вверх
отправить
поиск
админ
главная
|
патологический незавершенный перелом верхней трети голени |
 |
 |
 |
Отправлено Виталий 22 Январь 2008, 19:28 ГКБ№3 Краснодар
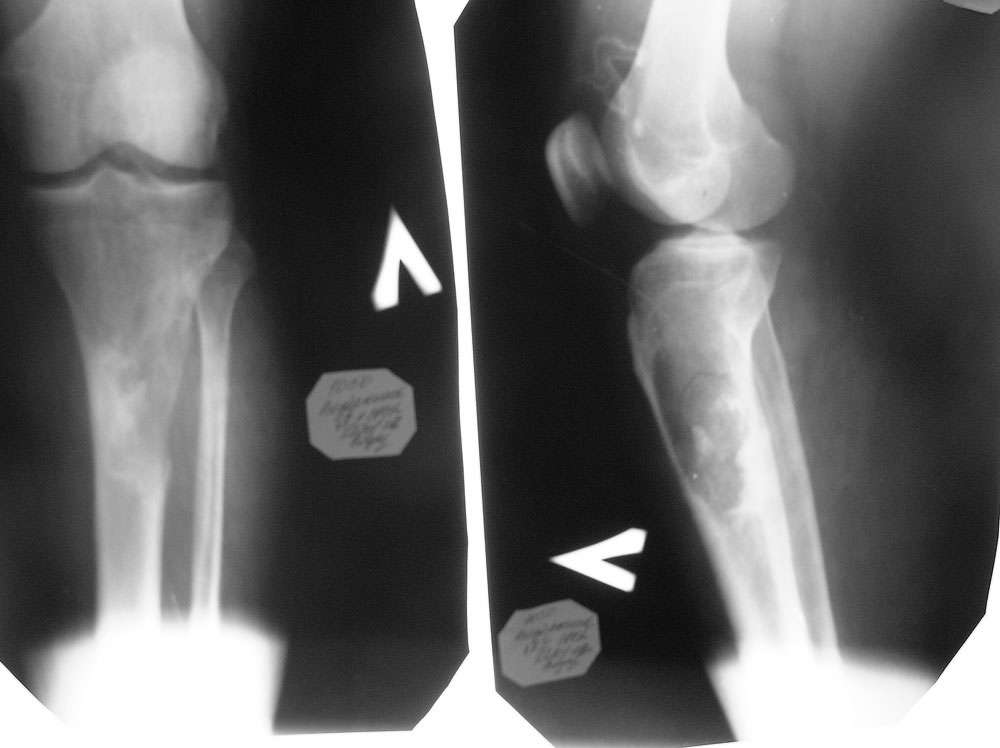
Пациент 31 года мужского пола, с патологическим незавершенным перелом верхней трети голени с очагом деструкции бльшого размера поступил к нам в клинику сегодня. Помогите определиться с тактикой лечения. Сроки биопсии, делать ли резекцию опухоли одновременно с биопсией и как замещать дефект. Поделитесь размышлениями, пожалуйста.
<
|
>
|
|
Ответить
|
патологический незавершенный перелом верхней трети голени
Alexander Chelnokov 22 Январь 2008, 22:04
|
Даже если это гигантоклеточная опухоль, то судя по прорыву очччень не исключена малигнизация. Так что обследуйте на вторичные очаги, делайте биопсию из несколких точек. А замещать дефект, возможно, придется на протезном предприятии.
|
[
Ответить ]
|
Re: патологический незавершенный перелом верхней т
FRSM 22 Январь 2008, 22:12
|
В моей больнице на данном етапе перед биопсией провели бы скелетную сцинтиграфию для ответа на вопрос является ли данный очаг единичным.
Вообше-то патология напоминает гигантоклеточную опухоль Giant-cell Tumor(?).
|
[
Ответить ]
|
Re: патологический незавершенный перелом верхней т
TDK 22 Январь 2008, 22:16
|
Опишите локальную клинику. Качество снимков не очень, но, судя по всему, речь идёт об остеобластокластоме. Сцинтиграфия обязательна. В таких случаях (ОБК) мы выполняем краевую резекцию,с предварительной обязательной экспресс-биопсией на столе и заполняем дефект костным цементом, либо костным гомотрансплантатом. Дальнейшая тактика основывается на отсутствии / наличии рецидива и достигнутом функциональном результате. Дело в том, что ОБК уверенно диагностируется клинически и рентгенологически, и необходимость в изолированном проведении биопсии бывает крайне редко. В данном случае ситуацию осложняет наличие перелома, ждём качественных снимков.
