AOTRAUMA.ORG Центр Илизарова  

Ортопедия и травматология Общие вопросы/General questions Help Информационные технологии в медицине
 вверх
 отправить
 поиск
 админ
 главная


пластика мыщелка б\б кости
Ортопедия и травматология Отправлено Leonid Pollyak 24 Ноябрь 2007, 22:37
Здравствуйте, Orthoforum.
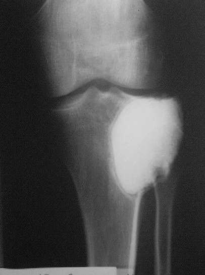
Около года назад больному 25 лет по поводу литической опухоли мыщелка б\б кости ( ОБК?)с выраженным болевым синдромом была произведенарасширенная открытая биопсия, экскохлеация опухоли.
В связи с неясностью диагноза до операции и отсутствия аллокости в тот момент интраоперационно было выполнено экспресс протезирование дефекта мыщелка акриловым цементом. Верхней стенкой дефекта была визуально неповрежденная суставная поверхность. Хрящевая пластина провисала - была выведена на уровень и "подперта" цементным спейсером. Больной осмотрен через год - ходит не хромая, сустав абсолютно спокойный, рентгенологически процедива опухоли нет. Хотелось бы услышать предложения по пластике дефекта - сроки, вид материала. Честно говорябоюсь трогать хрящ повторно.

С уважением,Полляк Л.Н. ОКБ . Челябинск

<  |  >

 

  • Сообщения о Ортопедия и травматология
  • Также Leonid Pollyak
  • Связаться с автором
  • Ответить

    Re: пластика мыщелка б\б кости
    Jacob Odessky 25 Ноябрь 2007, 00:44
    Уважаемый доктор Поляк!
    Вами представлен очень интересный случай.
    Предлагаю перевести презентацию на английский язык.
    И не забудьте представить патологическое заключение.
    С уважением.
    [ Ответить ]

    Re: пластика мыщелка б\б кости
    Timur 25 Ноябрь 2007, 23:11
    Что мешало использовать аутотрансплантат из крыла подвздошной кости?
    На мой взгляд такая "пломба" долго не продержится. Процесс регенерации костной ткани отграничился и остановился.
    [ Ответить ]

    • Re: пластика мыщелка б\б кости
      Отправитель: Timur 30 Ноябрь 2007, 19:30
      Что мешало использовать аутотрансплантат из крыла подвздошной кости?

      Простите, не заметил "ОБК ?" она самая и мешала.
      В принципе, операция сделана хорошо. В дальнейшем пациента ожидает эндопротезирование коленного сустава.
      ЗЫ: Почему больше никто не обратил внимание на эту тему, колеги? Случай весьма интересный.

      [ Ответить ]
    Re: пластика мыщелка б\б кости
    Alexander Chelnokov 26 Ноябрь 2007, 17:59
    LP> была выведена на уровень и "подперта" цементным спейсером. Больной
    LP> осмотрен через год - ходит не хромая, сустав абсолютно спокойный,
    LP> рентгенологически процедива опухоли нет.


    Остается только поздравить пациента и врачей с благоприятным результатом.

    LP> Хотелось бы услышать
    LP> предложения по пластике дефекта - сроки, вид материала/


    А что, это действительно на сегодня такой актуальный вопрос?
    По сути, выполнена операция эндпротезирования проксимального эпиметафиза tibia. Признаков нестабильности, других болезненных проявлений на сегодня нет. Зачем затевать ревизионную операцию? Что хочется улучшить в статусе пациента?

    Понятно, что хороший врач должен уметь убедить пациента даже на ампутацию здоровой ноги, но надо ли этим уменим пользоваться в данном случае?
    [ Ответить ]

    • Re: пластика мыщелка б\б кости
      Отправитель: Салимов Руслан 27 Ноябрь 2007, 00:49
      Случай очень интересный! Увидеть бы снимки до операции. Можно обсудить состояние хряща "на цементе"-за счет чего он жив или там все-таки дефект? Щель сустава хорошая. Есть ли возможность проведения МРТ у больного?

      [ Ответить ]
    Re: пластика мыщелка б\б кости
    Анатолий 27 Ноябрь 2007, 19:13
    Согласен с предыдущими мнениями. Данных за рецидив нет, функция приличная,пациент доволен. Зачем создавать лишние проблемы себе и больному?! Необходим только клинико-рентгенологический контроль в динамике. Кстати, метод замещения таких дефектов цементом используется часто за рубежом, результаты описаны в доступной англоязычной литературе, в частности - в Clin. Orth. и JBJS.

    [ Ответить ]

    Re: пластика мыщелка б\б кости
    Alexander Rykov 27 Ноябрь 2007, 20:00
    Я бы считал это первым этапом лечения опухоли кости.
    Рецидива не наступило, ущерб функции нивелирован временным (цементным)эндопротезом кости. Пациент молод. Я бы озаботился замещением огромного дефекта кости, возможно этапным, так как все равно этим придется заниматься рано или поздно. И лучше это делать по плану в комфортных условиях. Как вариант костная аутопластика с армированием метоллом времнно, либо комбинация костной аутопластики с методологией Илизарова, либо + кость на питающей ножке. Вариантов много.
    [ Ответить ]

    Re: пластика мыщелка б\б кости
    Khudoshin 28 Ноябрь 2007, 00:04
    Субхондральное эндопротезирование костным цементом при доброкачественных опухолях давно используется в институте им. Вредена. Редко бывают рецидивы (костный цемент, полимеризуясь, нагревается до 70 градусов). Сроки наблюдений благополучного исхода более 20лет.


    [ Ответить ]


    ( Ответить )

    Powered by Zope  Squishdot Powered MedLink
    Посетитель: 0169157
      "По форме правильно, а по существу - издевательство" В.И.Ленин
    ©2001-2019Orthoforum Coordinator.
    [ Главная | Отправить сообщение | Поиск | Админ ]