вверх
отправить
поиск
админ
главная
|
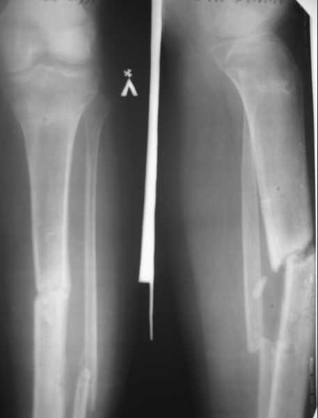
Ложный сустав большеберцовой кости. |
 |
 |
 |
Отправлено Денис Магданов 17 Февраль 2008, 15:30
Здравствуйте,уважаемые коллеги. Хотелось бы услышать ваше мнение по следующему случаю: пациент 20 лет, травма в июне 2007 г. Открытый перелом костей левой голени со смещением отломков. В этот же день выполнена ПХО открытого перелома костей левой голени, фиксация в КДА по Илизарову. Раны заживали вторичным натяжением. В январе 2008г. сняли аппарат, по причине нестабильности, - гипсовая иммобилизация. На данный момент согласно контрольным рентгенограммам и времени прошедшего с момента травмы имеется нормо, гипотрофичный ложный сустав большеберцовой кости. Местно - признаков воспаления не определяется. Лабораторные показатели в пределах нормы.Планирую: 1. Рассверлить канал риммерами до диметра 12 – 13 мм, и выполнить остеосинтез блокированным канюлированным стержнем диметром 11 – 12 мм. Вопросы:1. Достаточно ли для стимуляции остеогенеза только рассверливания костно – мозгового канала, есть ли необходимость в костной пластике и декортикации, нужно ли выполнить остеотомию малоберцовой кости?2. Есть ли необходимость первичной динамизации, или сначала в статику, потом динамизация? Если в статическом блокировании, то через сколько необходимо выполнить динамизацию?3. Когда разрешить нагрузки на конечность? Что вы посоветуете? Где могут быть - технические трудности. С уважением Д. Магданов.
<
|
>
|
|
Ответить
|
Re: Ложный сустав большеберцовой кости.
Alexander Chelnokov 17 Февраль 2008, 20:30
|
В январе 2008г. сняли аппарат, по причине
> > нестабильности, - гипсовая иммобилизация.
Написано не очень понятно - то ли аппарат сняли по причине нестабильности, то ли гипсовую повязку по той же причине наложили. Так почему все-таки сняли аппарат?
> > - признаков воспаления не определяется. Лабораторные
> > показатели в пределах нормы.
Это благоприятный фактор.
> > Планирую: 1. Рассверлить канал риммерами до диметра 12 13 мм, и
> > выполнить остеосинтез блокированным канюлированным стержнем диметром 11
> > 12 мм.
Предпочтительнее титановым бесканальным, учитывая повышенный риск инфекции (открытый перелом, вторичное заживление, возможную дремлющую
инфекцию спицевых каналов).
> 1. Достаточно ли для стимуляции остеогенеза только рассверливания костно
> мозгового канала, есть ли необходимость в костной пластике и
> декортикации, нужно ли выполнить остеотомию малоберцовой кости?
Открывать место перелома не нужно. Рассверливания хватит. Малоберцовая если срослась - лучше остеотомировать.
> 2. Есть ли необходимость первичной динамизации, или сначала в статику,
> потом динамизация? Если в статическом блокировании, то через сколько
> необходимо выполнить динамизацию?
При хорошем торцевом упоре, если доступен стержень с компрессирующей заглушкой, то сделать компрессионный динамический остеосинтез.
> 3. Когда разрешить нагрузки на конечность?
Желательно сделать так, чтобы сразу ее не ограничивать. Пусть пациент дает максимально переносимую.
> Где могут быть - технические трудности.
