ВХОД ДЛЯ ПАЦИЕНТОВ
вверх
поиск
админ
главная
|
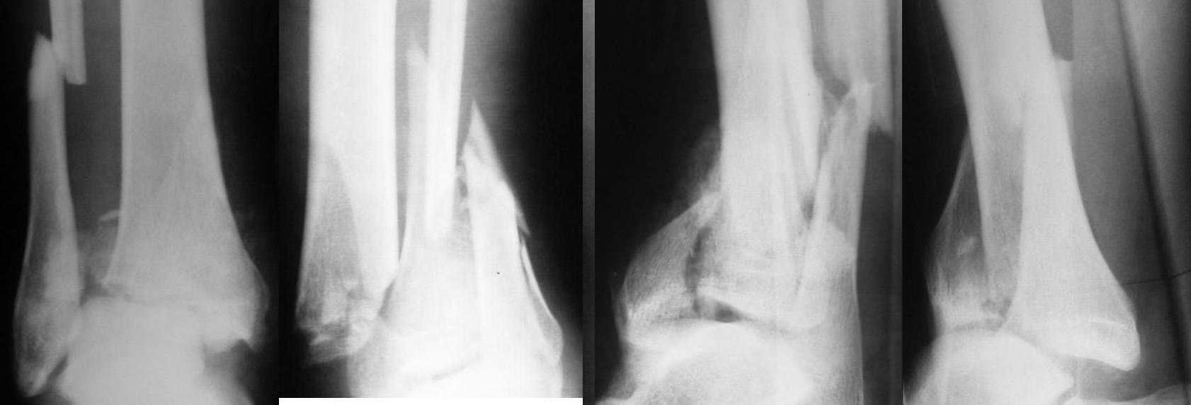
Падение с высоты,сложные переломы... |
 |
 |
 |
Прислано Юрий Сиваков 14 Январь 2008, 22:26
из
Уважаемые коллеги, прошу вашей консультации по тактике ведения.
Больной 38 лет, поступил в отделение 13.01.2008г. Падение с высоты. Сложные переломы костей обеих голеней. Переломы - закрытые. Наложены гипсовые лонгеты. Какова дальнейшая тактика? Вид оперативного вмешательства?
Обратите внимание: Поля с жирными названиями обязательны.
Старайтесь отвечать в рамках обсуждаемой темы, а не начинать новые обсуждения.
Указывайте адекватную тему сообщения, чтобы было ясно, о чем оно.
Не послайте сообщений не по теме (оффтопик), раздраженных, грубых или обидных комментариев. Здесь это неуместно.
|