ВХОД ДЛЯ ПАЦИЕНТОВ
вверх
поиск
админ
главная
исходное
|
Re: Comminuted fracture proximal humerus
послал Alexander Chelnokov 21 Январь 2008, 22:17
|
Dear Neeraj,
DNB> My questions to the house is ...
DNB> 1. Is there any other option besides the locking plate ?? (Less invasive)

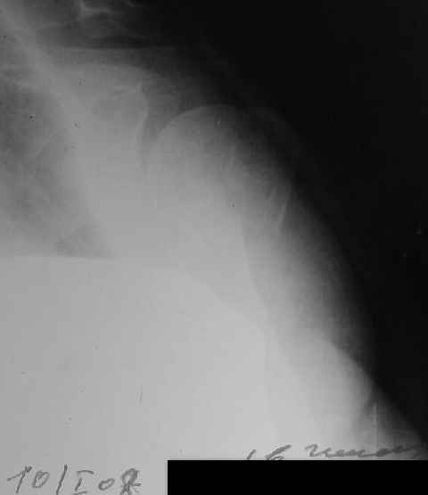
CT scans would be useful to evaluate the head.
Another option could be closed nailing, see an example, the surgery was done 2 days ago. In common such surgeries are performed under regional anesthesia, not general.
One more option can be fixation by V-shape stressed wires.
DNB> 2. If he is not medically fit for surgery, then can we leave him
DNB> alone if yes what are the chances of going it into non union?
Fragments now look severely displaced.
|
| Послать ответ |
Обратите внимание: Поля с жирными названиями обязательны.
Старайтесь отвечать в рамках обсуждаемой темы, а не начинать новые обсуждения.
Указывайте адекватную тему сообщения, чтобы было ясно, о чем оно.
Не послайте сообщений не по теме (оффтопик), раздраженных, грубых или обидных комментариев. Здесь это неуместно.
|