вверх
отправить
поиск
админ
главная
|
Ложный сустав плюсневых костей |
 |
 |
 |
Отправлено Антон Андрианов 18 Декабрь 2007, 20:16
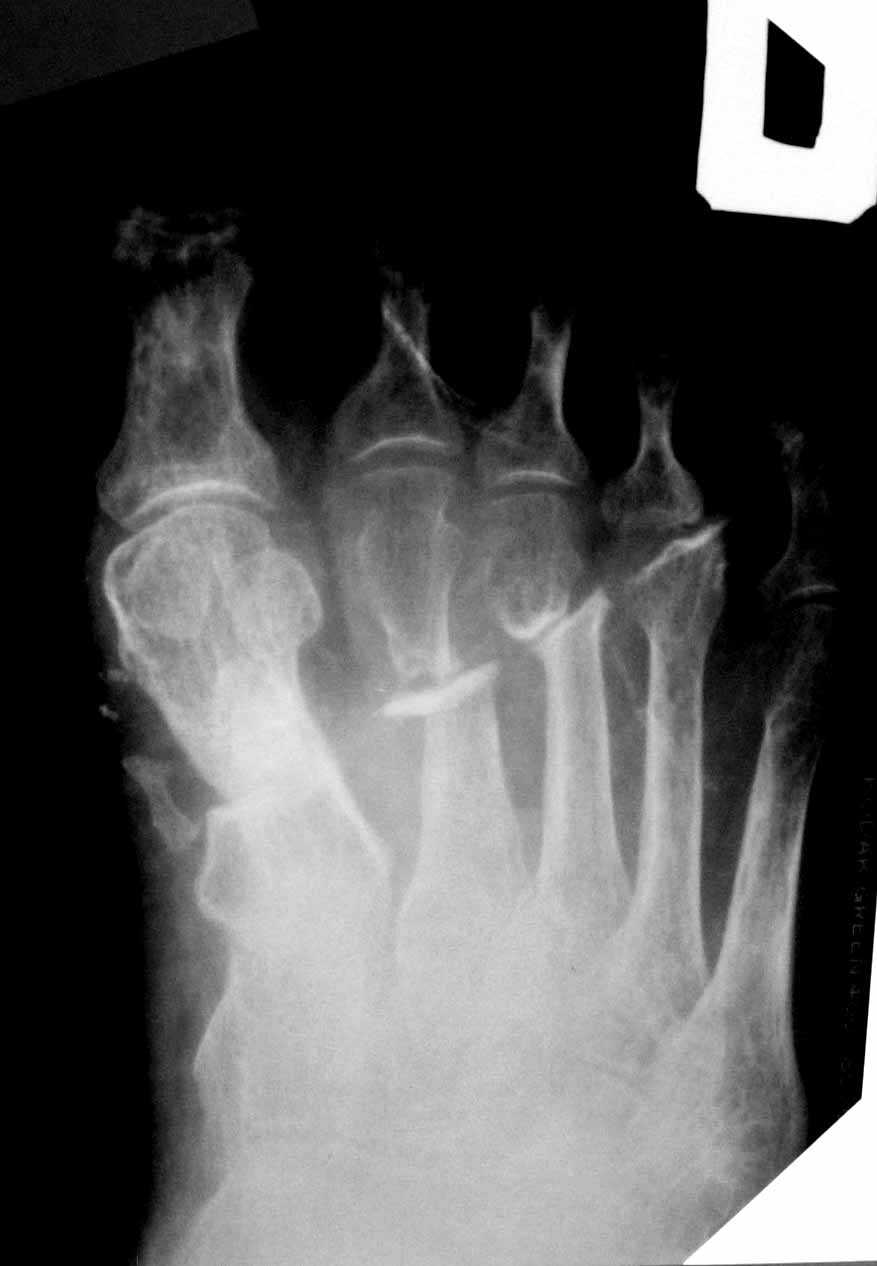
5 месяцев после тяжелой открытой травмы стопы Обратился иногородний пациент 56 лет с ложным суставом плюсневых костей после открытого перелома. Имеется латентная инфекция-свищ закрылся месяц назад, умеренная отечность, плотные рубцы на тыле стопы, подвижность в ложных суставах незначительная, опороспособность стопы страдает.Как лучше взяться за лечение? Есть мысли о дистракции в аппарате. Высок риск через рубцы открывать линию перелома. Кто сталкивался с подобным?
<
|
>
|
|
Ответить
|
Re: Ложный сустав плюсневых костей
Вадим Найданов 20 Декабрь 2007, 16:47
|
А что с сухожилиями? Какие движения в пальцах? Где находился свищ? Другие проекции R-исследования? Есть ли фото стопы? Пока только больше вопросов к Вам. Представленной информации крайне недостаточно. С уважением.
|
[
Ответить ]
|
Re: Ложный сустав плюсневых костей
Антон Андрианов 20 Декабрь 2007, 18:44
|
Снимок, выложенный на форуме, единственный. Пациент был лишь один раз на приеме. Плотные рубцы на тыле стопы, спаянные с сухожилиями разгибателей, свищ открывался в области головки 3 плюсневой кости.признаков нарушения кровообращения нет.Теоретически добраться с аккуратной препаровкой до ложных суставов 2-3 плюсневых костей можно, стабилизировать минипластинами с декортикацией, но всем известно плохое заживление в этой зоне.
|
[
Ответить ]
|
( Ответить )
|
|