вверх
отправить
поиск
админ
главная
|
Застарелый вывих предплечья с несросшимся переломом локтевого отростка |
 |
 |
 |
Отправлено Николай Петров 02 Февраль 2008, 18:23
Уважаемые коллеги! Пациент 34 лет. Человек физического труда. Восемь месяцев назад в отделение сочетанной травмы был произведен остеосинтез локтевого отростка проволокой. В последующем r занимался разработкой сустава. Когда понял, что восстановить сустав не удастся, обратился за помощью. Предполагает, что после операции функция сустава восстановится полностью. Мы думаем выполнить операцию в два этапа: 1. Первый этап - аппаратом вправить предплечье 2. Второй этап - остеосинтез локтевого отростка спонгиозным винтом, или пластиной, или по Веберу с костной аутопластикой.Помогите советом. С уважением Н.Петров
<
|
>
|
|
Ответить
|
Re: Застарелый вывих предплечья с несросшимся переломом локтевого отростка
levan 04 Февраль 2008, 21:44
|
vpravit apparatom, v aparate sdelat artroskopicheski artroliz i reosteosintez po veberu sami idealni variant. plastina stabilnost ne sozdast a vint budet luftovat s uchotom sili tricepsa, toje budet nestabilno. idealni variant reosteosinteza loktevogo otrostka eto osteosintez po veberu.provolku potolshe vozmite.
|
[
Ответить ]
|
Re: Застарелый вывих предплечья с несросшимся переломом локтевого отростка
Станислав Дмитриев 05 Февраль 2008, 22:21
|
Вот был похожий случай http://www.weborto.net/forum/1195018808/index_html#1195576914
|
[
Ответить ]
|
Re: Застарелый вывих предплечья с несросшимся переломом локтевого отростка
Алексей 07 Февраль 2008, 03:33
|
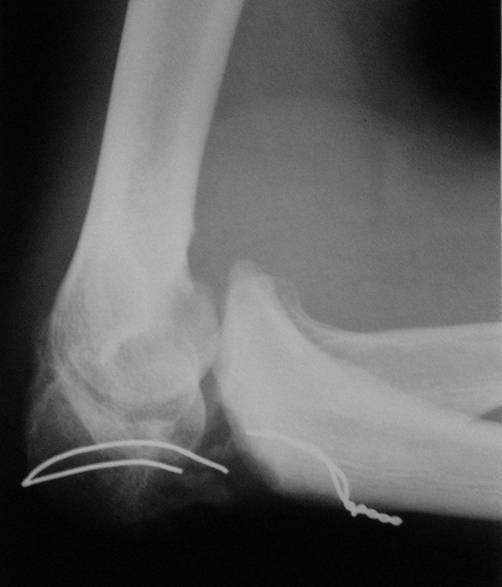
По представленному снимку можно сделать заключение не только о несостоятельности МОС и технических погрешностях, допущенных при его наложении, но сейчас ГЛАВНЫЙ вопрос равномерного лизиса отростка. Он прозрачен на снимке, а значит лишен питания (частично или полностью - это Вам надо выяснить!). Следовательно можно думать о аваскулярнои некрозе л.отростка, следовательно - костная аутопластика необходима, но какая? Я думаю только несвободная, обязательно на сосудистой ножке, или если свободная, то с включением питающего трансплантат сосуда в одну из возвратных артерий локтевого сустава.
С уважением А.Леспович
|
[
Ответить ]
|
Re: Застарелый вывих предплечья с несросшим
Отправитель: Alexander Chelnokov 07 Февраль 2008, 23:41
|
А> вопрос равномерного лизиса отростка. Он прозрачен на снимке, а
А> значит лишен питания (частично или полностью - это Вам надо
А> выяснить!). Следовательно можно думать о аваскулярнои
А> некрозе л.отростка,
Это аваскулярные фрагменты как раз выглядят склерозированными. А остеопороз говорит о сохраненном кровоснабжении.
А> следовательно - костная аутопластика необходима,
Если делать накостный остеосинтез, то, наверно, действительно лучше с пластикой.
|
[
Ответить ]
|
|
Re: Застарелый вывих предплечья с несросшимся переломом локтевого отростка
Saip 08 Февраль 2008, 17:06
|
Полагаю ,что оптимальным вариантом будет остеосинтез по Веберу (спицами и серкляжной проволокой,дополнительно фиксировать локтевой отросток спонгиозным винтом после тшательной обработки отломков.После ОС дать хорошую сосудистую терапию.
(При ОС аппаратом,при попытке компрессии отломков спицами с напайкой, напайки будут прорезать порозный локтевой отросток).
|
[
Ответить ]
|
Re: Застарелый вывих предплечья с несросшимся переломом локтевого отростка
Отправитель: Николай 11 Февраль 2008, 19:51
|

Коллеги! Сделан первый этап операции - синтез спице-стержневым аппаратом. При умеренной дистракции локтевого сустава (0,5 мм в сутки) производится дорзальная тракция дистального отломка локтевой кости (1 мм в сутки) стержнем Штеймана при стабилизации olecranon отдельным стержнем. Стержень в olecranon ввелся очень легко - остеопороз. Р-граммы через 4 дня после операции.
