вверх
отправить
поиск
админ
главная
Предыдущее
|
Re: Локтевой отросток
Alexey Semenisty 15 Ноябрь 2007, 09:14
|
> Здравствуйте коллеги!
> Поступил больной с Диагнозом:Закрытый оскольчатый перелом локтевого
> отростка слева.
>
Это не перелом локтевого отростка! Безусловно сломан венечный отросток и, может оказаться, что и головка луча. Сложный перелом! Доступ задний, фиксация пластиной (LCP) и стягивающими винтами. Только не по Веберу! Положение больного на животе. ЭОП.
Зайдите сюда:
С уважением, А.Семенистый.
ГКБ № 13, Москва.
|
|
|
Ответить
|
Re: Локтевой отросток
Ласунский Сергей 15 Ноябрь 2007, 21:26
|
Мне кажется , что венечный отросток не сломан, есть смещение диафиза локтевой кости в ладонную сторону. вследствии оскольсатого перелома. Хорошо бы сделать КТ . Принципиально считаю что фиксация по Веберу 2 спицами и проволокой оптимальный ватиант. Сложно надеяться , что пластина LSP обеспечит такую же стабильность так ка в локтевом отростке по сути дела цела только околосуставная часть.
|
[
Ответить ]
|
Re: Локтевой отросток
Отправитель: Лединников Игорь 16 Ноябрь 2007, 00:00
|
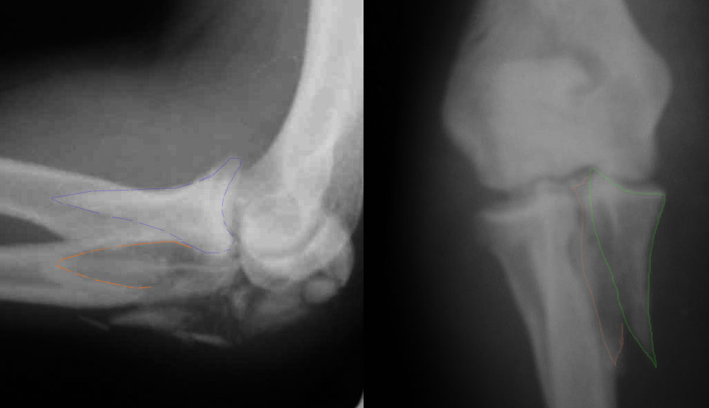
При самом большом к Вам уважении, Сергей Анатольевич, не соглашусь. У меня, после того, как добавили "прямой" снимок, сомнений не осталось. Венечный сломан наверняка. Но чтобы судить, насколько это критично для стабильности, нужно иметь строго боковую проекцию. И при этом помнить, что на него крепятся медиальные связки.

Прикрепляю снимок, где обведен фрагмент, несущий на себе венечный отросток (весь он смещён с этим фрагментом или частично - без качественной боковой проекции судить сложно), и отдельно на снимке обведено "ложе", от которого он сместился.
Почему я в данном случае против Вебера (хотя обычно горячий сторонник)? Да потому, что спицам нередко не хватает жёсткости, чтобы удержать предплечье от волярного подвывиха. При таком оскольчатом переломе спицы порой просто "прогибаются" за счёт одного только натяжения проволочной петли и головка луча может уйти в волярный подвывих (может, конечно, и не уйти). Но я бы предпочёл фиксировать всё к жёсткой пластине (включая фрагмент с венечным отростком) и, по возможности, исключить послеоперационную внешнюю иммобилизацию. Накладывать на такой локоть после операции гипс -- означает обрекать его на тяжёлую контрактуру.
Головка луча, кстати, на мой взгляд цела.
С искренним уважением
Лединников Игорь.
|
[
Ответить ]
|
Re: Локтевой отросток
Отправитель: Alexey Semenisty 16 Ноябрь 2007, 00:22
|
Мне кажется , что венечный отросток не сломан,
Сергей, перекреститесь! (см приложение)

. Принципиально считаю что фиксация по Веберу 2
спицами и проволокой оптимальный вариант.
Для отрывного перелома - да. Здесь механизм травмы совсем другой: прямая травма
так ка в локтевом отростке
по сути дела цела только околосуставная часть.
Как минимум два фрагмента, включающих суставную поверхность, и много (т.е. более двух) околосуставных осколков метафиза
С уважением, А.Семенистый.
ГКБ № 13, Москва.
|
[
Ответить ]
|
|
( Ответить )
|
|