AOTRAUMA.ORG Центр Илизарова  

Ортопедия и травматология Общие вопросы/General questions Help Информационные технологии в медицине
 вверх
 отправить
 поиск
 админ
 главная


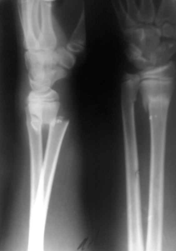
перелом луча
Ортопедия и травматология Отправлено Виктор 29 Ноябрь 2007, 18:45
Добрый день уважаемые коллеги
больной 13 лет.
травма полтора месяца тому.


11/10/2007

27/11/2007
Был сделан рентген, после чего закрытая репозиция под общим наркозом и наложена гипсовая повязка до средней 3 плеча.
назначен контроль на следующий день.
родители с мальчиком на контроли не являлись.
пришли теперь спустя полтора месяца. На контроле, сделанном сегодня - такая ситуация.
ртг сделано без гипса. визуальных деформаций не видно. Припухлости нету. Жалоб малейших нету.
Что вы скажете про данный случай. Рентгенологически мне это очень не нравится.

<  |  >

 

  • Сообщения о Ортопедия и травматология
  • Также Виктор
  • Связаться с автором
  • Ответить

    Re: перелом луча
    Alexander Artemiev 30 Ноябрь 2007, 00:50
    А что именно не нравится? Вроде бы вполне нормлаьно.
    Через полгода вообще не найдете место перелома.
    С уважением Александр Артемьев
    [ Ответить ]

    Re: перелом луча
    Odessky Jacob M.D. 30 Ноябрь 2007, 12:29
    Согласен с мнением Саши Артемьева. Стояние вполне приемлемое, Функциональных изменений при таком стоянии как правило не наблюдается
    С уважением!
    [ Ответить ]

    Re: перелом луча
    В. Машталов 30 Ноябрь 2007, 16:48
    Уважаемый коллега!
    Мне очень импонирует Ваша обеспокоенность как молодого доктора судьбой своих пациентов.

    В данном случае у больного все в порядке, те смещения, который Вас беспокоят, допустимы, тем более в 13 лет, перелом консолидируется, функциональный результат хороший.
    Успехов.
    [ Ответить ]

    Re: перелом луча
    Sergey A. Melashenko 30 Ноябрь 2007, 17:49
    Уважаемый коллега, главное - функция. Даже Илизаров не стремился к идеальньой репозиции. А у детей высокий потенциал ремоделирования,
    главное не допускать угловых деформаций. Смещение по ширине даже на половину ширины кости не страшно.

    Полтора года на форуме обсуждался случай консолидированного перелома предплечья у ребенка.
    http://weborto.net/forum/1155288219/.
    Так вот, видел девочку недавно - функция идеальная. жаль снимки не сохранил. Произошло хорошее ремоделирования костей предплечья.

    С ув. Sergey A. Melashenko, г. Запорожье
    [ Ответить ]

    Re: перелом луча
    A. Shakhin, M.D. 01 Декабрь 2007, 22:41
    Однозначно надо править - такой угол у большого ребенка оставлять нельзя! Тем более, что и время прошло не много, проблем с коррекцией оси возникнуть не должно. С уважением.


    [ Ответить ]

    • Re: перелом луча
      Отправитель: Виктор 02 Декабрь 2007, 09:09
      согласен но прошла уже полтора месяца.
      это не так уж и мало.
      и что делать

      [ Ответить ]
    Re: перелом луча
    Максимов Сергей 02 Декабрь 2007, 02:45
    Уважаемые коллеги, Виктор и A.Shakhin что вы предлагаете исправить? Разве у больного есть признаки нейро-дистрофических изменений? Выраженное нарушение функции кисти (постиммобилизационная контрактура не счет)? Выраженный отек или наоборот гипотрофия (атрофия) тенора и гипотенора? Если данных явлений нет, может лучше отпустить ребенка на 3-4 недели с рекомендациями по ЛФК с последующим контрольным осмотром. Если функция кисти, лучезапястного сустава восстановится полностью, тогда можно исправить... рентгенограмму с помощью "фотошопа" (шутка!).
    С уважением, Сергей.
    [ Ответить ]

    • Re: перелом луча
      Отправитель: Mark Eidelman 06 Декабрь 2007, 00:02
      Soglasen sVami na 1000%, tolko LFK toghe ne nado( i voobghe pust pozdravit rodiltelei sprekranym sracheniem).
      Dr Viktor i Dr Shakhin-please, budte bditelny, ne nado lechit normu!!!

