ВХОД ДЛЯ ПАЦИЕНТОВ
вверх
поиск
админ
главная
исходное
|
Re: Политравма у 16 летней девушки
послал Рунков А.В. 16 Январь 2008, 16:28
|
Уважаемый Коваленко А.Н., с началом Вас нелегкой трудовой деятельности (как и всех коллег)
По поводу представленного случая:
Т.к. прошло уже более недели, я полагаю больная должна быть уже готова к обширному вмешательству?
В любом случае его лучше не откладывать и сделать все в одну сессию.
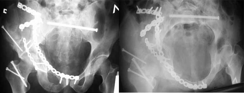
В положении на спине подвздошным и надлобковым доступом восстанавливается тазовое кольцо, фиксация пластинами. При хорошей репозиции может улучшиться конгруэнтность в суставе.
Затем, если положение хорошее, закрытый остеосинтез шейки винтами.
Если нет - в положении на боку, синтез задней колонны из наружно-латерального доступа и синтез головки винтами, но уже под визуальным контролем.
Применение аппарата нецелесообразно, т.к. репозиция такого повреждения в аппарате крайне сложна и скорее приведет к удержанию имеющегося неправильного положения, а это надо?

На картинке подобный случай, только без шейки, сделано через месяц или полтора после травмы.
С уважением РАВ
|
| Послать ответ |
Обратите внимание: Поля с жирными названиями обязательны.
Старайтесь отвечать в рамках обсуждаемой темы, а не начинать новые обсуждения.
Указывайте адекватную тему сообщения, чтобы было ясно, о чем оно.
Не послайте сообщений не по теме (оффтопик), раздраженных, грубых или обидных комментариев. Здесь это неуместно.
|