AOTRAUMA.ORG Центр Илизарова  

Ортопедия и травматология Общие вопросы/General questions Help Информационные технологии в медицине
 ВХОД ДЛЯ ПАЦИЕНТОВ
 вверх
 поиск
 админ
 главная


Перелом вертлужной впадины и бедер
Ортопедия и травматология Прислано Гринь Алексей 08 Февраль 2008, 19:36
из ОКБ N;2, г. Тюмень
Уважаемые коллеги! Помогите пожалуйста в лечении сложного клинического случая
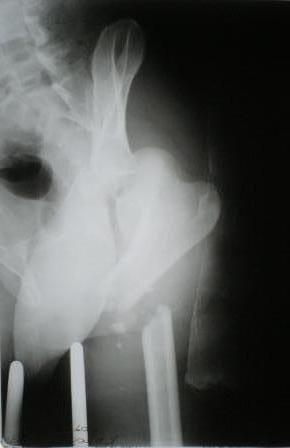
Пациент 33 лет поступил 1.02.08 с диагнозом: Множественная травма. Т-образный перелом свода, перелом заднего края правой вертлужной впадины. Поперечный подвертельный перелом диафиза, подвздошный вывих правого бедра. Поперечный подвертельный перелом диафиза на фоне консолидированного косого перелома в\3 левого бедра в порочном положении. Открытый краевой перелом надколенника правого коленного сустава. Открытый оскольчатый перелом н\челюсти. Закрытый неосложненный перелом V ребра справа. В настоящее время больной компенсирован.
Планируем: в положении больного на спине выполнить БИОС левого бедра ретроградно. После повернуть на левый бок и выполнить БИОС правого бедра антеградно одновременно с Y-образным доступом к вертлужной впадине. После - остеосинтез вертлужной впадины реконструктивными пластинами.
Посоветуйте пожалуйста:
1. возможно ли выполнить все 3 операции одномоментно?
2. если возможно, то м\б начать операцию на стороне более тяжелого повреждения? Как при этом укладывать, и каким способом оперировать?
3. стоит ли выполнять БИОС левого бедра при условии, что если выбрать штифт длинной до б\вертела, то при введении проксимальный конец пройдет мимо б\вертела по задней поверхности? Заранее благодарен. Гринь Алексей.

Послать ответ

Имя
Email
Уведомление Сообщить мне по e-mail об ответах на это сообщение
Название
Комментарий
(Проверьте URL! Не забудьте написать http://!)
Кодировка
Если не знаете, что выбрать, выберите "Просто текст"!
Приложение
Можно приложить к сообщению файл c изображением, который затем будет доступен увидевшим сообщение.
Подготовка иллюстраций:
  • Рентгенограммы: черно-белые полутоновые изображения в формате JPEG (8 bit, greyscale) с разрешением от 300х200 до 1024х768 пикселов;
  • Клинические фотографии: полноцветные изображения в формате JPEG (24 bit, truecolor) с разрешением от 300х200 до 1024х768 пикселов;
  • Схемы и рисунки: черно-белые (2 bit) штриховые (line-art) изображения в формате GIF или compressed TIFF
  • Подберите степень сжатия файла JPEG и размер изображения таким образом, чтобы необходимые детали были различимы, но размер файла не превышал 75 кб.
  • Учтите, что текущая версия программного обеспечения Форума позволяет приложить к одному сообщению лишь один файл-вложение. Поэтому, если необходимо отправить несколько изображений, можно либо послать каждое как отдельное сообщение, либо в графическом редакторе объединить изображения в одно (сделать коллаж).
  • Если при подготовке изображений встречаются трудности, не стесняйтесь обратиться к координатору Форума.

  • Введите видимые символы в обратном порядке. Enter the above characters in reverse order (*Обязательно)
    В тексте сообщения можно использовать теги HTML <B> <I> <P> <A> <LI> <OL> <UL> <EM> <BR> <TT> <HR> <STRONG> <BLOCKQUOTE> <DIV .*> <DIV> <P .*>
  • Обратите внимание: Поля с жирными названиями обязательны.
  • Старайтесь отвечать в рамках обсуждаемой темы, а не начинать новые обсуждения.
  • Указывайте адекватную тему сообщения, чтобы было ясно, о чем оно.
  • Не послайте сообщений не по теме (оффтопик), раздраженных, грубых или обидных комментариев. Здесь это неуместно.
  • Powered by Zope  Squishdot Powered MedLink
    Посетитель: 0147907
      "По форме правильно, а по существу - издевательство" В.И.Ленин
    ©2001-2019Orthoforum Coordinator.
    [ Главная | Отправить сообщение | Поиск | Админ ]