__________________
С уважением, TDK
|
[
Ответить ]
|
Re: патологический незавершенный перелом верхней т
Отправитель: Виталий 22 Январь 2008, 23:32
|
Проведена рентгенография на Philips стационарном, но качество не особо лучше- есть снимок прицельный и на длиных кассетах. Ничего нового на нем не видно.
Локально- нет мягкотканных образований, на передней поверхности голени определяется отек, со слов пациента появившийся в момент травмы- подвернул ногу слегка-, патологической подвижности сегмента нет.
Мы тоже подозреваем ОБК. Пока планируется проведение биопсии - первичный результат через 10 дней, фиксация гипсовой лонгетой а затем по получению результата- тактика операции, вот только такого большого дефекта тем более проксимального отдела я никогда не замещал. Непонятно чем можно его закрыть и чем фиксировать конечность( пластина, гипс, аппарат)???
|
[
Ответить ]
|
|
Re: патологический незавершенный перелом верхней трети голени
Андрей Верховский 23 Январь 2008, 10:02
|
Заранее извиняюсь за возможно дилетантское суждение. Если tibia стабильна, может передним доступом взять биопсийный материал, пока придет результат - подержать в шине или лонгете. Затем если это действительно ОБК вторым этапом удалить опухоль и закрыть дефект (цементом, костью) или еще видел в илизаровском журнале закрытие путем сращения fibula и tibia в аппарате после остеотомии fibula.
|
[
Ответить ]
|
Re: патологический незавершенный перелом
Андрей Верховский 23 Январь 2008, 10:02
|
Заранее извиняюсь за возможно дилетантское суждение. Если tibia стабильна, может передним доступом взять биопсийный материал, пока придет результат - подержать в шине или лонгете. Затем если это действительно ОБК вторым этапом удалить опухоль и закрыть дефект (цементом, костью) или еще видел в илизаровском журнале закрытие путем сращения fibula и tibia в аппарате после остеотомии fibula.
|
[
Ответить ]
|
Re: патологический незавершенный перелом верхней трети голени
Гофман Алекс 24 Январь 2008, 02:09
|
Уважаемые коллеги
Судя по снимкам ,идет речь о остеолитическом повреждении кости состровами склерозной костной ткани ,Образование эксцентрично метафизо диафизарно сразрушением кортекса без четких границ,без выраженной периостальной реакции ,Ясно видно вовлечение прилежащих мягких тканей в процесс.
Для постановки диагноза важно оценить стадию распространения процесса - необходимо провести вдополнение кснимкам поврежденной кости- 1-скенирование костей скелета для определения костных метастазов,2- снимок легких а лучше компьютерную томографию легких - для определения метастазов влегких,3- КТ поврежденной кости - для определения степени резрушения кости,4- магнитно ядерное обследование поврежденного участка тела(колена и голени) для определения вовлечения впроцесс костного мозга на протяжении тибии и широты вовлечения мягких тканей вокруг.
Только после этого можно произвести одну биопсию в наиболее оптимальном месте что бы не произвести рессеяния по здоровым тканям пораженных клеток.
В возрасте 31 года,учитывая агрессивность процесса (судя по снимкам и клинике) наиболее вероятен дифференциальный диагноз между-
1 остеогенная саркома.2 фибросаркома 3 юинг саркома 4 остеомиелит
По поводу лечения ,если говорить о саркоме ,потребуется комплексное лечение взависимости от стадии процесса сочетающее хемотерапию до и после операции ,широкую резекцию тибии сендопротезированием .м.б. облучение
Необходимо лечение в онкологическом ортопедическом центре
Могу порекомендовать обратиться в Национальный Центр Онкологичаской Ортопедии . Израиль Тель Авив больница * Ихилов* (попросить доктора Ниркина который говорит по русски)
The National Unit of Orthopedic Oncology, Tel-Aviv Medical Center, affiliated to Sackler School of Medicine, Tel-Aviv University. 6 Weizmann Street,
Tel-Aviv 64239.
Tel: 97236974688,
С уважением Др.Гофман Алекс
|
[
Ответить ]
|
Re: патологический незавершенный перелом верхней трети голени
Отправитель: Катенёв Валентин Львович врач-рентгенолог 06 Февраль 2008, 21:07
|
На рентгенограммах в области проксимального мета-диафиза б/берцовой кости больше латерально определяется значительных размеров остеолитическая деструкция с нарушением кортикального слоя и выходом "мягкотканного компонента" патологического образования за пределы кости. Медиальнее участка деструкции зона остеосклероза.
|
[
Ответить ]
|
|
( Ответить )
|
|