ВХОД ДЛЯ ПАЦИЕНТОВ
вверх
поиск
админ
главная
|
повреждение лучевого нерва?? |
 |
 |
 |
Прислано Юрий Сиваков 26 Декабрь 2007, 21:55
из
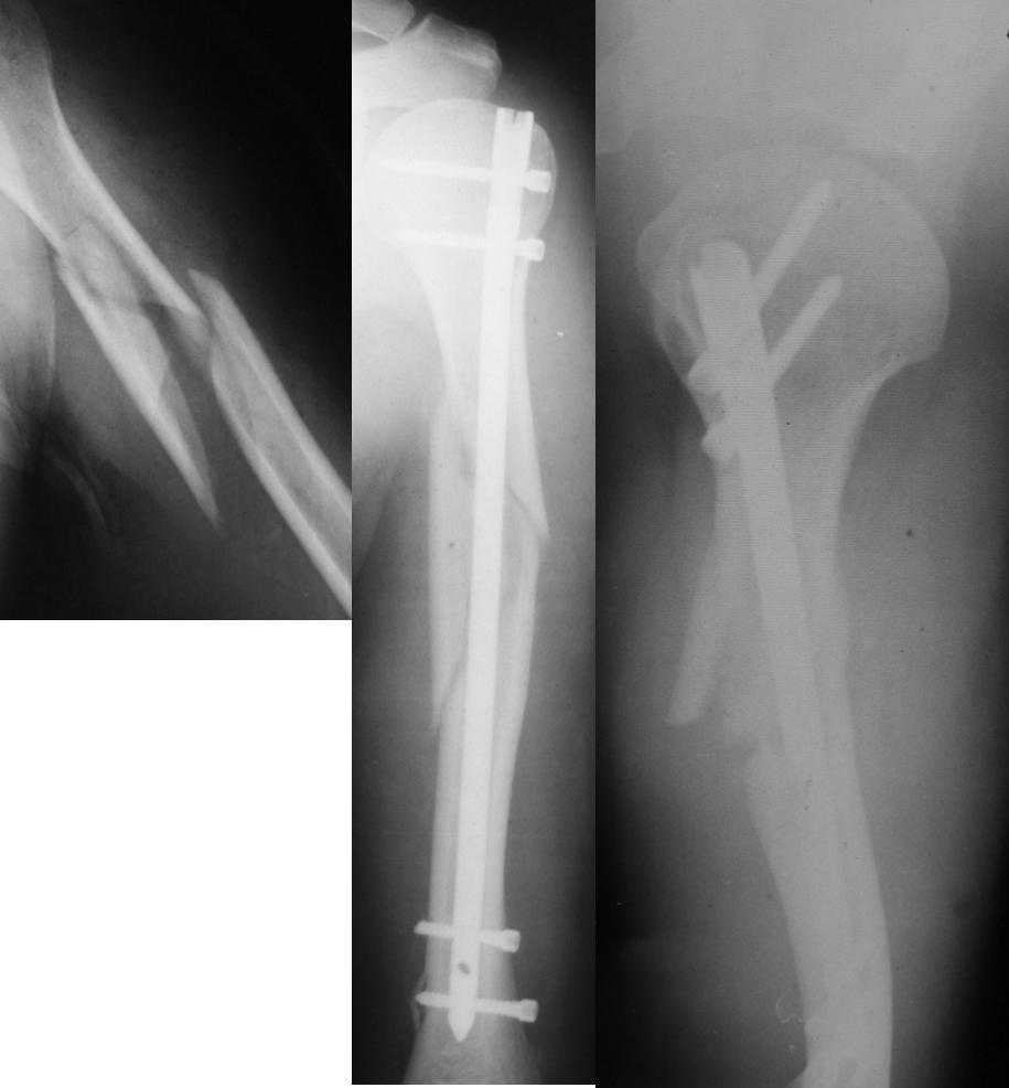
Уважаемые коллеги! Необходима консультация.Больной 52 лет.Травма 02.10.2007г.Операция-19.10.2007г.
Сразу после операции-нарушения кожной чувствительности по наружной поверхности н\3 предплечья,кисти,1 и 2 пальцев кисти,ограничение активных движений в лучезапястном суставе при сжатом кулаке.При электромиографии-лучевой нерв 4% от нормы. Через два месяца после операции беспокоят боли в месте перелома в покое и при движениях в плечевом суставе. Отсутствие положительной динамики в восстановлении кожной чувствительности и объеме движений в л-з суставе.
Дальнейшая тактика-ждать?, оперировать? Спасибо.
Обратите внимание: Поля с жирными названиями обязательны.
Старайтесь отвечать в рамках обсуждаемой темы, а не начинать новые обсуждения.
Указывайте адекватную тему сообщения, чтобы было ясно, о чем оно.
Не послайте сообщений не по теме (оффтопик), раздраженных, грубых или обидных комментариев. Здесь это неуместно.
|