Николай
|
[
Ответить ]
|
Re: Застарелый вывих предплечья с несросшим
Отправитель: Андрей Каминский 14 Февраль 2008, 01:53
|
Николай, Вы довольно сильно рискуете, вводя стержень в такой маленький и порозный отросток. нагрузка будет возрастать по мере компрессии. Не факт, что в таком сроке после травмы удастся компрессия отломков, а вот перфорация отростка и (или) его раскол очень может приключится.
Как вариант вводить две параллельные спицы (можно с упорами навстречу) хорошо их натягивать (!) в полукольце. Это вплне безопасно по прорезыванию и отросток управляемый.
Успехов.
Каминский А.В.
|
[
Ответить ]
|
Re: Застарелый вывих предплечья с несросшим
Отправитель: Alexander Chelnokov 12 Февраль 2008, 00:31
|
После ОС дать хорошую сосудистую терапию.
Что такое "сосудистая терапия"? Какое она имеет отношение к несращению локтевого отростка?
|
[
Ответить ]
|
Re: Застарелый вывих предплечья с несросшим
Отправитель: Николай 14 Февраль 2008, 05:16
|
Андрей! Уважаю учреждение, где трудитесь и Вас лично. Учту Ваше мнение. Но стержень в olecranon ввел для его стабилизации при манипуляции локтевой кость - чтобы он не начал перемещаться за подтягиваемой локтевой костью. Аппарат был задуман на короткое время - для вправления предплечья. В ближайшие дни делаю контрольный снимок, надеюсь, что предплечье будет вправлено, а локтевой сустав умеренно дистрагирован. Затем дам разгибание на 20-30 град. и надо будет думать о втором этапе операции. Хотелось бы воспользоваться имеющимся аппаратом - произвести костную пластику + Ваш вариант фиксации в аппарате с компрессией зоны перелома и восстановлением функции сустава аппаратом. Или же костная пластика + остеосинтез (вероятно по Веберу) и снятие аппарата.
Жду советов уважаемой аудитории и реакции больного на аппарат. Ежедневно приезжает на манипуляции из пригорода, сам за рулем, молчит, хотя житель Северного Кавказа - темперамента не занимать.
|
[
Ответить ]
|
Re: Застарелый вывих предплечья с несросшим
Отправитель: Рунков А.В. 20 Февраль 2008, 22:43
|
Уважаемый Николай.
Что касается фиксации, то уровень перелома локтевого отростка не оставляет выбора - Только пластина и транфрактурные винты в венечный отросток.
Однако главная проблема - движения в локтевом суставе через 8 месяцев (все заросло).
Лучше бы больному заранее это объяснить.
Если вы выбрали аппаратный метод, не грех бы спросить, как это лучше сделать у Курганцев (что-то они помалкивают?).
Мне кажется, что было бы разумным провести осевую спицу после устранения вывиха. И попробовать движения в аппарате, затем (убедившись, что это не очень то получается, а больному хочется) артролиз и остеосинтез пластиной (скорее всего с костной пластикой и удлиннением сухожилия)
Если останутся движения 30- 40 градусов я бы праздновал победу.
с уважением РАВ.
|
[
Ответить ]
|
Re: Застарелый вывих предплечья с несросшим
Отправитель: Николай 21 Февраль 2008, 18:06
|
Уважаемый Рунков А.В., коллеги !
Если вы выбрали аппаратный метод, не грех бы спросить, как это лучше сделать у Курганцев (что-то они помалкивают?).
Каминский А.В. из Кургана, РНЦ "ВТО". Сделал дельное замечание. С остальным, вероятно, согласен.
Мне кажется, что было бы разумным провести осевую спицу после устранения вывиха. И попробовать движения в аппарате...
Через мыщелок плечевой кости проведен осевой трансоссальный стержень Штеймана. Аппарат изначально компоновался с возможностью восстановления движений в суставе. Через неделю после вправления попробовал разогнуть предплечье одномоментное на 10 град. - появилась сильная боль, предплечье стало стремиться в волярную сторону (вновь подвывих). Решил выполнить второй этап операции - костная аутопластика и остеосинтез, вероятно компрессионный в аппарате. С больным достигнута договоренность о длительном лечении в аппарате. Вправление предплечья, видимое на глаз, вселило в него надежду, что все идет по нашему с ним плану. Надеюсь в аппарате срастить и добиться движений. Опыт работы на локтевом суставе и аппаратами Волкова-Оганесяна, и Илизарова есть.
Завтра операция. Вышлю контрольные Р-граммы.
Николай.
|
[
Ответить ]
|
Re: Застарелый вывих предплечья с несросшим
Отправитель: Николай 27 Февраль 2008, 04:39
|
Коллеги! Сделана операция. Убрана рубцовая ткань, освежены концы до "кровяной росы", произведен релиз локтевого отростка и заднего отдела сустава - прошел до венечного отростка. После адаптации отломков выяснилось, что полное сопоставление происходит только на 1/4 периметра. Уложены аутотрансплантаты взятые из крыла подвздошной кости. Приведена схема. Через локтевой отросток проведены две спицы с упорными площадками с разбросом в 1 см, закрепленные на отдельном полукольце. Дана компрессия. Пятые сутки, рана заживает первичным натяжением. Выписываю. На 14 сутки буду пробовать движения.
Николай.
|
[
Ответить ]
|
|
( Ответить )
|
|