ВХОД ДЛЯ ПАЦИЕНТОВ
вверх
поиск
админ
главная
исходное
|
Re: Политравма у 16 летней девушки
послал Djoldas Kuldjanov 16 Январь 2008, 00:28
|
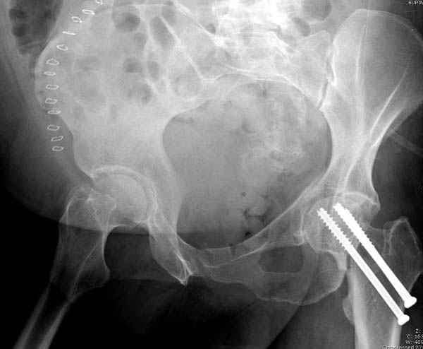
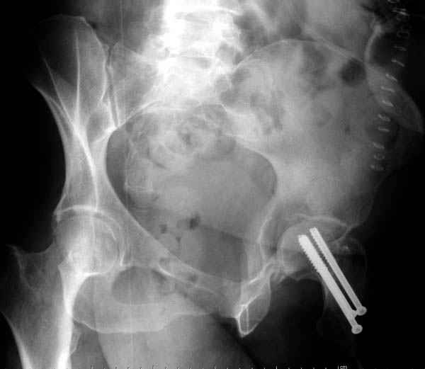
Долгое ожидание повышает риск АВН головки,
рекомендуется ургентная фиксация шейки в первые сутки, а в дальнейшем таз.
В данный момент скелетное вытяжение поучается через перелом шейки, а фиксированный перелом шейки будет участвовать в процессе вытяжения через каннюлированные шурупы.

Мы сейчас наблюдаем больную с похожим состоянием, больной 54, после автоаварии, со множественными
переломами скелета.
Состояние осложнена черепномозговой и абдоминальной травмой, переломы L2-5, челюстно-лицевые переломы и состояние после транспланта почки.
Удаление селезенки при поступлении, была нестабильная, в данное время приходит в сознании, находилась в реанимации, перевели в общую палату.
Перелом шейки смогли зафиксировать через пару дней, ацетабулум до сих пор не оперирован, на вытяжении.
Из-за упущенного времени (три недели с момента
поступления) ацетабулум ведем консервативно.
На снимке ацетабулума редко встречающийся очень низкий перелом, наверное, трудно было репозицию через один доступ? Перелом как бы замкнулся в квадрилатеральной поврехности.
Djoldas Kuldjanov, MD
Department of Orthopedic Surgery
St. Louis University Medical Center
|
| Послать ответ |
Обратите внимание: Поля с жирными названиями обязательны.
Старайтесь отвечать в рамках обсуждаемой темы, а не начинать новые обсуждения.
Указывайте адекватную тему сообщения, чтобы было ясно, о чем оно.
Не послайте сообщений не по теме (оффтопик), раздраженных, грубых или обидных комментариев. Здесь это неуместно.
|