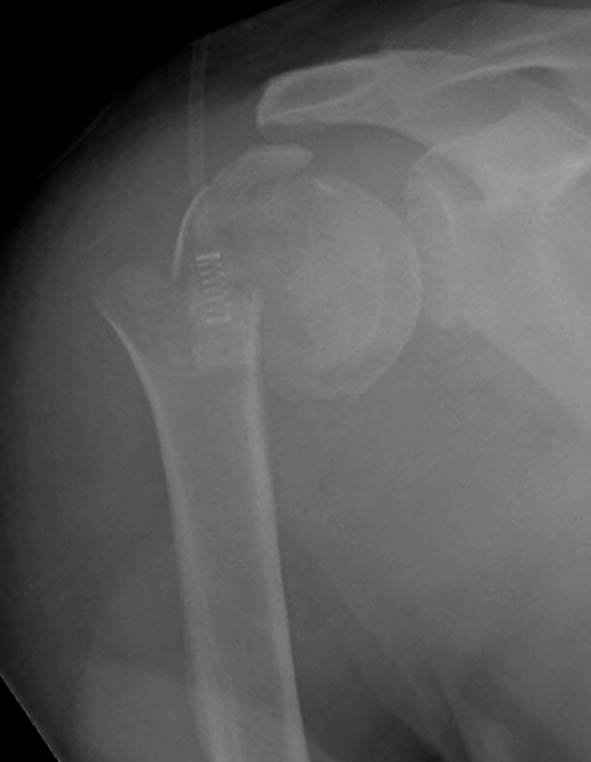
Отправитель: Sergey Melashenko 29 Ноябрь 2007, 08:09
|
> Будьте любезны представить рентгенснимки после репозиции.
> Odessky Jacob M.D.
Снимки на 1-е сутки после репозиции и на 8- сутки после репозиции.
Пожалуйста

С ув. Sergey A. Melashenko, г. Запорожье
|
[
Ответить ]
|
Re: Оскольчатый перелом шейки, головки плечевой ко
Отправитель: Evgueny Tchekashkine 30 Ноябрь 2007, 17:36
|
Сергей,
Одна проекция -хорошо, а две- лучше.
Никто не отменял функционального консервативного метода лечения. Дело не только в том, что перелом сросся, вопрос в каком положении.
При переломах хирургической шейки плеча ротаторная манжетка ротирует фрагмент головки внутрь, поэтому при неустраненном упомянутом смещении
перелом рано или поздно срастется, но отведение плеча будет страдать. Очень практичен и функционален метод А.Ф. Лазарева, о котором упомянул Джолдас, ранее обсуждался на форуме , попробуйте, больные будут довольны
результатом.
Е.И. Чекашкин
|
[
Ответить ]
|
|
Re: Оскольчатый перелом шейки, головки плечевой ко
Djoldas Kuldjanov 28 Ноябрь 2007, 23:49
|
С удовольствием выслушал ваши предложения но все равно сделал по-своему.
Под проводниковой анестезией произвел попытку закрытой репозиции на 10-е сутки, вроде бы неплохо получилось.
Сармиенто доказал, что не только проксимальные переломы плеча, но и переломы длинных костей можно с успехом лечить консервативно. Но, кроме сопоставления перелома, немаловажным фактором является удержание перелома до сращения.
Было бы интересно посмотреть на результат "успешной репозиции" дней через 10?
Фрагменты головки настолько малы, и думаю тоже
расколоты - куда совать металл?
"В зависимости от того, какой металл и имплант, современные импланты дают возможности удержания фрагментов головки".
Наличие рентген контроля (ЭОП) помогает во время
репозиции и фиксации, но многие коллеги умудряются без рентгена фиксировать несколькими спицами перкутанно.
Из-за тенденции миграции осторожно со спицами,
особенно у пожилых, слабые кости не выдерживают
нагрузку, были случаи миграции, обнаруженные при первом же амбулаторном приеме, поэтому методика Лазарева напряженными спицами более приемлема, особенно у тех, кто испытывает нехватку фиксирующих конструкций (на сайте
имеется описание техники).
Наш недавний случай перкутанной фиксации "методом
Сиэтла" спицами 2.8 мм с резьбой на конце.

