ВХОД ДЛЯ ПАЦИЕНТОВ
вверх
поиск
админ
главная
|
Плечелопаточный периартроз? |
 |
 |
 |
Прислано Олег Бейдик 28 Ноябрь 2007, 23:25
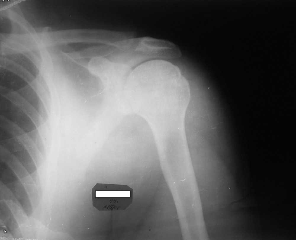
из
Мужчина, 45 лет. Профессионально занимается культуризмом. При жиме лёжа возникают резкие боли в левом ключично-акромиальном сочленении в течение 3 лет. В покое болей нет.
Похожая картина была и справа, однако удалось стабилизировать ситуацию с помощью консервативоного лечения.
Что, на Ваш взгляд, следует предпринять? Какие дополнительные исследования были бы полезны для определения тактики? Нет ли здесь показаний к декомпрессии подакромиального пространства? Если да, то что именно сделать?
Обратите внимание: Поля с жирными названиями обязательны.
Старайтесь отвечать в рамках обсуждаемой темы, а не начинать новые обсуждения.
Указывайте адекватную тему сообщения, чтобы было ясно, о чем оно.
Не послайте сообщений не по теме (оффтопик), раздраженных, грубых или обидных комментариев. Здесь это неуместно.
|