вверх
отправить
поиск
админ
главная
Предыдущее
Весь тред
|
Re: Остеосинтез при импрессионном переломе заднего
Djoldas Kuldjanov 26 Январь 2008, 00:21
|
>Вы контролируете положение малоберцового
> нерва?
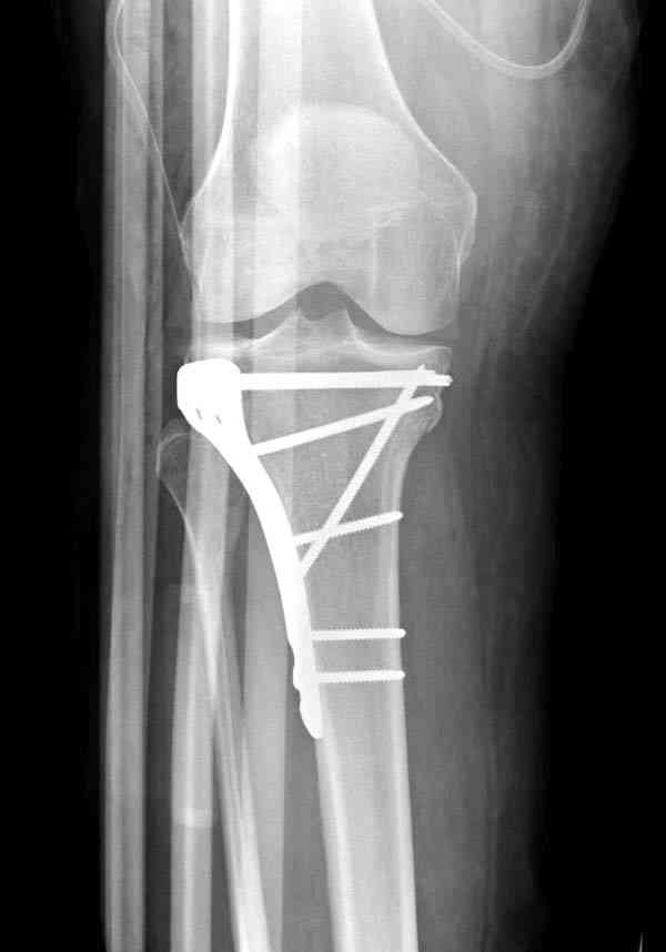
Нет, малоберцовый внизу, фиксацию проводим на верхнем эпифизе, где твердая кость. Задача состоит
в том, чтобы создать арматуру из нескольких проведенных шурупов на эпифизе.
>И если можно поподробнее про репозицию из
> медиального окна.
Медиально, обычно на протовоположной
строне, делается окно в кортикальном слое, кривым забойником под рентгеном поднимается импрессия.
Лет 10 назад пытались комбинировать внутрисуставной контроль артроскопом,
но из-за увеличения операционного
времени и сложности манипуляции многие отказались от такой техники.
После заполнения образовавшейся полости в метафизе
кортикальное окно можно прикрыть.

Это техника применяется, когда имеется
центральная импрессия, а при ипрессии с краевым переломом - после приподнимания импрессии опорная (Butress) пластина, как на снимке.
|
|
|