Второй случай, для лечения перелома проксимального
плеча применили пластину "Hand Innovation"
http://www.handinnovations.com/pdf/S3_technique.pdf

Пластина имеет преимущества перед другими "Locking
Implants", потому что пластину можно уложить намного ниже чем другие пластины и имеется возможности проведения шурупов под 130 градусным углом, таким образом можно уменьшить операционный разрез в проксимальной части.
Прооперирован вчера на 13 день после поступления.
Больному 41 и из-за гемодинамической нестабильности в течение первых 7 дней был в реанимации под интубационной седацией.
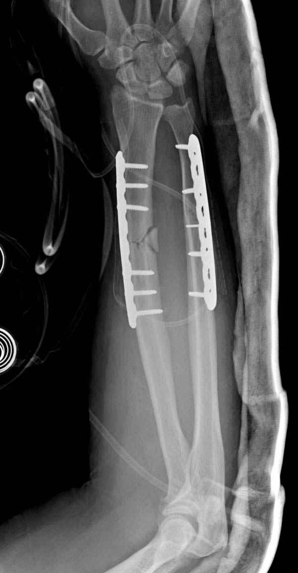
Кроме перелома плеча у больного старый дистракционный перелом T12-L1 оперированный когда-то и кем-то, открытый перелом костей предплечья, который был прооперирован в ночь поступления, после I&D (хирургической обработки). Из-за разрыва селезенки при поступлении травма хирургами произведено удаление.
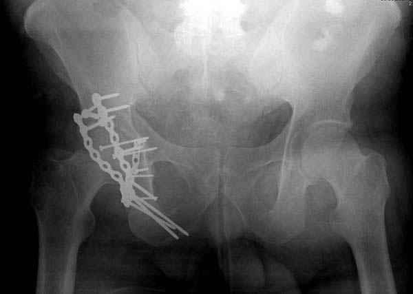
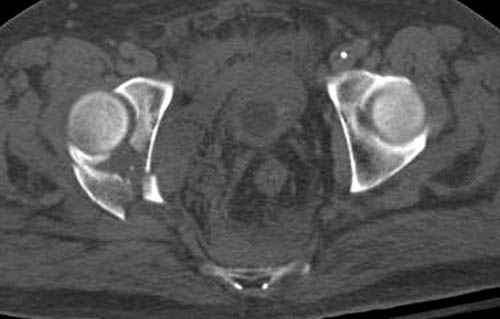
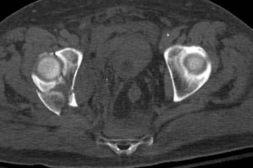
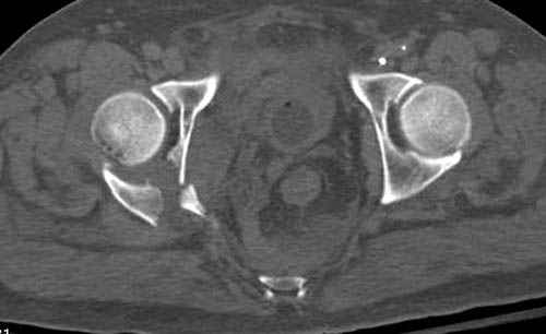
Дополнительно имеется перелом ацетабулума: задняя
колонна с полупоперечным переломом, и переломы костей лица.
На седьмой день зафиксирован перелом ацетабулума через задний доступ. Перед операцией для профилактики DVT, IVC фильтер, также получает Lovenox.
После операции на ацетабулум был экстубирован, сегодня опять же интубирован, из-за невменяемости и казуса, проявления "вампирства" - опустошил посуду с кровью от дренажа.
Извиняюсь за качества снимков, обычный больной в 300 фунтов, портативным ренген аппаратом не пробить.
Djoldas Kuldjanov, MD
Department of Orthopedic Surgery
St. Louis University Medical Center
|
[
Ответить ]
|
Re: Оскольчатый перелом шейки, головки плечевой ко
Отправитель: Анатолий Канзюба 29 Ноябрь 2007, 08:11
|
Очень хорошаая работа, поздравляю! Хотелось бы увидеть снимок таза до операции. Каким образом и как долго предполагаете разгружать тазобедреннй сустав в дальнейшшем?
|
[
Ответить ]
|
Re: Оскольчатый перелом шейки, головки плечевой ко
Отправитель: Evgueny Tchekashkine 30 Ноябрь 2007, 16:57
|
Джолдас,
По возможности вышлите снимки, сканы таза до реконструкции, интраоперационные.