      [ Ответить ]
      • Re: перелом луча
        Отправитель: Dr. Shakhin, M.D. 07 Декабрь 2007, 09:07
        Уважаемые коллеги! В нашей клинике мы такое смещение не оставили бы. Можно до хрипоты спорить об остаточных смещениях в детской травматологии, но если в наших силах помочь - это надо сделать. Ребенок уже старшей возрастной группы и надеяться на компенсаторные возможности не приходится. У ребенка не будет трофических или невральных нарушений - просто будет кривая рука, а с такой жить плохо. В нашей клинике в таком случае мы под АМН (Ft+O2) и под контролем ЭОПа выполняем закрытую ручную остеоклазию с коррекцией оси. Если она остеоклазия не удаётся - разрушает мозоль чрезкожно спицей Бека + коррекция оси + гипсовая лонгета. 10 мин работы и ребенок здоров.

        [ Ответить ]
    Re: перелом луча
    Victor 08 Декабрь 2007, 10:28
    Спаисибо просто некоторые наши врачи внесли пропозицию ламать и
    заново репонировать.

    Просто я понял причину этого уже.

    думаю все должно быть ок.


    З НАЙКРАЩИМИ ПОБАЖАННЯМИ,
    ВІКТОР
    [ Ответить ]

    Re: перелом луча
    Максимов Сергей 09 Декабрь 2007, 03:10
    Уважаемый Dr Shakhin, прошу Вас обратить внимание на фразу Виктора: "визуально деформации не видно", ни слова о нарушение функции кисти... Вы предлагаете "лечить рентгенограмму"? По поводу возможности остеоклазии (повторная травма!) в 13 лет через полтора месяца - большие сомнения. Значит - остеотомия, а это опять риск (напоминаю - у ребенка нормальная функция кисти, по крайне мере,нет другой информации). "10 минут и ребенок здоров!" - а он что, болел? Не слишком ли все просто: 1 час 30 минут и готов эндопротез тазобедренного сустава; 40 мину (90 минут) и готова новая ПКС; 20-40 минут и штифт в бедре и т.п. А дальше болезни нет? Странно, что при таком щепетильном подходе к рентгенологической картине в Вашей клинике так легко относятся к послеоперационному периоду. Не могу считать ребенка в гипсовой лангете здоровым человеком, а риск осложнений есть всегда! И это уже не шутки...
    С уважением, Сергей.
    [ Ответить ]

    • Re: перелом луча
      Отправитель: Dr. Shakhin, M.D., Ph.D. 11 Декабрь 2007, 08:37
      Уважаемый Сергей! Спасибо за Ваш ответ! Да, я считаю, что ребенок болеет, так как у него имеется срастающийся перелом длинной кости со смещением. Зона роста лучевой кости не закрыта и с течением роста ребенка деформация увеличится. Остеоклазия через 1,5 мес не представляет технических сложностей у ребенка 13 лет. Об остеотомии речь не идёт. Мы кладём на одну чашу весов кривую руку ребенка, на другую - 10 мин наркоза, ЭОП и гипсовую иммобилизацию. Мы не должны оставлять инвалидов, так меня учил М.В. Волков. Этим отличаются подходы разных клиник - некоторые оставляют угловые смещения, а некоторые - нет.

      [ Ответить ]

     

    ( Ответить )

    Powered by Zope  Squishdot Powered MedLink
    Посетитель: 0017194
      "По форме правильно, а по существу - издевательство" В.И.Ленин
    ©2001-2019Orthoforum Coordinator.
    [ Главная | Отправить сообщение | Поиск | Админ ]