ВХОД ДЛЯ ПАЦИЕНТОВ
вверх
поиск
админ
главная
исходное
|
Re: Помогите дифференцировать.
послал Djoldas Kuldjanov, M.D. 27 Декабрь 2007, 19:18
|

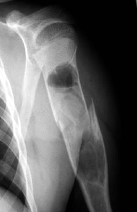
Дифференциальную диагностику надо проводить между однокамерной костной и аневризмальной кистой, но расположение в полости кисты тонкого,
линейного фрагмента кости, подтверждает диагноз однокамерной костной кисты.
"Упавший" фрагмент - патогномоническая подсказка к патологическому перелому, часть стенки падает в полость кисты и опускается вниз из-за
силы тяжести.
Подозрение о "шаровидной полости" в головке - это из-за укладки, и на представленном снимке подтверждение правильности рекомендации коллег.
McGlynn FJ, Mickelson MR, El-Khoury GY: The fallen fragment sign in unicameral bone cyst. Clin Orthop 1981 May;(156):157-9.
Killeen KL.: The fallen fragment sign Radiology 1998 Apr;207(1):261-2 ..
Struhl S, Edelson C, Pritzker H, Seimon LP, Dorfman HD: Solitary (unicameral) bone cyst. The fallen fragment sign revisited. Skeletal Radiol
1989;18(4):261-5.
В последнее время на страницах сайта появились тенденция к "упражнениям" в консервативных методах лечения переломов различной локализации.
Отличное решение при отсутствии возможности современной технологии и невозможности оперативного вмешательства из-за общего состояния.
При консервативном лечении при изолированных переломах для фиксации
плеча можно ограничиться обычной небольшой абдукционной подмыщечной
подушечкой, которая создает адекватную фиксацию и предупреждает
мягкотканые осложнения из-за ранних движений. Все полуфиксирующие
гипсовые повязки и торакобрахиальная гипсовая повязка для фиксации
проксимального плеча неудобны для больного и затягивают процесс
восстановления.
Сегодня, когда современные возможности намного опережают возможности
прошлого века, оперативное лечение являются более приемлемым даже у
пожилых больных. Хотя по снимкам трудно предположить (отличное качество
кости), что больному 69, и поэтому для быстрейшего восстановления
рекомендуется оперативное лечение.
Довольно длинный проксимальный конец позволит интрамедуллярную фиксацию
через малый разрез бескровно.
Из пластин, после очистки полости и аутографта,
Locking Proximal Humerus Plate от Hand Innovation
http://www.handinnovations.com/product.php?pg=prod&prodid=3
с возможностью установки пластины немного ниже, чем другие.
Djoldas Kuldjanov, MD
Department of Orthopedic Surgery
St. Louis University Medical Center
|
| Послать ответ |
Обратите внимание: Поля с жирными названиями обязательны.
Старайтесь отвечать в рамках обсуждаемой темы, а не начинать новые обсуждения.
Указывайте адекватную тему сообщения, чтобы было ясно, о чем оно.
Не послайте сообщений не по теме (оффтопик), раздраженных, грубых или обидных комментариев. Здесь это неуместно.
|