ВХОД ДЛЯ ПАЦИЕНТОВ
вверх
поиск
админ
главная
исходное
|
Re: Множественные переломы бедра
послал Djoldas Kuldjanov 14 Январь 2008, 22:06
|
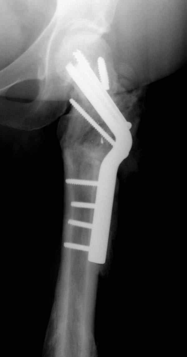
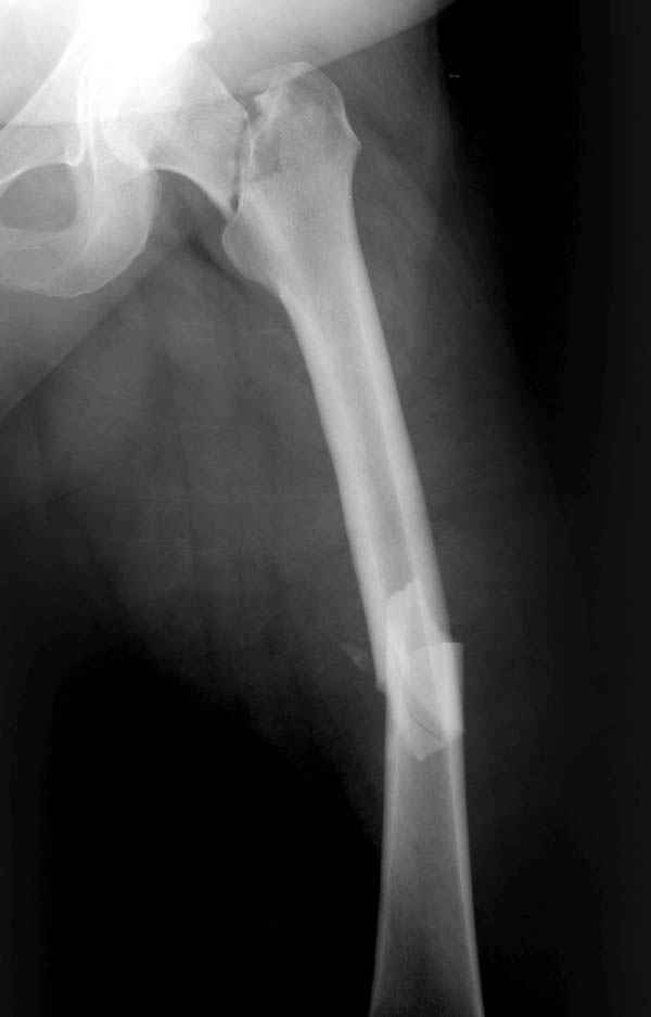
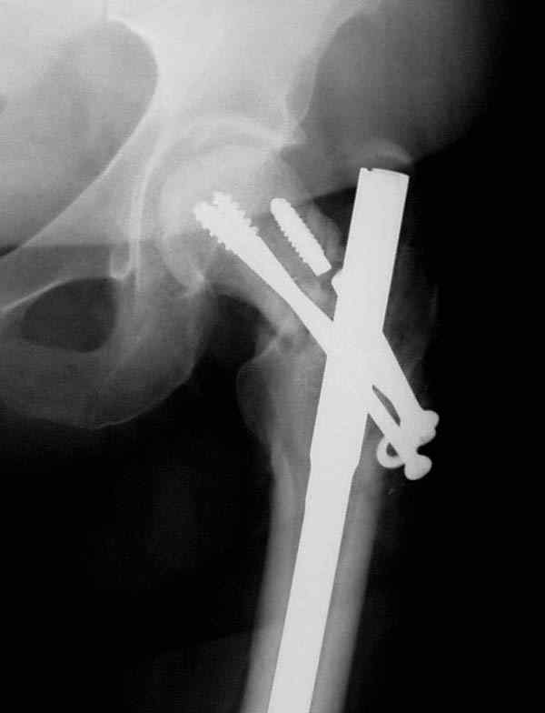
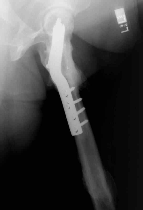
Несмотря на пессимистические прогнозы, у молодых
коррегирующая вальгусная остеотомия является более
приемлемым.

Представленные случаи доказательства тому, что еще
имеется резервы на восстановление даже у 5-6 месячных ложных суставов шейки.
Djoldas Kuldjanov, MD
Department of Orthopedic Surgery
St. Louis University Medical Center
|
| Послать ответ |
Обратите внимание: Поля с жирными названиями обязательны.
Старайтесь отвечать в рамках обсуждаемой темы, а не начинать новые обсуждения.
Указывайте адекватную тему сообщения, чтобы было ясно, о чем оно.
Не послайте сообщений не по теме (оффтопик), раздраженных, грубых или обидных комментариев. Здесь это неуместно.
|