По снимку создается впечатление о высоком поперечном переломе, задней колонны, стенки; почему не пользовались *magic screw*?
Положение больного на животе или на боку?
Кава фильтр при переломах таза - это протокол или только для пациентов с политравмой?
Фиксация таза до реконтструкции с момента поступления? Когда начали DVT профилактику: сразу при поступлении или накануне реконструкции?
Заранее благодарен,
Евгений Чекашкин
|
[
Ответить ]
|
Re: Оскольчатый перелом шейки, головки плечевой ко
Отправитель: Evgueny Tchekashkine 30 Ноябрь 2007, 17:39
|
Наш недавний случай перкутанной фиксации "методом
Сиэтла" спицами 2.8 мм с резьбой на конце.
Джолдас,
Как всегда - высший пилотаж!:-))
Головка плечав небольшом варусе или это проекционное?
С глубоким уважением,
Евгений Чекашкин
|
[
Ответить ]
|
Re: Оскольчатый перелом шейки, головки плечевой ко
Отправитель: Djoldas Kuldjanov 30 Ноябрь 2007, 23:21
|
На 20-е сутки снял гипс, одел фиксирующюю
ортопедическую повязку. Вот контроль. Как видно, стояние хорошее, уже формируется костный мозоль.
Думаю еще недели 3 продолжать фиксацию.
Сергей, отличный результат, поздравляю.
Консервативный метод лечения применяем, когда имеющиеся особые кондиции больного не позволяет идти в операционную, может быть из-за общего состояния, или от причин, связанных с нежеланием оперативного лечения.
Изолированные переломы также являются одним из
показаний к проведению консервативного лечения, когда нет необходимости опоры на конечность.
Консервативное лечение проводим более активно, без
гипса, на брейсе, восстановление движений в суставе начинаем с двух с половиной недель маятниковыми упражнениями конечности, затем переходим на круговые с увеличением амплитуды. По мере успеха небольшие абдукции на плече в три с половиной недели, под обязательным рентгенологическим контролем.
-Головка плеча в небольшом варусе или это
проекционное?
Да, там имеем небольшой варус, надеемся, что в будущем проблемы не будет.
Из-за большого обьема конечности доступ к бугорку был затруднен, предварительно зафиксированный шуруп не удержал бугорок, поэтому фиксацию провели толстыми нитками. Состоятельность фиксации бугорка обычно проверяем во время операции, под рентген контролем проводится движения конечности, особенно приведение.
По возможности вышлите снимки, сканы таза до
реконструкции, интраоперационные.
По снимку создается впечатление о высоком поперечном переломе, задней колонны, стенки; почему не пользовались *magic screw*?
Положение больного на животе или на боку?
Не хотелось отклонятся от основной темы, поэтому здесь краткие ответы..
Латеральное положение облегчает проведение тракции через вертел, за 5 мм стержень за вертел (грузом через тракционное приспособление), на обычном рентгенопрозрачном операционном столе, а для положения на животе, наверное, Judet Table более приемлем, потому что там имеется латеральное тракционное устроиство.
Там множество обычных 2.7 мм шурупов, потом идет фиксация основными пластинами.
Кава фильтр при переломах таза - это протокол или только для пациентов с политравмой?
Профилактику DVT и установку кава фильтер применям
почти у всех со множественными травмами, особенно тем, кто потенциально должны находится длительно без активного движения, тем более тем, кто страдает избытком веса.
В нашем протоколе в день операции делаем допплеровскую проверку сосудов, и в координации с сосудистыми хирургами установку фильтра до начала нашей операции, современные фильтры временные, можно удалить через несколько месяцев.
Полную нагрузку разрешаем в 12 недели, хотя движения в суставе с первых дней.
Снимки здесь....



Djoldas Kuldjanov, MD
Department of Orthopedic Surgery
St. Louis University Medical Center
|
[
Ответить ]
|
Re: Оскольчатый перелом шейки, головки плечевой ко
Отправитель: Sergey A. Melashenko 01 Декабрь 2007, 01:57
|
Понял. Начну аккуратно дозированное ЛФК. К концу лечения постараюсь показать функциональные снимки. Спасибо.
|
[
Ответить ]
|
|
( Ответить )
|
|