ВХОД ДЛЯ ПАЦИЕНТОВ
вверх
поиск
админ
главная
исходное
|
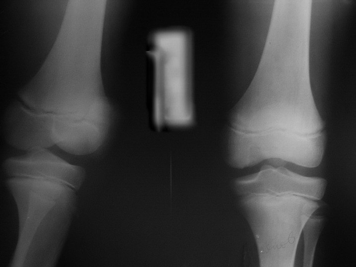
Re: Повреждение передней крестообразной связки
послал Александр Жужнев 04 Январь 2008, 18:53
|
Снимок коленного сустава в приложении.
Приношу извинение за качество.

P.S В описании больного ошибка в возрасте,пациенту 11 лет.
|
| Послать ответ |
Обратите внимание: Поля с жирными названиями обязательны.
Старайтесь отвечать в рамках обсуждаемой темы, а не начинать новые обсуждения.
Указывайте адекватную тему сообщения, чтобы было ясно, о чем оно.
Не послайте сообщений не по теме (оффтопик), раздраженных, грубых или обидных комментариев. Здесь это неуместно.
|