Здесь может быть проблема с восстановлением длины. Одномоментно в застарелых случаях бывают трудности даже с дистрактором, даже после остеотомии малоберцовой. Возможно, есть смысл наложить дистрактор и восстановить длину за 5-7 дней, потом штифтовать.
|
[
Ответить ]
|
Re: Ложный сустав большеберцовой кости.
Отправитель: Денис Магданов 19 Февраль 2008, 01:05
|
Написано не очень понятно - то ли аппарат сняли по причине нестабильности, то ли гипсовую повязку по той же причине наложили. Так почему все-таки сняли аппарат?
Аппарат сняли в связи с нестабильнтью перелома в аппарате(аппарат "выроботал свое") и как подготовка сегемента к погружному остеосинтезу, в отношении спицевой инфекции.
|
[
Ответить ]
|
|
Re: Ложный сустав большеберцовой кости.
Pavel Ivanov 17 Февраль 2008, 20:47
|
Dear Денис.
Очень привлекательный случай.
own> Вопросы:
own> 1. Достаточно ли для стимуляции остеогенеза только рассверливания костно
own> мозгового канала, есть ли необходимость в костной пластике и
own> декортикации, нужно ли выполнить остеотомию малоберцовой кости?
Уверен, что необходимости в костной пластике и декортикации нет. Особенно с учетом того факта, что перелом был открытый и это предполагает повышенный риск гнойных осложнений. Достаточно рассверливания костно-мозгового канала.
На Вашем месте я бы сначала наложил спицестержневой аппарат, выполнил остеотомию малоберцовой кости. После операции устранил бы имеющееся смещение (оно существенное - имеется укорочение, смещение по ширине и угловое смещение). И лишь потом, через несколько дней, выполнил бы интрамедуллярный остеосинтез.
Объясню свою позицию. При рассверливании проксимального отломка риммер будет идти по задней стенке канала и упрется в кортикальный слой дистального отломка, или же, что еще хуже, выйдет за пределы кости. Это может усложнить ход операции. Одномоментно репозицию будет выполнить трудновато. Это обусловит травму мягких тканей в области перелома. Вполне возможно, что кожа в данной зоне рубцово изменена и припаяна к большеберцовой кости. При одномоментном устранении смещения ее можно повредить.
own> 2. Есть ли необходимость первичной динамизации, или сначала в статику,
own> потом динамизация? Если в статическом блокировании, то через сколько
own> необходимо выполнить динамизацию?
Учитывая, что Вы будете выполнять остеосинтез штифтом большого диаметра, я бы ограничился лишь винтом, введенными в динамическое отверстие.
own> 3. Когда разрешить нагрузки на конечность? Что вы посоветуете? Где могут
own> быть - технические трудности.
В подобных ситуациях мы разрешаем нагрузку на конечность на 3-4 день после операции в пределах 30-40% веса тела и в течение месяца доводим ее до полной.
Денис, интересно было бы посмотреть рентгенограммы в аппарате Илизарова. Интересно, почему через полгода фиксации в аппарате имеется такое положение отломков. Спрашиваю не из вредности. Просто в соответствии с предлагаемым мной планом потребуется сделать то, что пока за время лечения не было сделано.
Желаю успехов.
Best regards,
Pavel Ivanov
Sklifosovsky Clinical and Research Institute for Emergency Medicine Polytrauma Department
|
[
Ответить ]
|
Re: Ложный сустав большеберцовой кости.
Pavel Ivanov 17 Февраль 2008, 22:22
|
Денис, по представленным снимкам могу осторожно предположить, что Вы не относитесь к лагерю "аппаратчиков" (меня-то, наоборот, так коллеги на работе обзывают). Отдаю себе отчет, что предложенный мной вариант лечения покажется изящным не каждому травматологу.
Желаю удачи.
|
[
Ответить ]
|
Re: Ложный сустав большеберцовой кости.
Денис Магданов 17 Февраль 2008, 22:26
|
Большое спасибо за совет. Ваши рекомендации я учту при планировании операции. С уважением Денис Магданов.
|
[
Ответить ]
|
( Ответить )
|
|