AOTRAUMA.ORG Центр Илизарова  

Ортопедия и травматология Общие вопросы/General questions Help Информационные технологии в медицине
 вверх
 отправить
 поиск
 админ
 главная


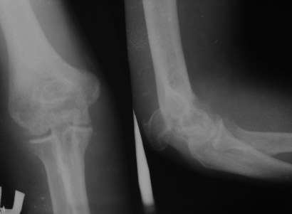
Perelom loktegovo otrоstka
Ортопедия и травматология Отправлено Атамурадов Латиф 23 Январь 2008, 22:32 Бухарская областная болъница
Bolnoy 4 mesyatsa nazad paluchil travmu
Za medetsinskoy pomotschyu ne obratilsya. Cherez 4 mesyatsa gospitalizirovan dlya operatsiyi. Moy plan nalojit apparat Ilizarova s pastepennoy kompressiyey v oblasti pereloma.

<  |  >

 

  • Сообщения о Ортопедия и травматология
  • Также Атамурадов Латиф
  • Связаться с автором
  • Ответить

    Re: Perelom loktegovo otrоstka
    Игорь Кучерявый 24 Январь 2008, 10:59
    А какой объем движений на данный момент в локтевом суставе? Какой возраст и требования пациента?

    С уважением,
    Кучерявый Игорь,
    г. Сергиев Посад.
    [ Ответить ]

    Re: Perelom loktegovo otrоstka
    Djoldas Kuldjanov, M.D. 24 Январь 2008, 18:52
    Теоретически аппарат можно установить везде.
    Курганские специалисты показывают метод наложения аппарата даже на череп, видел снимок, сделанный снаружи, по непроверенным данным, помогает от эпилепсии. Наверное, все-таки аппарат применен для покрытия посттравматических дефектов кости черепа и при отсутствии современных методов пластики, хоть какое-то решение?

    Метод Илизарова бесспорно имеют свои преимушества, но для лечения перелома локтевого отростка не слишком ли агрессивный метод?
    Потом, какой шанс, что без вторичного инфицирования сопоставленный отросток срастется?

    При отсутствии локтевых пластин можно без особых трудостей можно удержать отломок двумя спицами и проволокой, здесь ссылка:
    http://www.hwbf.org/ota/bfc/schme/exp.htm как лечит локтевой отросток, и вторая, принципы: http://www.hwbf.org/ota/bfc/goulet/exp.htm

    Ретрагированную трехглавую мыщцу без проблем можно опустить, только после фиксации на пару недель надо держать в небольшом разгибании.

    [ Ответить ]

    Re: Perelom loktegovo otrоstka
    Романов С.В. 29 Январь 2008, 22:09
    Добрый вечер. мне кажется что аппарат Илизарова несколько агрессивно в данном случае... Кстати не знаю как у Вас а в Москве появились пластины на локтевой отросток.
    [ Ответить ]


    ( Ответить )

    Powered by Zope  Squishdot Powered MedLink
    Посетитель: 0000205
      "По форме правильно, а по существу - издевательство" В.И.Ленин
    ©2001-2019Orthoforum Coordinator.
    [ Главная | Отправить сообщение | Поиск | Админ ]