AOTRAUMA.ORG Центр Илизарова  

Ортопедия и травматология Общие вопросы/General questions Help Информационные технологии в медицине
 ВХОД ДЛЯ ПАЦИЕНТОВ
 вверх
 поиск
 админ
 главная


Остеомиелит
Ортопедия и травматология Прислано Никита Заднепровский 26 Ноябрь 2007, 00:10
из
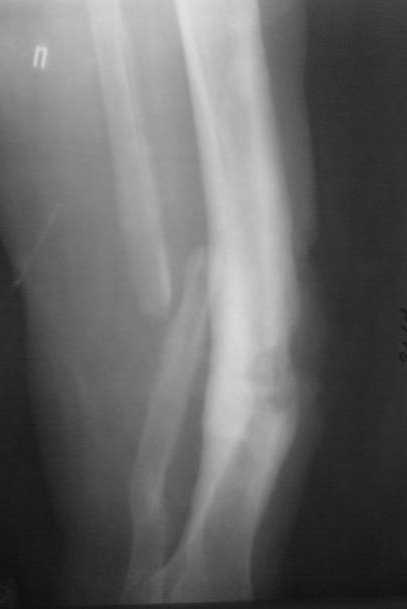
Сегодня принял больную, женщина 51 года. Травма автодорожная 13 лет назад. Тогда же - остеосинтез левого бедра стержнем (сращение);
ампутация левой голени на уровне с/3 (опротезирована); открытый перелом с/3 костей правой голени (лечение в аппарате Илизарова). Три года назад появился свищ на передней поверхности голени, лечилась нерегулярно и на сегодняшний момент вот такая картина. Перед госпитализацией, без назначения врача принимала тетрациклин в течение 10 дней.
Взяли посев, заказали дополнительные снимки, перевязка. Правый коленный сустав - движения с полной амплитудой. Частичная нагрузка на правую ногу при ходьбе. Пульсация на a. d. pedis сохранена, стопа теплая. Не температурит. Общее состояние удовлетворительное. Рана с обильным гнойным отделяемым со зловонным запахом на фоне гипергрануляций. Из свища определяю геморрагическое отделяемое.
Снимок месячной давности. Фистулография запланирована на след. неделю.
Что можно выполнить этой пациентке на уровне районной больницы?
Планируем: коррекция оси в аппарате, дебридмент, резекция б/берцовой кости с острой копрессией для закрытия полости с бусами из цемента с а/б. Есть гадкое предчувствие, что "вылезет" MRSA на посеве. Надеюсь на помощь в тактике лечения данной пациентки у опытных коллег.

Послать ответ

Имя
Email
Уведомление Сообщить мне по e-mail об ответах на это сообщение
Название
Комментарий
(Проверьте URL! Не забудьте написать http://!)
Кодировка
Если не знаете, что выбрать, выберите "Просто текст"!
Приложение
Можно приложить к сообщению файл c изображением, который затем будет доступен увидевшим сообщение.
Подготовка иллюстраций:
  • Рентгенограммы: черно-белые полутоновые изображения в формате JPEG (8 bit, greyscale) с разрешением от 300х200 до 1024х768 пикселов;
  • Клинические фотографии: полноцветные изображения в формате JPEG (24 bit, truecolor) с разрешением от 300х200 до 1024х768 пикселов;
  • Схемы и рисунки: черно-белые (2 bit) штриховые (line-art) изображения в формате GIF или compressed TIFF
  • Подберите степень сжатия файла JPEG и размер изображения таким образом, чтобы необходимые детали были различимы, но размер файла не превышал 75 кб.
  • Учтите, что текущая версия программного обеспечения Форума позволяет приложить к одному сообщению лишь один файл-вложение. Поэтому, если необходимо отправить несколько изображений, можно либо послать каждое как отдельное сообщение, либо в графическом редакторе объединить изображения в одно (сделать коллаж).
  • Если при подготовке изображений встречаются трудности, не стесняйтесь обратиться к координатору Форума.

  • Введите видимые символы в обратном порядке. Enter the above characters in reverse order (*Обязательно)
    В тексте сообщения можно использовать теги HTML <B> <I> <P> <A> <LI> <OL> <UL> <EM> <BR> <TT> <HR> <STRONG> <BLOCKQUOTE> <DIV .*> <DIV> <P .*>
  • Обратите внимание: Поля с жирными названиями обязательны.
  • Старайтесь отвечать в рамках обсуждаемой темы, а не начинать новые обсуждения.
  • Указывайте адекватную тему сообщения, чтобы было ясно, о чем оно.
  • Не послайте сообщений не по теме (оффтопик), раздраженных, грубых или обидных комментариев. Здесь это неуместно.
  • Powered by Zope  Squishdot Powered MedLink
    Посетитель: 0103561
      "По форме правильно, а по существу - издевательство" В.И.Ленин
    ©2001-2019Orthoforum Coordinator.
    [ Главная | Отправить сообщение | Поиск | Админ ]